Антральные фолликулы играют ключевую роль в репродуктивной функции женщины, так как они являются основными структурными единицами яичников, отвечающими за созревание яйцеклеток и гормональную регуляцию менструального цикла. В статье рассмотрим строение и размеры антральных фолликулов, их функциональное назначение, а также нормы и отклонения в количестве. Это поможет понять их влияние на фертильность и возможность зачатия. Знание этих аспектов важно для женщин, планирующих беременность, и может служить основой для диагностики репродуктивных нарушений.
Строение фолликулов
Яичники представляют собой парный орган в женской репродуктивной системе. Хотя фолликулы развиваются отдельно в правом и левом яичнике, их структура остается одинаковой. В каждом из них находится яйцеклетка, которая созревает в одном из яичников.
Яйцеклетка окружена гликопротеинами и защищена слоем гранулезных клеток, а также базальной мембраной. Такое строение играет важную роль в защите развивающихся яйцеклеток от различных внешних факторов. Если оболочка по каким-либо причинам повреждается, это может привести к гибели половых клеток.
С возрастом количество фолликулов у женщин изменяется. В период полового созревания их может быть более 300 тысяч, включая как крупные, так и мелкие пузырьки, однако с течением времени их число уменьшается. К моменту наступления менопаузы в яичниках может оставаться всего 1000-1500 фолликулов. Таким образом, чем ближе женщина к климаксу, тем меньше вероятность ее беременности.
Антральные фолликулы играют ключевую роль в репродуктивной функции женщин, и их функциональное назначение вызывает интерес у специалистов в области гинекологии и эндокринологии. Эксперты отмечают, что антральные фолликулы являются важными индикаторами овариальной резервы и здоровья яичников. Они обеспечивают синтез эстрогенов, что способствует регуляции менструального цикла и поддержанию репродуктивной функции. Кроме того, антральные фолликулы служат своеобразным резервуаром для будущих овуляций, что делает их изучение важным для диагностики бесплодия и планирования беременности. Современные методы визуализации и гормонального мониторинга позволяют более точно оценивать состояние антральных фолликулов, что, в свою очередь, помогает врачам разрабатывать индивидуализированные подходы к лечению и поддержанию женского здоровья.

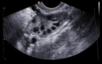
Методики подсчета фолликулов
Определение количества сферических образований в яичниках осуществляется во многих медицинских учреждениях, ориентированных на женское здоровье. В процессе обследования специалист по лабораторной диагностике учитывает лишь те фолликулы, которые можно четко визуализировать.
Однако многие образования могут оставаться незамеченными из-за их небольшого размера или недостаточной точности используемого оборудования. Обычно неучтенные фолликулы рассматриваются как незначительная погрешность, не влияющая на итоговые результаты исследования. Для повышения достоверности подсчета рекомендуется проводить анализ на второй или третий день менструального цикла.
Чтобы врач мог установить диагноз, пациентка должна пройти комплексное обследование. Для оценки вероятности успешного зачатия женщинам назначаются следующие процедуры:
- измерение объема и размеров яичников;
- определение уровня ингибина-B;
- анализ на антимюллеров гормон (АМГ);
- исследование уровня половых гормонов — эстрадиола, прогестерона, тестостерона и гонадотропного гормона.
Важно! При необходимости пациентке может быть рекомендовано ультразвуковое исследование органов брюшной полости. Это назначается при подозрении на наличие новообразований или гинекологических заболеваний, так как бесплодие часто связано с такими состояниями, как эндометриоз.
Только после выполнения всех перечисленных исследований можно оценить овариальный резерв пациентки. В случае выявления отклонений от нормы разрабатывается индивидуальный план лечения. Для восстановления репродуктивной функции женщине могут быть предложены такие процедуры, как стимуляция гонадотропином, имплантация донорской яйцеклетки или экстракорпоральное оплодотворение (ЭКО).
| Характеристика антрального фолликула | Функциональное назначение | Связанные процессы/результаты |
|---|---|---|
| Наличие антральной полости (антрума) | Обеспечение пространства для накопления фолликулярной жидкости, необходимой для роста и созревания ооцита. | Поддержка ооцита, обеспечение его питательными веществами и гормонами. |
| Выраженная гранулеза клеток | Продукция эстрогенов, поддержка роста и созревания ооцита, формирование кумулюса. | Стимуляция роста эндометрия, подготовка к овуляции, регуляция репродуктивного цикла. |
| Наличие тека-клеток | Продукция андрогенов, которые затем ароматизируются в эстрогены гранулезными клетками. | Регуляция продукции эстрогенов, поддержка роста фолликула. |
| Выраженный рост ооцита | Достижение ооцитом зрелости, компетентности к оплодотворению. | Подготовка к овуляции и последующему оплодотворению. |
| Высвобождение половых гормонов (эстрогены, андрогены) | Регуляция менструального цикла, подготовка организма к беременности. | Стимуляция роста эндометрия, подавление секреции GnRH (в определенные фазы цикла), обратная связь с гипоталамусом и гипофизом. |
Интересные факты
Антральные фолликулы играют важную роль в репродуктивной системе женщин. Вот несколько интересных фактов о их функциональном назначении:
-
Создание гормонов: Антральные фолликулы активно участвуют в синтезе эстрогенов, особенно эстрадиола. Эти гормоны необходимы для регуляции менструального цикла, подготовки эндометрия к имплантации эмбриона и поддержания беременности.
-
Отбор доминантного фолликула: В процессе менструального цикла антральные фолликулы помогают в отборе доминантного фолликула, который будет продолжать развиваться и освобождать яйцеклетку во время овуляции. Этот процесс важен для обеспечения успешного зачатия.
-
Индикатор фертильности: Количество и качество антральных фолликулов в яичниках служат важным индикатором фертильности женщины. Ультразвуковое исследование может помочь оценить их количество, что позволяет врачам делать выводы о репродуктивном здоровье и планировании беременности.

Значение антимюллерова гормона
Антимюллеров гормон (АМГ) является важным показателем в диагностике бесплодия, аналогично антральным фолликулам в яичниках. Понимание его роли позволяет оценить шансы на зачатие. Этот гормон вырабатывается в антральных и преантральных фолликулах, размер которых не превышает четырех миллиметров. Если фолликулы меньше этого размера, уровень АМГ в них не определяется.
Для измерения концентрации АМГ врач проводит анализ крови. Этот метод исследования обладает высокой точностью, что позволяет на основе полученных данных делать выводы о диагнозе пациентки и ее овариальном резерве.
Уровень АМГ прямо пропорционален количеству антральных фолликулов. Поэтому данный тест часто используется вместо прямого подсчета фолликулов в яичниках под микроскопом. Если результаты показывают слишком низкое количество фолликулов, рекомендуется провести дополнительные диагностические исследования.

Нормальные размеры фолликулов
Для оценки функциональных возможностей яичников необходимо установить размеры и количество антральных фолликулов. Эти параметры варьируются в зависимости от дня менструального цикла:
- На 5-й день в периферической области яичника образуется около десяти фолликулов диаметром от 2 до 5 мм;
- На 7-й день размер фолликулов увеличивается до 6 мм, и ультразвуковое исследование может выявить наличие капиллярной сети в этих образованиях;
- На 10-й день формируется доминантный фолликул, достигающий 15 мм в диаметре. В этот период прекращается рост остальных сферических образований в яичнике, их размеры обычно составляют 7-8 мм;
- На 13-й день размеры доминантного фолликула увеличиваются еще на 2-3 мм, активно происходит выработка эстрогенов;
- На 14-й день диаметр фолликула достигает 25 мм, что свидетельствует о его полной зрелости.
На 15-16-й день цикла происходит разрыв фолликула, что приводит к овуляции — выходу яйцеклетки. На месте лопнувшего фолликула формируется желтое тело, которое вырабатывает прогестерон. Это образование необходимо для поддержания беременности в случае зачатия. Если слияние яйцеклетки и сперматозоида не происходит, желтое тело угасает, и начинается новый менструальный цикл.
Такое течение является нормой для здоровой женщины, когда отсутствуют факторы, нарушающие процессы созревания яйцеклетки. Однако иногда разрыв доминантного фолликула не происходит, и его рост продолжается. В этом случае говорят о персистирующем фолликуле. Размеры такого патологически измененного образования превышают норму, и оно не обладает функциональной активностью.
Нормальное количество
На количество антральных фолликулов в яичниках женщины влияет множество факторов. Прежде всего, с возрастом количество функционально активных фолликулов уменьшается. Кроме того, на их число могут оказывать влияние:
- гормональный баланс — у здоровой женщины поддерживается равновесие между эстрогенами и гестагенами. При его нарушении может изменяться состав фолликулов;
- повреждения яичников, в том числе в результате хирургических вмешательств;
- эндометриоз — заболевание, характеризующееся избыточным разрастанием ткани, выстилающей матку, что может нарушать процессы созревания половых клеток и снижать количество фолликулов.
В зависимости от количества фолликулов, выявленных при обследовании, врач оценивает овариальный потенциал пациентки:
- более 26 фолликулов — это слишком много. Причиной такого состояния может быть поликистоз яичников или нарушение соотношения половых гормонов. При данной патологии не только изменяется баланс эстрогенов и гестагенов, но и нарушается овариальный цикл, что может привести к остановке овуляции. Без лечения женщина не сможет забеременеть;
- 11-26 фолликулов — это оптимальный показатель. При таком количестве фолликулов шансы на беременность у пациентки наиболее высоки;
- 6-10 фолликулов — это ниже нормы. В этом случае рекомендуется гормональная стимуляция. Однако даже без лечения шансы на зачатие составляют около 50%;
- менее 6 фолликулов — это наименее благоприятный результат. В данной ситуации даже после стимуляции женщина может не забеременеть. Это состояние называется стойким бесплодием.
Если антральные фолликулы не обнаруживаются вовсе, ставится диагноз дисфункции яичников (ранний климакс), связанный с гормональным дисбалансом. К этому состоянию могут привести следующие факторы:
- хирургические вмешательства на репродуктивных органах, включая аборты и выскабливания;
- воздействие негативных факторов — курение, алкоголь;
- побочные эффекты от некоторых медикаментов, особенно гормональных;
- лучевая и химиотерапия;
- крайний недостаток или избыток веса.
При выявлении отклонений в результатах исследования пациентке необходимо пройти курс лечения.
Терапия в зависимости от количества образований
Лечебная стратегия разрабатывается врачом на основе результатов обследований, и ключевым моментом в выборе метода лечения является количество антральных фолликулов. Также немаловажным фактором является заболевание, которое стало причиной нарушения менструального цикла.
Например, при поликистозе яичников рекомендуется гормональная терапия. Лекарственные средства подбираются индивидуально, в зависимости от избытка или недостатка определенных гормонов.
Если женщина не может забеременеть в течение 6-12 месяцев, и у нее выявлено количество фолликулов в диапазоне 6-10, ей необходимо пройти стимуляцию. В этом случае также назначается гормональная терапия, но схема лечения будет отличаться от той, что применяется при поликистозе.
Когда фолликулярный аппарат яичников не содержит пузырьков, терапия требует значительно больше усилий. В такой ситуации ставится диагноз бесплодие. Это означает, что для успешного зачатия, скорее всего, потребуется экстракорпоральное оплодотворение. В качестве альтернативы женщинам с таким диагнозом, желающим стать родителями, может быть предложено усыновление.
Важно! Если забеременеть не удается в течение нескольких месяцев, и при этом количество антральных фолликулов в норме, следует направить партнера на спермограмму. Этот анализ позволяет оценить количество и активность сперматозоидов у мужчины.
Понимание роли антральных фолликулов и их значения позволяет эффективно планировать беременность. Необходимо помнить, что независимо от количества этих образований всегда существует вероятность зачатия. Современные методы лечения бесплодия ежегодно помогают многим семьям стать родителями. Не стоит отчаиваться, главное — верить в положительный исход и проявлять терпение в процессе прохождения всех необходимых процедур.
Влияние антральных фолликулов на репродуктивное здоровье
Антральные фолликулы, находящиеся в яичниках, играют ключевую роль в репродуктивном здоровье женщин. Эти фолликулы представляют собой структуры, содержащие незрелые яйцеклетки, и их количество и качество могут существенно влиять на фертильность. Важность антральных фолликулов заключается в их способности производить гормоны, такие как эстроген и ингибин, которые регулируют менструальный цикл и поддерживают репродуктивные функции.
Количество антральных фолликулов в яичниках является индикатором овариального резерва, то есть способности яичников производить яйцеклетки. Исследования показывают, что снижение числа антральных фолликулов может быть связано с возрастом, гормональными нарушениями и различными заболеваниями, такими как поликистоз яичников. Оценка антральных фолликулов с помощью ультразвукового исследования позволяет врачам получить информацию о состоянии репродуктивной системы женщины и предсказать вероятность успешного зачатия.
Кроме того, антральные фолликулы участвуют в процессе овуляции. В каждом менструальном цикле несколько антральных фолликулов начинают расти, но только один из них достигает зрелости и освобождает яйцеклетку. Этот процесс регулируется гормонами, вырабатываемыми гипофизом и яичниками. Нарушения в этом процессе могут привести к ановуляции, что является одной из основных причин бесплодия у женщин.
Антральные фолликулы также играют важную роль в поддержании гормонального баланса в организме. Они вырабатывают эстрогены, которые необходимы для нормального функционирования репродуктивной системы, а также влияют на другие системы организма, включая сердечно-сосудистую и костную. Низкий уровень антральных фолликулов может привести к гормональным нарушениям, что, в свою очередь, может вызвать различные проблемы со здоровьем, такие как остеопороз и сердечно-сосудистые заболевания.
Таким образом, антральные фолликулы являются важным компонентом репродуктивного здоровья женщин. Их количество и функциональное состояние могут служить индикаторами фертильности и общего состояния здоровья. Понимание их роли и влияния на организм позволяет врачам более эффективно диагностировать и лечить репродуктивные расстройства, а также разрабатывать стратегии для повышения шансов на успешное зачатие.
Вопрос-ответ
Что такое антральные фолликулы и какую роль они играют в репродуктивной системе?
Антральные фолликулы — это зрелые фолликулы, которые содержат яйцеклетку и находятся в яичниках. Они играют ключевую роль в процессе овуляции, обеспечивая развитие и высвобождение яйцеклетки, а также выработку гормонов, таких как эстроген, которые необходимы для регуляции менструального цикла и поддержания беременности.
Как антральные фолликулы влияют на фертильность женщины?
Количество и качество антральных фолликулов являются важными показателями фертильности. Чем больше антральных фолликулов, тем выше вероятность успешного зачатия, так как это свидетельствует о хорошем резерве яичников и способности организма к овуляции. Исследования показывают, что снижение числа антральных фолликулов может указывать на проблемы с фертильностью.
Как можно оценить состояние антральных фолликулов?
Состояние антральных фолликулов можно оценить с помощью ультразвукового исследования (УЗИ) яичников, которое позволяет визуализировать количество и размер фолликулов. Также могут использоваться гормональные анализы, такие как уровень ФСГ (фолликулостимулирующего гормона) и эстрадиола, для оценки функции яичников и общего репродуктивного здоровья.
Советы
СОВЕТ №1
Изучите анатомию и физиологию яичников, чтобы лучше понять роль антральных фолликулов в репродуктивной системе. Это поможет вам осознать, как они влияют на менструальный цикл и фертильность.
СОВЕТ №2
Обратите внимание на факторы, которые могут влиять на здоровье антральных фолликулов, такие как питание, уровень стресса и физическая активность. Здоровый образ жизни может способствовать нормальному функционированию яичников.
СОВЕТ №3
Если вы планируете беременность или испытываете трудности с фертильностью, проконсультируйтесь с врачом о состоянии ваших антральных фолликулов. Специалист может предложить необходимые обследования и рекомендации для улучшения репродуктивного здоровья.



