Гиперэхогенные образования в яичниках — важный диагностический признак, указывающий на различные состояния: функциональные кисты, кальцинаты и опухоли (доброкачественные и злокачественные). В период беременности особенно важно правильно интерпретировать эти образования, так как они могут влиять на здоровье матери и плода. Эта статья поможет читателям разобраться в типах гиперэхогенных образований, их причинах и методах диагностики, что позволит своевременно выявлять и оценивать риски, связанные с ними.
Гиперэхогенные включения в яичнике — что это такое
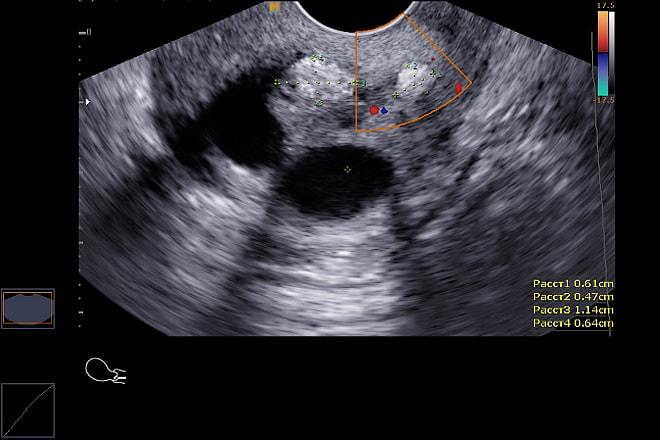
Гиперэхогенное образование представляет собой область с повышенной плотностью, которая хорошо видна при ультразвуковом исследовании. Для постановки точного диагноза врачу необходимо провести дополнительные обследования. Важно выполнить дифференциальную диагностику, чтобы исключить возможность злокачественных образований.
Малые гиперэхогенные образования обычно представляют собой скопления кальциевых солей в тканях органа. Эти образования имеют повышенную плотность и могут быть разновидностью опухолей яичников. Для исключения их озлокачествления необходимо правильно диагностировать и выбрать эффективный метод лечения. При обнаружении данной патологии применяются следующие диагностические методы:
- консультация онколога;
- ультразвуковое исследование;
- анализ крови на онкомаркер СА 125.
Эксперты в области гинекологии подчеркивают важность правильной диагностики гиперэхогенных образований в яичниках, так как они могут указывать на различные патологии. Гиперэхогенные образования могут быть как доброкачественными, так и злокачественными, поэтому их классификация и дальнейшее обследование имеют решающее значение. Врачам рекомендуется использовать ультразвуковую диагностику для определения характеристик образования, таких как размер, форма и структура. Дополнительные методы, такие как МРТ или КТ, могут быть необходимы для более детального анализа. Важно также учитывать клинические симптомы и анамнез пациентки, что поможет в постановке точного диагноза и выборе оптимальной тактики лечения. Эксперты акцентируют внимание на необходимости регулярных обследований, особенно для женщин в группе риска, чтобы своевременно выявить возможные осложнения.

Причины появления
Эксперты выделяют несколько факторов, способствующих образованию этих образований:
- регулярное потребление нездоровой пищи;
- длительное применение обезболивающих средств в ходе лечения;
- наследственные предрасположенности;
- заболевания желудочно-кишечного тракта;
- травмы;
- инфекции мочевыводящих путей;
- нарушения в эндокринной системе, связанные с проблемами усвоения глюкозы;
- избыток или недостаток витаминов;
- высокое содержание растворённых веществ в питьевой воде;
- сбои в функционировании организма из-за малой физической активности и ослабления мышечной силы;
- недостаток жидкости в организме.
| Вид гиперэхогенного образования | Характерные признаки на УЗИ | Дифференциальная диагностика |
|---|---|---|
| Функциональная киста (желтое тело) | Овальная или круглая форма, четкие контуры, анэхогенное или гипоэхогенное содержимое с гиперэхогенным ободком, может содержать внутренние перегородки. | Текома, фолликулярная киста, эндометриоидная киста, дермоидная киста |
| Дермоидная киста (тератома) | Гиперэхогенное образование с различными включениями (жир, волосы, зубы), «пятнистый» характер эхогенности, может содержать акустическую тень. | Муцинозная цистаденома, эндометриоидная киста |
| Эндометриоидная киста (шоколадная киста) | Гипо- или анэхогенное содержимое с гиперэхогенными включениями (густая кровь), неровные контуры, может быть неоднородной структуры. | Дермоидная киста, муцинозная цистаденома |
| Фиброма | Гиперэхогенное образование с четкими контурами, однородной структуры, часто имеет низкую васкуляризацию. | Текома, лейомиома |
| Текома | Гиперэхогенное образование с четкими контурами, часто имеет низкую васкуляризацию. | Фиброма, гранулезоклеточная опухоль |
| Злокачественное образование | Нечеткие контуры, неоднородная структура, наличие асцита, увеличенные регионарные лимфоузлы, нарушение целостности капсулы. | Доброкачественные опухоли яичников, кисты |
Интересные факты
Вот несколько интересных фактов о гиперэхогенных образованиях в яичниках:
-
Разнообразие причин: Гиперэхогенные образования в яичниках могут быть связаны с различными состояниями, включая функциональные кисты, опухоли (как доброкачественные, так и злокачественные), а также эндометриоз. Это делает диагностику важной для определения природы образования и выбора правильной тактики лечения.
-
Ультразвуковая диагностика: Ультразвуковое исследование (УЗИ) является основным методом диагностики гиперэхогенных образований. Специфические характеристики, такие как форма, размер и наличие дополнительных признаков (например, васкуляризация), помогают врачам отличить доброкачественные образования от злокачественных.
-
Роль контраста: В некоторых случаях для более точной диагностики гиперэхогенных образований может использоваться контрастное УЗИ. Это позволяет улучшить визуализацию сосудистой структуры образования и оценить его характер, что особенно важно при подозрении на рак яичников.

Разновидности гиперэхогенных включений
Кисты могут быть следующими:
- Лютеиновая киста (размеры колеблются от 3 до 7 см). Она имеет округлую форму и достаточно толстые стенки. Кровоснабжение в основном происходит по краям яичника. Обычно такая киста уменьшается в течение нескольких менструальных циклов.
- Зрелые опухоли, возникающие из гоноцитов, которые развиваются в женской репродуктивной системе. Размеры таких образований варьируются от 2 до 12 см. Их содержимое может различаться. На УЗИ можно увидеть один гиперэхогенный компонент, который представляет собой жир, а также плотную часть, от которой исходит акустическая тень.
Злокачественные гиперэхогенные включения
Ультразвуковое исследование злокачественной кисты яичников показывает крупные образования с неправильной формой. Стенки капсулы тонкие и бугристые, а сами образования могут содержать несколько перегородок. В некоторых случаях выявляются множественные папиллярные кисты яичников. Одним из типов таких образований являются стромально-клеточные опухоли. Размер новообразований обычно не превышает 20 см, они имеют овальную форму и гладкую, плотную оболочку.
Гиперэхогенность новообразования — это не единственный признак, указывающий на возможность рака яичников. Врач может также выявить злокачественную опухоль, которая по результатам обследования будет иметь следующие характеристики:
- толстые перегородки с фрагментарными утолщениями;
- плотные включения, расположенные рядом со стенками и у неровной поверхности;
- значительные размеры;
- кистозно-солидное строение;
- асимметричные границы и неоднородную внутреннюю структуру.
Если возникают подозрения, то важно оценить состояние пациентки. В этом случае выделяются следующие симптомы:
- двустороннее наличие патологического образования;
- увеличение объема живота из-за скопления жидкости и увеличения определенных групп периферических лимфатических узлов, которые выполняют функцию биологического фильтра (через них проходит лимфа от органов и частей тела);
- наличие опухолевых уплотнений в тканях или органах, относящихся к поясу нижних конечностей, состоящему из двух тазовых костей — крестца и копчика.
Обычно образования с повышенной плотностью не представляют угрозы для здоровья женщины.

Диагностика
При проведении ультразвукового исследования (УЗИ) можно установить:
- размеры внутренних органов;
- состав крови;
- плотность и состояние тканей.
Чтобы предотвратить возникновение проблем со здоровьем, рекомендуется пройти несколько диагностических процедур:
- анализ крови на онкомаркеры;
- анализ мочи;
- магнитно-резонансная томография (МРТ);
- экскреторная урография;
- компьютерная томография (СКТ) с контрастом.
В случае выявления осложнений может потребоваться биопсия, то есть забор небольшого фрагмента пораженной ткани для дальнейшего исследования.
Патологические состояния могут приводить к изменению размеров яичников (как правого, так и левого), что зависит от локализации и наличия доброкачественных или злокачественных опухолей. Это, в свою очередь, может негативно сказаться на функционировании других органов.
Симптомы могут быть схожи с проявлениями множества других заболеваний, поэтому важно обратиться к специалисту, который сможет назначить адекватное лечение.
Методы лечения гиперэхогенных образований
Лечение гиперэхогенных образований в яичниках зависит от их природы, размера, симптоматики и общего состояния пациентки. Важно отметить, что гиперэхогенные образования могут быть как доброкачественными, так и злокачественными, поэтому перед началом лечения необходимо провести тщательную диагностику.
Одним из основных методов лечения является наблюдение. Если гиперэхогенное образование не вызывает симптомов и не увеличивается в размерах, врач может рекомендовать регулярные ультразвуковые исследования для мониторинга состояния. Это особенно актуально для функциональных кист, которые могут исчезнуть самостоятельно.
В случае, если образование вызывает дискомфорт или имеет подозрительные характеристики, может быть рекомендовано хирургическое вмешательство. Операция может быть выполнена лапароскопически или открытым методом, в зависимости от размера и расположения образования, а также от общего состояния пациентки. Лапароскопия является менее инвазивным методом и позволяет сократить время восстановления.
Если гиперэхогенное образование оказывается злокачественным, лечение будет включать в себя комплексный подход, состоящий из хирургического удаления опухоли, химиотерапии и/или радиотерапии. Важно, чтобы лечение проводилось в специализированных онкологических центрах, где есть возможность получить мультидисциплинарную помощь.
Кроме того, в некоторых случаях может быть назначена медикаментозная терапия, направленная на снижение симптомов, таких как боль или дискомфорт. Это может включать в себя обезболивающие препараты, гормональные средства или противовоспалительные препараты.
В заключение, выбор метода лечения гиперэхогенных образований в яичниках должен основываться на индивидуальных особенностях каждой пациентки и результатах диагностики. Консультация с гинекологом и, при необходимости, онкологом поможет определить наиболее подходящий подход к лечению и обеспечить наилучший исход.
Вопрос-ответ
Что такое гиперэхогенное образование в яичнике?
Гиперэхогенное образование в яичнике — это образование, которое на ультразвуковом исследовании (УЗИ) отображается как более яркое по сравнению с окружающими тканями. Это может указывать на наличие различных патологий, таких как кисты, опухоли или другие изменения в тканях яичника.
Каковы основные методы диагностики гиперэхогенных образований в яичнике?
Основными методами диагностики являются ультразвуковое исследование (УЗИ), которое позволяет визуализировать образование, а также магнитно-резонансная томография (МРТ) для более детального изучения структуры. В некоторых случаях может потребоваться биопсия для определения характера образования.
Какие симптомы могут указывать на наличие гиперэхогенного образования в яичнике?
Симптомы могут варьироваться в зависимости от размера и характера образования. Часто женщины могут испытывать боли внизу живота, нарушения менструального цикла, а также чувство тяжести или дискомфорта. Однако в некоторых случаях гиперэхогенные образования могут быть бессимптомными и обнаруживаться случайно при плановом УЗИ.
Советы
СОВЕТ №1
Перед проведением ультразвукового исследования яичников, обязательно проконсультируйтесь с врачом. Это поможет вам понять, какие именно параметры будут оцениваться и какие возможные результаты могут быть получены.
СОВЕТ №2
Обратите внимание на свои симптомы. Если вы испытываете боль внизу живота, изменения в менструальном цикле или другие необычные проявления, не откладывайте визит к специалисту. Ранняя диагностика может значительно повысить шансы на успешное лечение.
СОВЕТ №3
Не забывайте о регулярных профилактических осмотрах. Даже если у вас нет симптомов, регулярные ультразвуковые исследования могут помочь выявить гиперэхогенные образования на ранних стадиях, что важно для своевременного вмешательства.
СОВЕТ №4
Изучите информацию о различных типах гиперэхогенных образований. Знание о том, какие образования могут быть доброкачественными, а какие — злокачественными, поможет вам лучше понять результаты обследования и обсудить их с врачом.


