В каких случаях показано использование стоматологических гелей?
- нанесение непосредственно на очаг воспаления (активное вещество начинает действовать сразу же);
- легкость в применении;
- доступность (легко найти в аптеках);
- минимум противопоказаний и безопасность.
Влияет ли курение на эффективность использования?
Препарат считается одним из самых безопасных стоматологических средств, предназначенных для лечения и профилактики инфекционно-воспалительных процессов полости рта. «Метрогил Дента» не имеет противопоказаний для применения за исключением индивидуальных реакций непереносимости или повышенной чувствительности к компонентам лекарства (включая производные нитроимидазола).
Терапия в большинстве случаев переносится хорошо. Побочные эффекты во время использования «Метрогил Дента» фиксируются редко, но полностью исключать вероятность их возникновения нельзя.
Возможное побочное действие препарата заключается в следующих явлениях:
- сыпь на слизистых оболочках в месте использования;
- жжение и зуд;
- крапивная лихорадка (разновидность аллергического дерматита, проявляющаяся стремительным образованием бледно-розовых зудящих пузырей).
Побочные эффекты геля
Важно! Примерно у 2% пациентов были зафиксированы умеренные головные боли на фоне лечения «Метрогил Дента». Специалисты связывают это с наличием в составе метронидазола и некоторых веществ, используемых в качестве вспомогательных ингредиентов — например, сахарината натрия.
Стоматологи отмечают, что около 50% пациентов, обращающихся за стоматологической помощью, страдают табачной зависимостью. Курение отрицательно влияет на состояние слизистых оболочек, снижает местный иммунитет и вызывает раздражение десен.
Табачный дым препятствует заживлению лунки после экстракции и может стать одним из факторов, провоцирующих послеоперационные осложнения, поэтому врачи рекомендуют отказаться (или хотя бы сократить количество выкуриваемых сигарет) на период восстановления после операции.
Табачный дым препятствует заживлению лунки после экстракции
Важно! Курение не является противопоказанием для использования «Метрогил Дента», но существенно снижает эффективность терапии, препятствуя быстрому заживлению лунки и регенерации тканей.
Лучшие гели и мази от воспаления и кровоточивости десен
Для снятия неприятных симптомов кровоточивости или воспаления десен используются мази, включающие обезболивающие и противомикробные вещества, как в комплексе, так и отдельно. Лекарственные средства снимают зуд, снижают кровоточивость и воспаление, ускоряют процессы регенерации тканей. В целом использование медикаментов в тубе способствует укреплению десен.
От скорости проникновения активного вещества зависит эффективность лечения. Ротовая полость постоянно орошается слюной, не давая мази полноценно впитываться, в то время как гель для десен имеет лучшее «сцепление», а всасывание лекарственных компонентов происходит быстрее. Несмотря на все достоинства гелей, большинство пациентов употребляют термин «мазь», применяемый ко всем лекарственным препаратам в тубе.
Дентол на основе бензокаина способен снижать болевую чувствительность в месте нанесения на 20 минут, создавая защитную пленку на поверхности слизистой. Использование такого геля, как Дентол ускоряет процесс регенерации тканей. Мазь можно использовать практически всем, с учетом имеющихся противопоказаний. При помощи геля можно избавиться от неприятных ощущений в деснах, натертых протезом.
Небольшое количество Дентола в форме геля наносится на места воспалений массирующими движениями, после нанесения в течение 30 минут не рекомендуется употреблять еду и жидкости. Пользоваться Дентол гелем можно 3-4 раза в день, но не дольше недели.
Асепта с прополисом
Асепта является торговой маркой Вертекс. В состав линейки российского производителя включены многочисленные средства по уходу за полостью рта, в том числе гели для лечения десен.
Действие Асепта с прополисом и его состав приближен к «Метрогил Дента». Хорошее «сцепление» геля с десной обусловлено присутствием в нем пектина, тем самым действие препарата сохраняется на протяжении 30 минут. Наличие прополиса в Асепта геле способствует скорейшему заживлению ран, снижению чувствительности и нормализации микрофлоры в полости рта. Крем на основе натурального вещества чаще используется для профилактики заболевания десен, а также назначается при повышенной чувствительности зубов и дискомфорте, связанном с приемом пищи.
Наносить Асепта следует два раза в день на протяжении двух недель. После нанесения в течение часа необходимо отказаться от еды.
Метрогил Дента
Стомадент – препарат в форме геля, назначаемый для снятия болевых ощущений при проблемах с деснами. В состав геля входят компоненты растительного происхождения с выраженным противовоспалительным и противомикробным действием.
Гель наносится тонким слоем на болезненный участок десны два раза в сутки. Лечение может продлиться от одной недели до двух в зависимости от выраженности симптомов. После нанесения нужно воздержаться от употребления еды и жидкостей в течение 30 минут.
Свою эффективность в лечении пародонтоза показал биоактивный криогель. Данное лекарственное средство нельзя применять самостоятельно. Врач, выбрав метод лечения с использованием криогеля, закладывает его в пародонтальный карман пациента. Биоактивный гель работает как губка, оказывая кровоостанавливающее, дренирующее и противовоспалительное действие. После того, как препарат был уложен в десневой карман, должно пройти 1 или 2 дня до его полного рассасывания.
Троксевазин
Другие средства для десен
Плохая гигиена полости рта, механические повреждения слизистой или перенесенное инфекционное заболевание могут привести к гингивиту. Если вовремя не начать лечение, гингивит может переродиться в пародонтит. Помочь справиться с гингивитом могут мази для десен, часть из которых уже была описана выше.
- Хорошим противовоспалительным препаратом является мазь Холисал. У нее практически отсутствуют противопоказания, а эффект достигается за счет двух главных компонентов: холина салицилат снимает отек, цеталкония хлорид обладает антисептическим действием. Данную мазь могут использовать дети и беременные женщины.
- Для профилактики заболеваний десен рекомендуют использовать гель под названием Апидент-Актив. В своем составе он содержит натуральные вещества природного происхождения. Апидент-Актив улучшает кровообращение, повышает способность поврежденных протезом тканей слизистой к регенерации.
- Нередко в стоматологии прибегают к помощи мази на основе гепарина. Заживляющая Гепариновая мазь эффективно борется с симптомами пародонтоза, снижая кровоточивость десен. Мягко справиться с воспалением поможет Тетрациклиновая мазь, в состав которой входит антибиотик.
Характеристика геля и его свойства
«Метрогил Дента» — это стоматологический гель белого цвета, обладающий противомикробным и дезинфицирующим действием. Средство имеет тягучую консистенцию и легко проникает в пародонтальные карманы – щели, образующиеся при заболеваниях пародонта и соединяющие пришеечную часть зуба с краем десны.
«Метрогил Дента» — показания к применению
Выраженный лечебный эффект обеспечивается входящими в состав геля компонентами. Действующие вещества геля:
- хлоргексидин (водный раствор с концентрацией действующего вещества 20%) – один из самых эффективных и доступных антисептиков, обеспечивающих дезинфекцию кожных покровов и слизистых оболочек;
- метронидазол – препарат с антибактериальным и противомикробным действием, который входит в перечень жизненно необходимых лекарств.
Метронидазол обеспечивает также противопротозойную активность и предупреждает развитие инфекционных заболеваний, вызванных простейшими микроорганизмами-паразитами: трихомонадами, лямблиями, токсоплазмой и т. д.
В сочетании с хлоргексидином вещество оказывает выраженное антибактериальное действии в отношении большинства штаммов аэробов и анаэробов, которые часто становятся причиной воспалительных процессов пародонта после экстракции зуба.
Важно! При использовании «Метрогил Дента» для местного лечения и строгом соблюдении рекомендованной дозировки и схемы приема компоненты геля практически не всасываются эпителиальными оболочками. Средство не оказывает влияния на состав полезной бактериальной флоры и не нарушает целостность оболочек микроорганизмов из группы лактобактерий.
Гели и мази для детей — инструкция по применению
Малыши часто страдают при прорезывании первых зубов. Они испытывают болезненные ощущения во рту, которые могут заглушить специальные мази и гели, содержащие лидокаин и другие анестетики, предназначенные для детей.
Перед каждым нанесением препарата на десну ребенка, необходимо тщательно вымыть руки и обработать их дезинфицирующим средством. Затем гель тонким слоем нанести на десну.
Дентол беби — местный анестетик на основе бензокаина
Дентол беби (7,5%) – это препарат, способный быстро устранить неприятные симптомы у ребенка при прорезывании зубов. Его можно использовать, начиная с четырехмесячного возраста. В редких случаях врач может одобрить использование Дентол беби раньше того срока, когда ребенку исполнится 4 месяца.
Дентол (10%) может облегчить боль, вызванную вследствие повреждения слизистой оболочки рта. Гель Дентол без пометки «беби» в данной концентрации может быть использован детьми старше 6 лет и взрослыми. Дентол рекомендуют использовать от 3 до 4 раз в сутки, но не дольше 7 дней.
Солкосерил гель
Асепта гель
Современный комбинированный препарат – незаменимое средство при инфекциях в ротовой полости. В его состав входит мощный антисептик хлоргексидин и метронидазол. Последний компонент активен в отношении большинства известных бактерий, стафилококков и стрептококков.
- снятие раздражения и покраснения вокруг раны;
- регенерация тканей слизистой;
- обработка швов на лунке.
Несмотря на все полезные свойства, пациентам не следует забывать, что мазь содержит более 10% прополиса. Это может вызвать аллергическую реакцию, поэтому необходимо строго следовать инструкции и обязательно соблюдать рекомендованную дозировку.
Народные рецепты от кровоточивости десен
В народной медицине существует много всевозможных рецептов, позволяющих снять воспаление и уменьшить кровоточивость десен. Так, отвар шалфея обладает целебными свойствами, помогающими справиться с кровоточивостью десен. Чтобы приготовить отвар, необходимо столовую ложку измельченного высушенного шалфея залить 0,5 л. кипятка. Затем получившуюся смесь доводят до готовности на паровой бане в течение часа. Остывшим, процеженным отваром поласкают рот. Не нужно держать отвар долгое время во рту. Важно помнить, что лекарственные травы, так же как и медикаменты обладают рядом противопоказаний, поэтому начинать лечение стоит только после консультации со специалистом.
Обезболивающие средства
«Ибупрофен»
Нестероидный противовоспалительный препарат после удаления зуба, который оказывает довольно сильный болеутоляющий эффект. Выпускается в виде таблеток. Запрещен для применения детям до 6 лет, беременным и кормящим женщинам. Разовая доза – 600-800 мг, употреблять препарат можно до 4 раз в сутки, но не дольше 5 дней подряд. Аналогом является «Нурофен», действующее вещество в составе которого – как раз ибупрофен.
«Солпадеин»
Активными веществами препарата являются парацетамол, кодеин и кофеин. Парацетамол оказывает жаропонижающее действие, кодеин – обезболивающее, а кофеин – общее тонизирующее воздействие. Препарат противопоказан детям до 12 лет, беременным и кормящим женщинам, а также пациентам с нарушениями работы печени и почек. Действует достаточно быстро, принимать его следует после еды по 1 таблетке 3-4 раза в день.
Один из наиболее популярных и довольно сильных препаратов для обезболивания. Активное вещество, кеторолак, способно блокировать практически любую боль. Препарат противопоказан при беременности, грудном вскармливании, при нарушении функции печени и почек (с осторожностью), детям до 16 лет, не рекомендуется также пожилым людям (либо в минимальной дозировке). Принимать его следует по 10 мг каждые 4-6 часов.
Каким способом ускорить заживление десны после удаления зубов
Зубная боль назойливая и неприятная, от нее хочется избавиться как можно быстрее. Иногда зуб нельзя вылечить терапевтическим путем, приходится прибегать к хирургии. Удаление зуба – сложная процедура как для пациента, так и для врача. Благодаря современной анестезии она стала безболезненной. Но когда действие укола проходит, начинаются проблемы. В десне остается лунка. Она может зажить быстро и безболезненно, а может долго кровоточить и ныть. Как ускорить заживление десны после удаления зуба? В решении проблемы помогут заживляющие гели, мази, ополаскиватели и соблюдение правил гигиены рта. Нарушение целостности тканей часто приводит к развитию воспаления.
Когда появляются нежелательные симптомы, необходимо незамедлительно идти на консультацию к специалисту.
Лечение детей: особенности и рекомендации
Препарат подходит для лечения и профилактики заболеваний полости рта у детей школьного возраста. Стоматологи разрешают применение геля детям старше 6 лет. В этом возрасте самым распространенным детским заболеванием является стоматит, который может иметь инфекционную или неинфекционную этиологию.
«Метрогил Дента» подходит для лечения афтозного стоматита – самой болезненной формы воспалительного процесса на слизистых оболочках, характеризующегося образованием множественных дефектов в виде болезненных язв и эрозий.
Препарат помогает ускорить заживление слизистой, снять воспаление, уменьшить боль и предотвратить развитие инфекционных форм патологии. Использовать его необходимо аналогично инструкции для взрослых пациентов, но количество применений необходимо сократить до 2 раз в сутки. Продолжительность лечения – 10 дней.
Обратите внимание! Такая же схема применяется для профилактики альвеолита и болезней пародонта после удаления молочных зубов или при необходимости экстракции постоянного зуба.
Травматичность процедуры удаления зуба
Удаление зуба – крайняя мера. Операция проводится, когда терапевтическое лечение не может помочь избавиться от проблемы. Показания к экстренному удалению зубов:
- Периостит, остеомиелит (воспаления костной ткани).
- Флегмона.
- Синусит.
- Лимфаденит.
- Вертикальный зубной перелом.
- Перелом коронки с открытие пульпы.
Удаление зуба, в зависимости от ситуации и его расположения, проводят, используя разные техники. Десну отдаляют от поверхности коронки. Зуб захватывают щипцами, раскачивают или поворачивают, чтобы разрушить связь зуба с окружающими тканями. Затем его извлекают с помощью щипцов разных типов.
При вырывании зуба разрушается целостность слизистых, повреждаются мышцы, разрываются мелкие капилляры и нервы.
Это неизбежно. В открытые покровы легко может проникать патогенная флора. Чтобы этого избежать применяются антисептики.
Что делать при случайном проглатывании?
Данная ситуация характерна преимущественно для пациентов детского возраста, поэтому использовать гель дети должны строго под присмотром взрослых. При случайном проглатывании небольшого количества препарата выраженных изменений в самочувствии обычно не наблюдается.
При употреблении больших доз геля возможны признаки медикаментозного отравления, к которым относятся:
- головокружение и головная боль;
- тошнота;
- выделение рвотных масс;
- судорожный синдром;
- тремор верхних и нижних конечностей;
- парестезия (нарушения в работе чувствительных рецепторов, проявляющиеся онемением, покалыванием, ощущением «мурашек»).
При появлении данных симптомов необходимо обратиться за медицинской помощью. Лечение начинается с обильного промывания желудка теплым солевым раствором. При необходимости назначается симптоматическая терапия, в состав которой могут входить препараты, перечисленные в таблице ниже.
Если Вам удалили зуб, что делать в первые часы после операции – подробно расскажет врач. В течение некоторого времени после процедуры из лунки может течь кровь. Чтобы остановить кровотечение, необходимо наложить на пустую альвеолу ватный тампон, плотно прикусить его и подержать так в течение 45 минут.
Кровяной сгусток, образующийся на месте, где был зуб, важен для заживления, поэтому следует соблюдать меры осторожности, чтобы не травмировать его.
Сгусток можно повредить твердой пищей, зубной щеткой или зубочисткой. Чистить зубы необходимо в обязательном порядке, однако делать это следует аккуратно. Если не соблюдать гигиену полости рта, инфекция скапливается в полости рта и может вызвать боли и воспаление альвеолы, что требует от врача назначения лечения после удаления зуба.
В течение дня не следует принимать очень холодную или горячую пищу и напитки. Перепады температур приводят к сужению и расширению сосудов, что может вызвать развитие кровотечения из лунки. По этой же причине врачи не рекомендуют ходить в баню, принимать горячую ванну или душ.
Как заживает лунка в десне
После вырывания зуба в десне остается полость, ее размеры зависят от типа зуба. Для заживления десны понадобится некоторое время.
В период заживления ранки могут появиться такие симптомы:
- Кровотечение (при нормальном состоянии прекращается через 2-4 часа после процедуры).
- Боль в поврежденном участке, которая отдает в прилежащие ткани.
- Покраснение и припухлость десны вокруг травмированного участка.
- Кратковременная гипертермия (до 38 градусов).
- Кратковременная дисфункция челюсти.
- Нарушение функциональности челюстей является следствием болей и опухоли. В полость регулярно попадают остатки пищи, это может усугублять симптомы. Поэтому гигиена рта имеет огромное значение для заживления десен.
- Кровяной тромб, который появляется в лунке после извлечения зуба и кровотечения, нельзя пытаться достать. Он нужен для заживления ранки. Извлечение сгустка может привести к присоединению инфекции, началу нового кровотечения.
- Постепенно в лунке начнут образовываться эпителиальные клетки. Они отличаются по цвету, поэтому их образование может сначала напугать. Эпителий будет поэтапно выстилать лунку. Пытаться отковыривать клетки нельзя.
- После образования эпителиальной выстилки начнется процесс восстановления кости. Он протекает от стенок к центру лунки. Десна будет полностью восстановлена, когда закончится образование тканей кости.
Период заживления десны после удаления зуба для каждого человека индивидуален, зависит от скорости образования эпителиальных и костных клеток.
У одного пациента рана затягивается за неделю, у другого заживает десна после удаления зуба медленнее.
Солкосерил гель
Возможно, это наиболее эффективная заживляющая мазь после удаления зуба. Уникальное по формуле средство является современной разработкой на натуральной основе. Содержащийся диализит, который выделяют из клеток телячьей крови, насыщает ткани вокруг раны кислородом и питательными веществами, стимулируя процесс восстановления. Не менее полезны и другие компоненты:
- полидоканол 600, «замораживающий» нервные окончания и купирующий болезненный спазм в десне;
- эфирные масла мяты и ментол, убирающие отек, жжение и неприятный зуд в лунке.
Средство одновременно является антисептиком, противовоспалительной мазью и мягким анальгетиком. Перед ее использованием ранку обязательно промывают и очищают, немного подсушивая слизистую кусочком чистой марли. Солкосерил наносят тонким слоем дважды в день, оставляя на 20 минут для формирования пленочки.
Осложнения после удаления зуба
Если в процессе операции были допущены нарушения, или больной после процедуры не соблюдал правила поведения, могут развиться следующие нежелательные состояния:
- Сухая лунка. В полости нет сгустка крови, с которого начинается заживание. Причиной осложнения могут быть нарушения процесса тромбообразования, прием препаратов, уменьшающих свертывание (кардиоаспирин), слишком интенсивное полоскание рта. Сухая лунка может стать причиной проникновения болезнетворных бактерий, длительного заживления ранки.Как лечить нарушение, скажет лечащий врач.
- Альвеолит. Гнойное воспаление десны. Причиной осложнения является проникновение чужеродных микроорганизмов. Избавиться от проблемы помогут лекарства, антибиотики.
- Парастезия. Паралич тканей десны. Возникает из-за повреждения нервов по время операции. Парастезия проходит самостоятельно, через несколько часов, иногда дней.
- Перелом костей челюсти или зубов. Осложнения, причина которых одна – низкая квалификация лечащего врача.
- Иногда после извлечения зуба изменяется положение соседних зубов. Это связано с развитием воспаления, если зубные корни были удалены не полностью.
Наиболее часто осложнения развиваются после удаления зуба мудрости. Поэтому доверять операцию следует только опытным и проверенным специалистам.
Стрептоцидовая мазь
Среди многих препаратов для заживления ран в ротовой полости пациенты незаслуженно забывают проверенное временем средство – стрептоцитовую мазь. При низкой цене лекарство дает отличные результаты и является антибиотиком местного действия. Он активен против самых распространенных групп возбудителей болезней:
- вируса герпеса;
- токсоплазмоза;
- кишечной и синегнойной палочек;
- хламидий.
Лекарственную мазь после болезненного удаления зуба или корня следует наносить непосредственно на открытую лунку не менее 3-х раз в день. Предварительно полоскать рот антисептиком не требуется, но можно сочетать средство с другими ранозаживляющими составами. Стрептоцид отлично подсушивает ранку и ускоряет ее затягивание всего за 5–7 суток.
Чтобы десна заживала быстрее
После удаления зуба что делать, чтобы десна заживала быстрее и без осложнений. Для этого нужно соблюдать несколько рекомендаций:
- Остановка кровотечения в месте удаления зуба.
- Прием болеутоляющих средств.
- Снижение кровоточивости и отечности в течение первых суток после процедуры.
- Профилактика инфекций с помощью специальных средств.
- Очистка ротовой полости.
- Правильное питание.
- Полноценный отдых.
В первые часы после хирургического вмешательства очень важно вести себя аккуратно, чтобы не оказывать давления на ткани, не повредить и не удалить кровяной сгусток. Необходимо соблюдать все рекомендации лечащего врача.
Ускорить заживление дёсен поможет также отказ от курения на 1-2 дня после операции.
Средства для полоскания рта после удаления
Остановка кровотечения после операции
Раскачивание и извлечение зуба приводит к обильному кровотечению. Врач останавливает кровь сразу после операции с помощью стерильного отреза марли. Марлевый отрез кладут на кровоточащую лунку. Пациент должен крепко прикусить ткань. Чтобы надежно остановить кровь, не мешать образованию кровяного сгустка, нужно соблюдать простые правила:
- не разжимать десен, не разговаривать;
- при замене повязки не сплевывать слюну;
- не трогать поврежденное место руками, не лезть языком.
Если разжимать десна, кровотечение остановить не удастся. При обильном кровотечении повязка быстро намокает и требует замены. Появиться желание сплюнуть слюну, но делать этого нельзя, можно случайно выплюнуть образовавшийся сгусток. Марлю убирают через полчаса, кровотечение в норме должно остановиться за это время.
Обезболивание
Операцию удаления зуба проводят под местным обезболиванием. Современные препараты действуют быстро и надежно, что делает процедуру полностью безболезненной. О наличии аллергии на анестетик нужно сообщить стоматологу. При отсутствии осложнений зуб вырывают очень быстро. Анестезия действует еще некоторое время после операции. Когда действие препарата заканчивается, поврежденная десна начинает сильно болеть. Это нормальное явление после серьезной травмы.Можно ли использовать анальгетики? Сильная боль не дает спокойно отдохнуть, мешает есть. Ее рекомендуется снять с помощью традиционных обезболивающих препаратов («Нурофен», «Найз», «Нимесил»). Подходящее лекарство посоветует врач. Первую таблетку можно выпить, пока не прошло действие анестезии.
Иногда лечащий врач назначает антибиотики, если есть риск развития инфекции. Самостоятельно принимать средства не рекомендуется.
Есть ли ограничения во время беременности?
Экстракция зубов редко проводится во время беременности – только в случаях, когда имеются экстренные показания, угрожающие течению беременности и здоровью женщины и плода. Если врач считает, что без удаления не обойтись, очень важно соблюдать все рекомендации специалиста в послеоперационном периоде, даже если будущая мама чувствует себя хорошо.
Естественное снижение иммунитета во время беременности способствует стремительному росту патогенной флоры в случае проникновения бактерий и микробов в полость рта, поэтому важно обеспечивать антисептическую обработку при помощи препаратов, назначенных врачом.
Официальная инструкция указывает первый триместр беременности в качестве противопоказания для использования, но в редких случаях врач может назначить данное средство и на ранних сроках беременности (до 12-14 недель).
При этом важно соблюдать указанные дозировки и количество применений в сутки. Во 2 и 3 триместрах использование геля безопасно и не оказывает влияния на состояние и рост плода из-за низкой абсорбции действующих веществ.
Важно! На любом сроке беременности перед использованием «Метрогил Дента» лучше проконсультироваться с врачом. Женщинам, кормящим грудью, необходимо прекратить лактацию на период лечения.
Уход за десной после удаления зуба
Правильный уход за десной после удаления зуба поможет избежать осложнений и быстро заживить рану. Первые двое суток самые важные. От поведения пациента в этот период зависит, как быстро зарастет лунка.
Как ухаживать за десной после удаления зуба:
- Ледяные компрессы. Лед прикладывают на полчаса, повторяют процедуру через 20-30 минут. Холод вызывает сужению капилляров, предотвращает кровотечение, снимает отечность.
- Полоскание водой с солью. Полоскать рот можно только на следующее утро после процедуры. Одну ложку соли растворите в 250 мл теплой воды. Полоскать рот нужно медленно, выплевывать раствор осторожно. Полоскания делайте 4-5 раз в день, в течение 3–5 дней после операции.
- Теплый компресс. Тепло ускоряет кровоснабжение ткани, быстрому заживлению раны. Приложите компресс на щеку в районе травмы, когда пройдет 36 часов после операции. Сделать процедуру можно, если нет кровотечения.
- Лекарственный гель и мазь для десен. Залечить десну поле удаления зуба поможет гель с хлоргексидином. Мажьте больное место мазью только через двое суток после того, как удалён зуб. Сильно нажимать на рану нельзя. Гель снимает боль, покраснение, десна заживает гораздо быстрее. Смазывают десну обычно после очистки ротовой полости или полосканий.
- Заживить десну быстрее помогут репаративные препараты – «Солкосерил», «Стомафит», «Ротокан», прополис или облепиховое масло. Обработать десну можно пальцами или ватными палочками.
Первые два дня после операции нужно избегать твердой еды, отказаться от сигарет. Курение плохо влияет на здоровье десен. После травмы, если удаляли зуб, они становятся более уязвимыми.
Гель Холисал для десен
Правила приема пищи
Пища находится в непосредственном контакте с ротовой полостью и оказывает прямое влияние на травмированную десну. Поэтому соблюдение правил питания помогут снизить нагрузку на десну, уменьшить боль и ускорить зарастание лунки. Правила приема пищи после посещения стоматолога:
- Есть можно сразу, когда исчезнет эффект анестезии.
- В первые 48 часов принимать только жидкую и мягкую пищу, желательно прохладную, это снимет болевой синдром и отек.
- Избегать твердой, хрустящей, клейкой, острой пищи, газированных и горячих напитков.
- Не применять для питья и приема пищи соломинку.
- Жевать можно только на противоположную от травмированного места сторону.
- Переходить на твердую пищу нужно постепенно, чтобы заживающая десна не страдала от чрезмерных нагрузок.
- Рана зарастает за счет формирования костной ткани. Ускорить процесс поможет рацион, обогащенный белком. Нужно есть больше сыра, рыбы, мяса в мягком виде (паштет, тефтели и т.п). Витамины помогут восстановить общее состояние организма.
Гигиена полости рта
Почистить зубы можно через сутки после операции. Для ухода используют стандартный набор:
- зубная щетка и нить;
- паста или гель;
- ополаскиватель.
При уходе за зубами и языком нельзя задевать больное место. Ополаскивать рот и сплевывать необходимо аккуратно.
Для чего назначается препарат после экстракции зуба?
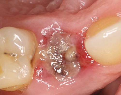
После извлечения зуба на поверхности десны остается открытая рана, открывающая доступ к оголенной костной ткани. Для профилактики воспалительного процесса сразу после удаления врач закладывает в лунку марлевый тампон, пропитанный кровоостанавливающими и антисептическими составами. Тампон или турунду необходимо держать в течение 15-30 минут, после чего нужно удалить.
Лунка в течение 20-30 минут после операции заполняется кровью, которая быстро сворачивается и образует плотный кровяной сгусток. Этот сгусток защищает рану от попадания грязи, микробов, бактерий и остатков еды.
Очень важно не трогать сгусток языком и не допускать его смещения, чтобы предотвратить попадание инфекции в лунку и избежать воспаления. До операции обязательно нужно предупредить врача о приеме любых лекарственных препаратов, потому что некоторые из них (например, средства на основе ацетилсалициловой кислоты) могут разжижать кровь и повышать риск послеоперационного кровотечения.
«Метрогил Дента» после оперативного вмешательства назначается для профилактики инфекционных и воспалительных процессов, уменьшения отека и болезненности и дезинфекции полости рта. К самым частым осложнениям экстракции относятся следующие патологии:
- альвеолит – воспаление зубной лунки («сухая лунка»);
- инфекционные поражения окружающих зуб мягких тканей;
- периостит – поражение надкостницы, сопровождающееся опуханием десенной ткани и выраженным болевым синдромом;
- гнойный абсцесс.
В течение нескольких дней после операции пациента может беспокоить умеренный или интенсивный болевой синдром, отек и припухлость десны. Кровоточивость должна полностью пройти на третий день – если этого не происходит, нужно обратиться к врачу.
«Метрогил Дента» помогает быстро снять воспаление, уменьшить выраженность болезненных ощущений и предотвратить развитие инфекционного процесса в полости рта.
уничтожает микробы во всей полости рта, снимает воспаление, уменьшает отечность и избавляет от кровоточивости, а также отлично обезболивает и охлаждает. Именно поэтому зубная мазь Холисал является самой действенной и доступной. Гель Холисал стоит от 200 до 300 рублей в зависимости от аптечной сети.
Метерогил Дента
Метерогил Дента обладает антисептическим действием и содержит антибиотик, что позволяет избежать воспаления. В отличие от Холисала, он не проникает глубоко в ткани, а действует непосредственно на поверхности десны.
В ходе лечения можно использовать гель Асепта. Он содержит прополис, убирает воспаление и не дает микробам размножаться в полости рта. Но лучше всего все же применять проверенные Холисал и прочие гели. Цена геля Асепта варьируется от 120 до 150 рублей.
Бальзам Асепта действует как антисептик и сдерживает размножение микроорганизмов. Хоть средство и является бальзамом, но полоскать им нельзя. Для лечения нужно втирать его в десны так же, как и любой другой гель.
Это происходит из-за пектина и целлюлозы, которые при попадании во влагу становятся как гель. Остальные компоненты такие же, как и у мази Метерогил Дента. Цена геля Асепта варьируется от 130 до 170 рублей.
Мазь для десен Дентал содержит кукурузное масло, что обеспечивает деснам защиту в виде пленки. Средство избавляет от болей и хорошо помогает убрать воспаление. Дентал подходит людям с протезами и приобрести его можно в любой аптечной сети без рекомендации врача. Мазь наносится с помощью массирующих движений. Применять ее можно не чаще 3 раз в день.
Солкосерил
Эта мазь обезболивает и восстанавливает поврежденную ткань десны после удаления зуба. Применяется при герпесе, после установки протезов и при стоматологических операциях.
Их лучше всего использовать в период восстановления, так как они обеспечат дополнительную защиту от воспалительных процессов.
После удаления зуба следует спросить у врача: какое средство подходит для восстановления десен лучше всего. Самолечение не всегда хороший вариант, поэтому для быстрого выздоровления нужен совет врача.
Лучшие мази для десен после удаления зуба в 2019 году.
Абсолютно нормально, если после того, как вам удалили зуб, место где он раньше находился опухает и болит. Но бывает и форс-мажор, когда без специальных заживляющих средств не обойтись. И тут на помощь приходят специальные мази после удаления зуба. Рассмотрим самые действенные.
Когда обращаться к врачу
Удаленный зуб может доставить много проблем. Иногда они требуют врачебного вмешательства. Обращаться к лечащему стоматологу нужно, если десна долго не заживает, и наблюдаются такие симптомы:
- Возобновление или усиление боли через 2–3 дня после удаления (может быть симптомом сухой лунки).
- Боль непривычного характера через 6–8 суток после вырывания зуба.
- Обильное кровотечение, которое длится дольше 3–4 дней.
- Лихорадка.
- Тошнота, рвота.
- Устойчивый привкус и запах изо рта.
Лихорадка, тошнота могут сигнализировать об остром воспалении. Горький привкус во рту иногда появляется при аллергии на анестетик. Он должен пропасть на первые сутки.
Неприятный привкус и запах изо рта также может указывать на воспаление.
Иногда в заживающей ране чувствуются острые осколки. Не всегда хирургу удается извлечь корни полностью с первого раза. Остатки омертвевших тканей зуба могут стать причиной воспаления. Поэтому при неприятных ощущениях нужно повторно обращаться в клинику.
Дозировка и длительность терапии
«Метрогил Дента» нужно наносить тонким слоем на болезненные и воспаленные участки. После удаления зуба первую аппликацию необходимо провести в течение 30 минут после операции. В дальнейшем следует обрабатывать область лунки и десны вокруг 2-3 раза в день.
Курс лечебно-профилактической терапии обычно составляет 7-10 дней. Даже если пациент чувствует себя хорошо или видимые улучшения появились раньше этого срока, не рекомендуется прекращать лечение, так как мягкие ткани остаются уязвимыми к негативным факторам в течение недели после экстракции. Полностью местный иммунитет восстановится примерно через 10-14 дней после удаления.
Перед удалением зуба
Проблемы с зубами застают врасплох. В экстренных ситуациях к процедуре удаления зуба подготовиться не получается.
До проведения операции обязательно нужно предупредить врача о приеме препаратов:
- средства от гипертонии;
- оральные контрацептивы;
- любые гормональные средства.
Лекарства для гипертоников и контрацептивы нарушают свертываемость крови, что приводит к сильному кровотечению.
Нужно предупредить доктора о наличии сахарного диабета. У больных десна после хирургического вмешательства долго не зарастает и кровоточит. Стоматолог примет меры, назначит средства ухода, которые помогут избавиться от дискомфорта. Обрабатывать больное место придется чаще.
Левомеколь мазь
При обнаружении гнойной кисты или абсцесса в корне удаленного зуба стоматологи рекомендуют обрабатывать лунку на десне мазью Левомеколь. Средство обладает выраженным противомикробным эффектом и избавляет от воспаления мягких тканей.
Зачастую Левомеколевую мазь рекомендуют применять после удаления зуба, если пациент страдает от пародонтоза или гингивита. У таких больных повышен риск инфицирования раны стафилококками, поэтому 2 раза в сутки на лунку накладывается тампон, пропитанный препаратом.
Левомеколевая мазь содержит сильный антибиотик, поэтому ее не следует использовать более 7 дней. Возбудители могут адаптироваться к препарату, поэтому пойдет обратная реакция в виде сыпи, сухости десен и их отечности.
Зачем нужна?
После изъятия испорченного зуба, может приключиться несколько неприятностей.
Таких, как:
- Слишком сильно кровоточащая лунка.
- Сильная боль при попадании в лунку пищи.
- «Альвеолит» то есть нагноение лунки и соответствующий запах изо рта
Это основные симптомы при которых нужна лечебная мазь. Но сначала нужно повторно сходить к стоматологу чтобы немного разобраться в точных причинах своего недуга и в том какую мазь лучше применить. Заживляющая мазь обыкновенно оказывает все необходимые действия на больную лунку: обезболивание, регенерация тканей десны, дезинфекция, снятие опухоли.
Часто, осложнения начинаются после затрудненной операции. Например, если у зуба искривленные корни, или если он слишком хрупкий и рассыпается при попытке его достать. И в том и в другом случае зуб приходится вынимать по частям. Остатки кариеса попадают в глубь ранки, в следствии чего образуется гнойное воспаление.
Мазь Троксевазин
Иногда после тяжелого удаления зуба открытая лунка сильно кровоточит, десна отекает и болит. Облегчить состояние помогает мазь Троксевазин, которая является качественным ангиопротектором. Ее компоненты воздействуют на капилляры в слизистой, укрепляя и восстанавливая их хрупкие стенки после оперативного вмешательства стоматолога.
Троксевазин мазь необходимо наносить на десну легкими круговыми движениями, слегка массажируя участок вокруг лунки. Если ранка постоянно сочится, можно приложить ватный шарик с препаратом на 20 минут, чтобы быстрее сформировался сгусток.
Полоскание после удаления зуба для заживления десны и его особая роль в системе послеоперационных мероприятий.
Операция удаления зубов (экстракция), хоть и не является обширной и проводится под местной анестезией, такая же хирургическая операция, как и в других областях. После ее проведения необходим комплекс мероприятий, способствующих быстрому заживлению десны после удаления зуба и исключающих возникновение воспалительных реакций в зоне удаления.
Список мазей и гелей для заживления десен
Мазью для десен, принято называть и гель с аналогичными функциями. Разница между ними лишь в том, что гель более эффективен, так как лучше впитывается в слизистую влияя на сам очаг воспаления. Существуют и другие средства, которые по функционалу можно приравнять к мазям, например специальный бальзам.
«Асепта»(гель)
Способ применения:
- Почистить зубы, чтобы избавиться от остатков пищи.
- Промокнуть лунку ватным тампоном чтобы убрать лишнюю влагу.
- Равномерно нанести гель.
- Соблюдать диету примерно 30-40 минут. (Вышеприведенная инструкция универсальна для всех зубных мазей.)
Обычный курс лечения длится от недели до двух, с применением геля 2-3 раза в сутки.
Противопоказан при беременности, при индивидуальной непереносимости, в период лактации, а также детям до шести лет, так как для этого пока недостаточно клинических данных.
Основным компонентом геля является «прополис».
Приблизительная стоимость 180 рублей за 10 грамм.
«Метрогил дента»(гель)
Применяется в течении 1-1,5 недель два раза в сутки. При более частом использовании, есть риск дисбактериоза ротовой полости.
Запрещено принимать детям до шести лет. Как основные компоненты, содержит в себе «Метронидазол» и «Хлоргексидин«.
Приблизительная стоимость 200 руб. за 10 г.
«Солкосерил»(гель)
Следует применять до полного исчезновения болезни, после каждого приема пищи в течении дня, и перед сном.
Не рекомендуется к приему при повышенной чувствительности к какому-либо из составных компонентов геля. В состав входит «Деализат» из телячьей крови.
Средняя цена 340 руб. за 5 г.
«Холисал»(гель)
При срочной необходимости снять боль, применяется перед едой. В остальных случаях также как и соклосерил, 3-5 раз в день до исчезновения симптомов.
Основной компонент «холина сацилиат» , жаропонижающее и анальгезирующее средство. Следует с осторожностью принимать при беременности, в период лактации, и детям до одного года.
Ориентировочная цена 330 руб. за 10 г.
«Асепта»(бальзам)
Способ нанесения на ранку ничем не отличается от мази или геля. Применяется на протяжении семи или десяти дней утром и вечером.
Противопоказания те же что и у «асепта»геля, при беременности, в период лактации, при индивидуальной непереносимости, и детям до шести лет.
Его основными компонентами являются «метронидазол» и «хлоргексидин».
Приблизительна цена 200 руб. за 10 г.
Теперь немного абстрагируемся от зубов и сконцентрируем внимание на средствах от отеков (флюса).
Флюс — более упрощенное название периостита. Довольно серьезная болезнь причиняющая сильную боль и дискомфорт, особенно в запущенном виде. Диагностируется как гнойная шишка в основании зуба. Распознается очень легко: боль при жевании, отек десны, что приводит в последствии к отеку половины лица.
Существует много всевозможных лекарств от отеков, таких как растворы для полоскания, антибиотики, и даже средства народной медицины. Но чтобы не отвлекаться от тематики мазей, что красной линией проходит через всю нашу статью, остановимся на них (т.е. на мазях).
Рассмотрим несколько наименований:
Левомеколь
Срок использования не более семи дней, так как при более длительном применении можно спровоцировать осмотический шок у здоровых клеток.
Противопоказан при высокой чувствительности к метилурацилу или хлорамфениколу, при экземе и псориазе, грибковых заболеваниях кожи, и детям до трех лет.
Средняя цена 630 рублей.
Мазь «Вишневского»
Предназначена для наружного применения дважды в сутки.
Не рекомендуется к применению при индивидуальной непереносимости, а также при почечной недостаточности.
Средняя цена 40 руб. за 40 г.
«Стрептоцидовая» мазь
Наносится тонким слоем на пораженные участки ткани 2-3 раза в сутки. Срок лечения не должен превышать 14 дней.
Противопоказан к применению при непереносимости сульфаниламидных средств, нарушениях работы почек, также во время беременности и в период лактации.
Приблизительная цена 53 руб.
Для более быстрого результата будет лучше использовать комплексное лечение. Например, мазь+антибиотики.
Холисал мазь
Вообще не только хейлит мучает человека, в ротовой полости бактерии могут спровоцировать любое заболевание, которое приведет к серьезным воспалениям. Инструкция по применению препарата холисал нам рассказывает, что его можно применять при таких заболеваниях как:
- Заболевание гингивит, пародонтоз
- Стоматиты разного вида, в том числе и кандидозный
- После удаления зуба
- Обычной бытовой ране на слизистой рта, например ожог или укус губы или внутренней части щеки во время жевания пищи
Очень часто случается, когда человек нечаянно кусает себя, во время приема пищи, страдает чаще внутренняя часть щеки. Прикус болезненный и, если не предпринять лечебных действий, то болеть это место будет минимум неделю.
Если применить гель холисал для десен и не только, то воспаление быстро пройдет и буквально за три дня отек слизистой будет устранен. Наносить на внутреннюю часть щеки иногда холисал мазь сложно и можно для этого воспользоваться ватной палочкой.
В инструкции геля стоматологического холисал сказано, что на палец выдавливается полоска 1 см. длиной наносится на пораженное место и мазь втирается. Если укус расположен, где, то в недоступном для пальца месте, то ватная палочка сможет без труда проникнуть в укромное место и смазать болезненное проявление.
Инструкция по применению препарат холисал в этом случае указывает на то, что иногда обычным методом нанесения, пародонтоз вылечить не удастся. Необходимы хитрые действия. Вначале конечно нужно устранить причину пародонтоза, сходить к стоматологу и удалить зубной камень из-под десен.
Есть очень хитрый и доступный всем способ, как нанести препарат под десны.
- Гель стоматологический холисал выдавливают в небольшую емкость
- Берут обычный шприц небольшого объема
- Гель необходимо пометить в шприц, как обычно это делается с растворами, какая-то часть все равно в шприц попадет
- Теперь подойти нужно к зеркалу и открыть рот
- Далее начинайте при помощи шприца вводить холисал лекарство в десневые карманы
- В нижние пародонтозные карманы сделать это не сложно
- Верхние необходимо приподнимать и вводить препарат
Так делать нужно три раза в день. Поверхность десен конечно тоже не забывайте смазывать и массажировать.Препарат не всасывается в кровь, так нам говорит инструкция по применению. Но при беременности все-таки такой метод не подходит, так как врачи не советуют в больших дозах применять холисал, а в данном случае доза препарат действительно большая, но ведь лечить пародонтоз все-таки нужно.
Да на самом деле многие мамы смазывают своим детям десны во время прорезывания зубов. Холисал отлично снимает боль, и воспаление, но нельзя забывать о том, что это лекарственное средство еще имеет и побочные эффекты.
Многие мамы начинают сразу же наносить гель на десны, без какой либо подготовки. А между тем необходимо сначала провести небольшую санитарную обработку. Набрать в стакан воды теплой, развести совсем немного соды и протереть ватным тампоном десны.
Конечно, гель действует, как и антисептик и сам способен обеззаразить все вокруг, но лишняя чистка не повредит, тем более что воспаленные десны подвержены заболеваниям намного больше. После санации можно нанести на десны мазь и втереть.
В таком случае тоже поможет гель. Наносить его нужно обязательно после того, как обработаете ранку антисептиком. Прополощите рот мирамистином и хлоргексидином и можете спокойно нанести препарат на ранку. Заживление будет происходить быстрей.
Уникальное средство, способное облегчить боль и дискомфорт после удаления зуба. Легкая мазь на основе холина салицилата является прекрасным антисептиком. Она быстро впитывается в десну и обволакивает рану тончайшим дышащим слоем.
Небольшое количество Холисала можно выдавить на ватный тампон и аккуратно нанести на кровоточащую лунку. Мазь после удаления зуба действует как обезболивающий препарат, уничтожает опасные микроорганизмы, обеспечивая максимальную стерильность ране.
Несмотря на сложный и многокомпонентный состав, мазь Холисал практически не имеет противопоказаний. Она рекомендуется пациентам разного возраста, женщинам в положении и людям, склонным к аллергии на лекарственные препараты.
Для снятия отеков и заживления тканей
Холодные компрессы не совсем относятся к препаратам, но, тем не менее, это один из самых эффективных способов снятия отеков после удаления зуба. По возвращении домой после операции со стороны щеки (но не к области раны) следует приложить холод: подойдут лед, снег или замороженное мясо, завернутые в полотенце. Держать компресс-5-15 минут, повторять каждые 30-60 минут. Общая длительность – 5-7 раз, по самочувствию.
«Солкосерил»
Адгезивная паста, предназначение которой – ускорение заживления травмированных областей, поскольку действие активных компонентов направлено на стимуляцию регенерации тканей. Применяется как после удаления зуба, так и в случае развития осложнений (например, при альвеолите). Паста наносится тонким слоем прямо на рану, но перед этим поверхность нужно дезинфицировать (например, Хлоргексидином или Мирамистином). Использовать 3-4 раза в день, после нанесения не есть в течение 2-3 часов (пить можно).
Противопоказания и побочные действия
Использование Солкосерила может вызвать следующие побочные эффекты:
- Искажение вкусовых ощущений.
- Кратковременное жжение в области нанесения препарата.
Обратите внимание! Ощущение жжения сразу после нанесения препарата считается нормальной реакцией. Если же оно не прекращается в течение нескольких минут – необходимо снять вещество с кожи и отказаться от дальнейшего использования препарата.
От использования препарата также стоит отказаться в пользу аналогов в случае обнаружения аллергии на какой-либо компонент препарата. Аллергия может проявить себя в виде мелкой сыпи на коже или покраснения.
Применение трав для изготовления растворов для полоскания рта в домашних условиях
Опухшую после удаления зуба десну можно полоскать отварами и настойками трав. Несмотря на то что травяные отвары обладают слабыми антисептическими свойствами, их применяют при воспалении лунки в сочетании с другими сильнодействующими средствами для полоскания горла и рта. Для приготовления ополаскивающего раствора можно использовать ромашку, шалфей, календулу, кору дуба. Рекомендуется как их комбинированное использование, так и заваривание одного ингредиента.
Для приготовления отвара, которым можно безопасно полоскать лунку после удаления зуба, понадобится столовая ложка растительного лекарственного сырья и чашка кипятка. Сперва нужно заварить траву, а затем подержать раствор на слабом огне в течение 10–15 минут. Когда отвар настоится, надо процедить его и остудить.
Запрещается применять травяные отвары в качестве единственного средства для лечения нагноений в лунке. В таких случаях требуется консультация врача в стоматологической клинике, он назначит антибиотики или другие более сильные лекарства, позволяющие избежать серьезных осложнений.
Последствия экстирпации «восьмерки»
Часто опухают и болят десны после извлечения именно 3-х моляров. Такая ситуация связана с тем, что зубы расположены в крайне недоступном месте. Поэтому часто длительно не заживает лунка. Но негативные симптомы могут быть, и не выражены, это тоже нормальная реакция.
Основными причинами длительной регенерации раны после восьмерки считаются:
- степень повреждения десны;
- длительная кровоточивость;
- нарушение техники проведения операции;
- неправильно подобранная анестезия;
- сильное разветвление корневой системы 3 моляра;
- чрезмерное разрушение коронки;
- присоединение инфекции.
Обширная рана и ее расположение напрямую влияют на стадии заживления лунки после удаления зуба мудрости. Как правило, этот процесс всегда более длительный, чем в других случаях.
Народные средства
Для полоскания также используют натуральные антисептические и противовоспалительные средства народной медицины:
- отвар из травяного сбора, в который входит ромашка, кора дуба, шалфей и зверобой;
- отвар цветков ромашки и календулы;
- настойка на листьях золотого уса;
- эвкалиптовый отвар.
Что касается популярного содо-солевого раствора, то относительно этого средства стоматологи неоднозначны. С одной стороны, он купирует воспалительные процессы, а с другой – раздражает ткани. Рекомендуется отказаться от соды и соли в пользу современного антисептика без побочных эффектов.
Отвар из зверобоя Удаление зуба – процесс неприятный. После процедуры многим пациентам хочется как можно скорее забыть об инциденте, но образовавшаяся ранка не дает этого сделать.
Что после такой хирургической манипуляции главное? Это обеспечить все условия для заживления тканей десны и кости, избежать возникновения воспалительного процесса, а уж потом подумать и о восстановлении дефекта при помощи протезирования или имплантации.
Препараты
Для обработки ротовой полости подходят антисептические средства, не содержащие спирт, поскольку он обжигает ткани и дополнительно травмирует уже и без того поврежденные и болезненные участки.
Мирамистин
Самый безопасный и эффективный антисептик широкого спектра, справляется с бактериальной, грибковой и вирусной инфекцией. Мирамистином пользуются с 1991 года, его действенность доказана сотнями тысяч пациентов. Он абсолютно безвреден и может применяться детьми с самых первых дней жизни, беременными и женщинами в период лактации.
В аптеках продается только один вид раствора Мирамистина с концентрацией действующего вещества в 0,01% – с выбором ошибиться невозможно. Препарат доступен в различных формах выпуска – в виде аэрозоля, жидкости для полоскания рта и во флаконе с урологической насадкой. Для скорейшего заживления десны после удаления зуба подходит аэрозоль и раствор для полоскания.
Предпочтение лучше отдавать Мирамистину в бутылочке с распылителем: распыляя его на расстоянии не менее 5 сантиметров от лунки вы не рискуете повредить кровяной сгусток, образовавшийся на месте вырванного корня. Он служит основой для образования костной ткани и защищает лунку от бактерий, а потому должен «продержаться» в ней минимум 2-3 дня после операции.
Если же этот сгусток «вымывается», в полость бывшего корня забиваются остатки пищи, заживление затягивается и сопровождается болями.
Мирамистин применяется не чаще 4 раз в сутки в течение 5-6 дней. Средняя стоимость флакона – 200-300 рублей (с распылителем дороже).
Перекись водорода
Сразу после удаления стоматологи промывают зону операционного поля 3% раствором перекиси водорода – мощным антисептиком. Однако в домашних условиях использовать перекись нежелательно.
При контакте антисептика с поверхностью раны происходит активное пенообразование: так из перекиси освобождается кислород, пузырьки которого покрывают раневую поверхность. Процесс опасен риском повреждения кровяного сгустка, а кроме того, перекись водорода вызывает раздражение слизистой оболочки.
Перманганат калия
Об этом популярном некогда антисептическом средстве, знакомом всем под названием «марганцовка», нужно раз и навсегда забыть. С 2007 года перманганат калия исключен из свободной продажи, купить его можно только по рецепту врача в рецептурных аптеках. Использование «марганцовки» для полоскания рта чревато ожогами слизистой, поэтому лучше отдать предпочтение современному и безопасному антисептику.
Фурацилин
Популярный антисептик, рекомендуемый при гнойно-воспалительных осложнениях после удаления зуба. Доступен в продаже в форме жидкости, однако чаще всего в аптеках продают таблетки Фурацилина – яркого желтого цвета. Для приготовления средства для полоскания и ванночек 10 растолченных таблеток разводят в литре кипятка, полученную смесь охлаждают до 35-40 градусов.
Несмотря на отменный антисептический эффект Фурацилина его категорически не рекомендуют использовать для активных полосканий – может привести к разрушению кровяного сгустка в лунке. Препарат подходит только для ротовых ванночек.
Фурацилин применяют не больше 3-4 раз в сутки в течение 5-6 дней. Цена препарата – 70-80 рублей за пластинку из 10 таблеток.
Хлоргексидин
Второй по популярности антисептик после Мирамистина, показанный в качестве полосканий для заживления лунки удаленного зуба. Эффективен против бактерий, простейших и некоторых вирусов. Для обработки ротовой полости подходит 0,05-процентный водный раствор Хлоргексидина – в виде спрея или обычной жидкости в бутылке без распылителя. При использовании более концентрированного раствора возможны ожоги слизистой.
Используется препарат несколько раз в сутки. Характеризуется пролонгированным эффектом: оставаясь на слизистой Хлоргексидин действует еще до 4 часов. Средняя стоимость – 15-20 рублей.
Несколько рекомендаций
После любого хирургического вмешательства для полноценной регенерации тканей требуется поступление в организм необходимого количества минеральных веществ и витаминов.
В этот период стоит обратить внимание на ежедневный рацион. Ускорить восстановление помогут также витаминные комплексы. Для поддержки иммунитета потребуются иммуномодулирующие препараты. Желательно приобретать те, которые изготовлены на натуральной основе.
Чтобы не возникало вопроса через, сколько заживает десна после удаления зуба, необходимо следовать рекомендациям, тогда все пройдет быстро и без дополнительных проблем:
- не принимать пищу и любые жидкости как минимум 2-3 часа:
- не переохлаждаться;
- следить за гигиеной ротовой полости;
- не посещать баню, сауну;
- отложить тяжелый физический труд на пару дней;
- проводить мягкое полоскание раны;
- не принимать твердую пищу в течение 3-х суток;
- исключить прием алкоголя и курение хотя бы на 1 неделю.
Итак, сколько времени заживает рана после экстирпации однозначно сказать сложно. С учетом множества факторов это бывает всегда строго индивидуально. Приведенные примеры сроков, лишь ориентировочные, как и все симптомы после операции. Практические советы по уходу за лункой, помогут ускорить процесс и избежать тяжелых последствий.
Натуральные заживляющие ткани средства
Помимо развития заболеваний, появление болячек во рту может быть результатом механического повреждения слизистых. Это может произойти по разным причинам:
- во время неправильной чистки зубов — использование слишком жесткой или поврежденной зубной щетки, применение средств с чрезмерной абразивностью, при чрезмерно сильных нажатиях и др.;
- образование трещинок и ранок после укусов мягкой ткани;
- проведение санации не по правилам;
- неграмотная установка протезирующих конструкций, коронок, брекетов.
В этом случае можно использовать мази, в состав которых не входят медикаментозные вещества, а лишь растительные компоненты, обладающие выраженными лекарственными эффектами. Например, высокой эффективностью обладает средство с прополисом.
Мазь на основе прополиса позволяет избавиться от язвочек, улучшает состояние десен и прочих мягких тканей, укрепляет кровеносную систему, благоприятно влияет на микрофлору ротовой полости.
Мазь с прополисом можно приготовить самостоятельно, растопив сливочное масло, добавив в него немного спиртовой настойки прополиса и оливкового масла. Получившийся крем наносят на пораженные участки регулярно до исчезновения повреждений и по мере необходимости.
Мощным заживляющим действием обладает мазь из моркови и фенхеля. Она способна дезинфицировать поверхности слизистой, устраняя очаги воспаления, поэтому ее применяют для обработки ран и прочих повреждений, в том числе и в ротовой полости.
Это натуральное средство готовится очень просто, в качестве активных ингредиентов берется свежевыжатый сок моркови и фенхелевое масло, основой является косметический вазелин или глицерин, делающий смесь гелем.
Подобные народные рецепты используются в составе комплексного лечения или же когда травмирование слизистой связано с механическими повреждениями. В противном случае мазь лишь снизит симптомы, не избавив от причины недуга.
В практике стоматологов часто возникают ситуации, когда пациенты с запущенными болезнями жалуются: «Мажу, мажу десны эффективным средством, которое порекомендовала соседка, но стало только хуже». Мазь из прополиса, коры дуба и других растительных компонентов не может помочь от туберкулеза, герпеса или кандидоза — здесь требуется более серьезный подход к лечению.
Не рекомендуется прижигать язвы и ранки во рту перекисью водорода, зеленкой и прочими агрессивными составами, способными оставить на поверхности нежных тканей ожоги.
Слизистая поверхность ротовой полости играет серьезную роль в организме. Она способна задерживать инфекцию, не давая ей распространяться по другим системам и органам, при этом она быстрее остальных тканей восстанавливается. Однако и сама слизистая нуждается в защите и своевременном лечении, и выбор мази для ее заживления лучше доверить специалисту.
Стоматит – один из самых распространенных недугов полости рта, причин у него очень много, а для лечения рекомендуются спреи, полоскания, гели и мази. Вот про мазь от стоматита мы и поговорим сегодня.
Средство №2: «Хлоргексидин»
Препарат доступен каждому. Для того, чтобы полоскать рот после удаления зуба, достаточно набрать немного средства в рот (по вкусу оно горьковатое, но почти не имеет запаха), подержать на протяжении нескольких минут, потом выплюнуть. После этого желательно воздержаться от еды и напитков в течение получаса, для того, чтобы действующие вещества «Хлоргексидина» подействовали.
Интересно, что полностью здоровым людям с хорошим иммунитетом не обязательно после удаления полоскать рот. Ранка в большинстве случаев затягивается самостоятельно, без каких либо дополнительных манипуляций. То же правило распространяется и на тех пациентов, у кого санирована полость рта, а все остальные зубы во рту здоровы.
Можно ли после удаления зуба полоскать рот «Хлоргексидином» беременным и детям? Нет. Вещество нельзя проглатывать.
На помощь спешит народная медицина
Нетрадиционные методы лечения различных заболеваний не теряют своей популярности и по сегодняшний момент. В стоматологической практике в основном применяются отвары различных лекарственных трав.
Календула
Настои и отвары подходят для полоскания ротовой полости. Цветы Календулы необходимо заварить 200 мл воды в объеме 2 ст ложек. Предварительно их рекомендуется растереть в порошок, так получиться более насыщенный и ароматный раствор.
Полоскание осуществлять после еды. Вначале стоит почистить зубы щеткой с пастой, сделать орошение теплой кипяченой водой и затем только применить отвар. Календула имеет дезинфицирующее, регенерирующее и антисептическое действие.
Шалфей
Это средство уже много лет используется в стоматологии, так как обладает выраженным противовоспалительным эффектом. Кроме этого отвар помогает устранить неприятный запах из ротовой полости, оставляя приятный аромат.
Для приготовления нужного объема достаточно заварить 1ст ложку растения. Чтобы средство получилось более насыщенное, его можно несколько минут подержать на медленном огне. Посуду для приготовления лучше выбирать эмалированную. Полученная смесь используется по классической схеме, как и, например Календула.
Зверобой и аптечная ромашка
Сочетанное воздействие нескольких лекарственных трав отлично подойдет при сильном воспалении или наличии гнойных выделений. Лечебное действие этих трав поможет, если не заживает рана длительное время или сформировалось осложнение.
Чтобы приготовить настой следует взять 2ст ложки зверобоя и 1 ромашки. Все тщательно перемешать, залить кипятком и дать настояться в темном месте около 2-х часов. Перед применением средство лучше процедить и слегка подогреть.
Зверобой и хвоя сосны
Два компонента смешиваются 4:1. В общей сложности понадобится 4 ложки средства. Их необходимо залить кипятком в эмалированной посуде и поставить на огонь.
Доведя до кипения выдержать 10 мин и еще настоять 1,5 часа. Затем кипячение повторяется, пока не выпарится половина жидкости. Данным раствором следует аккуратно смачивать поврежденный участок челюсти несколько раз в день.
Раствор соды
Это очень простой и в тоже время эффективный рецепт. Систематическое применение позволит справиться практически с любым воспалением и инфекцией. Кроме того полоскание может помочь частично осветлить твердые ткани.
Раствор готовят путем добавления на 200 мл воды 5 г питьевой соды. Применяемая жидкость должна быть обязательно теплой. Проводить обработку можно каждые 3-4 часа, но не дольше 1 недели. Сода может оказывать эффект высушивания слизистой оболочки полости рта. Если появился такой симптом, частоту полоскания лучше сократить или заменить средство другим раствором.
Вот как ускорить заживление десны простыми и доступными средствами. Часто народная медицина используется параллельно с традиционным лечением. Такой подход особенно необходим, если возникло осложнение.
Причины заболевания
Травматичное удаление зуба
Часто причиной альвеолита является травматичность стоматологической процедуры. Травма может быть получена , если зуб удаляли,по фрагментам (частям). В процессе операции иногда повреждается десна или частично разрушаются костные стенки лунки. В этом случае заживление происходит более длительно по сравнению с неосложненным удалением и нередко сопровождается появлением альвеолита.
Попадание в лунку инородных частиц
Иногда боли после удаления зуба возникают в результате попадания в лунку содержимого кариозной полости, зубных отложений, осколков удаленного зуба или костных фрагментов альвеолы. Кроме этого, причиной болей и альвеолита может стать разрушение кровяного сгустка.
Несоблюдение гигиены лунки
Заживление альвеолы происходит благодаря образованию кровяного сгустка. Этот биологический барьер защищает лунку от попадания инфекций и воспаления. Через некоторое время сгусток замещается вновь образовавшейся костной тканью. Не рекомендуется в течение суток после стоматологической процедуры употреблять грубую, горячую или острую пищу, так как это может разрушить кровяной сгусток. Кроме этого, чистить зубы и полоскать рот необходимо с осторожностью. Несоблюдение рекомендаций стоматолога может привести к нарушению кровяного сгустка, появлению альвеолита и болей после удаления зуба.
Наличие инфекции
Иногда причиной стоматологической опреации является хронический периодонтит – воспаление тканей, которые окружают корень. Если Вам удалили зуб, и болит его лунка, это может быть вызвано попаданием в нее инфекции.
Процесс в норме
Любое восстановление характеризуется определенными признаками. В большинстве стоматологических заболеваний выявить это достаточно сложно. Все процессы скрыты от визуального наблюдения и имеют общие объективные ощущения.
Вот как зарастает десна после удаления зуба в норме:
- В течение суток наблюдается усиление болевой реакции и отечность мягких тканей. Раневая поверхность покрыта плотным сгустком крови. На третьи сутки появляются первые признаки восстановления эпителия.
- Через неделю кровяной сгусток изменяется в цвете и начинает замещаться на грануляции. Обновленный эпителий формируется по периферии раны. В центре еще есть остатки сгустка.
- На 15 день эпителий полностью закрывает проблемную зону. Появляются первые признаки формирования костной ткани.
- К 20 дню происходит полное созревание эпителия. Грануляционная ткань начинает резорбцироваться. Наблюдается заживление раны после удаления зуба с проявлением остеогенеза.
- Через месяц отмечается активный рост костной ткани по краям раны по направлению к центру. Грануляции к этому времени практически полностью отсутствуют.
- Спустя 2-3 месяца лунка заполняется новыми костными элементами. Однако ее признаки еще определяется визуально.
К четырем месяцам происходит полное восстановление. Но гребень альвеолярного отростка в этой области будет иметь низкий уровень по сравнению с другими участками челюсти.
В дальнейшем при отсутствии ортопедического лечения процесс атрофии усилится. Этапы заживления лунки зуба после удаления могут изменяться по срокам и симптоматическим проявлениям.
Для чего необходимы мази
Необходимость удалить зуб у взрослого пациента обычно возникает на фоне воспаления в десне, при нагноении корня или других заболеваниях. Поэтому нередко возникают осложнения, которые ухудшают состояние человека:
- лунка постоянно сочится и кровит, не затягивается в течение длительного времени;
- в рану попадают бактерии и возникает абсцесс , инфекция распространяется по всему организму;
- лунка воспаляется и начинается альвеолит, который сопровождается обильным выделением гноя и сукровицы, поражением кости челюсти.
После операции лечение должно продолжаться в домашних условиях. Для этого применяются примочки, полоскания антисептиками и антибиотики. Хороший эффект дает заживляющая мазь после удаления зуба, которая содержит обезболивающие и противовоспалительные компоненты. Это помогает сократить время восстановления и бережет человека от возникновения гнойников, свищей и других осложнений.
Как правильно выбрать антисептические полоскания
Есть много видов растворов антисептиков для полоскания полости рта, но, если вы планируете использовать противовоспалительный гель для аппликаций, то их нужно подбирать с учетом друг друга. Обычно оптимальным решением является 0,05% или 0,12% антисептический раствор хлоргексидина, и тогда оптимальным решением будет выбор геля с противовоспалительными компонентами (и наоборот).
Т.е. при выборе Холисал-геля лучше выбрать полоскание с хлоргексидином. При выборе геля PRESIDENT Effect, содержащего 0,25% растовором хлоргексидина, будет лучше выбрать полоскание с противовоспалительным компонентом. Например, раствор «Пародонтоцид» с фенилсалицилатом, тимолом, гвоздичном маслом и эфирными маслами лекарственных растений. Тоже самое касается и выбора антисептического геля Perio-Aid, содержащего сразу 2 антисептика (хлоргексидин и цетилпиридин).
При выборе геля Пародонтоцид – лучше всего выбирать раствор для полосканий на основе хлоргексидина и/или цетилпиридина (т.е. также как и при использовании препарата Холисал). Выбор концентрации раствора хлоргексидина 0,05% или 0,12% будет зависеть от тяжести симптомов воспаления. Некоторые ополаскиватели с хлоргексидином одновременно содержат и второй антисептик – цетилпиридин, который усиливает общее антисептическое действие ополаскивателя.
Такие комбинированные ополаскиватели есть у компании Dentaid (Испания), и хотя они и стоят значительно больше традиционного флакончика с 0,05% раствором хлоргексидина за 25 рублей – их эффективность будет на порядок выше. Ну и если вы решили использовать гели МетрогилДента и Бальзам Асепта – лучше всего также выбирать ополаскиватель Пародонтоцид, чтобы была комбинация бактерицидного и противовоспалительного действия препаратов (24stoma.ru).
Ополаскиватель Perio-Aid 0,05% или 0,12% –
Этот ополаскиватель выпускается в двух вариантах – с 0,05% или с 0,12% содержанием хлоргексидина. Также препарат содержит и второй антисептик цетилпиридин, концентрация которого в обоих средствах будет одинаковой – 0,05%.
- инструкция по применению
- производитель – Испания,
- активные вещества: 1) хлоргексидин 0,05% или 0,12%, 2) цетилпиридин 0,05%,
- цена за 150 мл – 190 рублей, флакон 500 мл – около 300 рублей.
Раствор для полоскания рта Пародонтоцид –
Это средство продается в небольшом флаконе по 25 мл. Для применения нужно развести 15 капель в небольшом количестве воды (примерно, чтобы сделать 1 глоток), после чего прополоскать рот в течение 1-3 минут.
- производитель – Россия,
- активные вещества – фенилсалицилат, тимол, эвгенол, эфирные масла шалфея, мяты, душицы и гвоздики,
- цена за 25 мл – от 115 рублей.
Другие средства для лечения десен –
- ЛЕСНОЙ БАЛЬЗАМ для десен – Относится к категории Парафармацевтика, т.е. не является лечебным средством. Содержит экстракт коры дуба, экстракт шалфея, а также отвар 5 лечебных трав (ромашка, тысячелистник, чистотел, зверобой, крапива). Как практикующий пародонтолог я не рекомендую использовать данное средство в качестве основного лечебного средства. Эффективность его весьма незначительна. Однако его можно использовать в качестве профилактического средства (средства для укрепления десен) уже после того, как были сняты зубные отложения и проведен курс основной противовоспалительной терапии. Стоимость средства – от 130 рублей за 250 мл.
- МАЛАВИТ для дёсен – Относится к категории «парафармацевтика», т.е. не является лечебным средством. В советском прошлом это средство использовали как в гинекологии, так и в стоматологии. Обладает значительным прижигающим эффектом на слизистую оболочку полости рта за счет содержания муравьиного спирта. В полости рта может более-менее эффективно применяться только для склерозирующей терапии гипертрофической формы гингивита, т.е. когда идет фиброзное разрастание десны. Для лечения воспаления десен – пародонтита и катарального гингивита лучше не применять. Стоимость порядка от 179 руб. (за упаковку 30 мл).
Появилось воспаление – действовать согласно советам врача
К сожалению, нет полной гарантии в защите от осложнений. Иногда случается так, что ткани пародонта воспаляются, причиняя дискомфорт и боль. При успешной операции заживление десен после удаления зубов проходит достаточно быстро. Но в определенных случаях формируется воспалительный очаг.
Самостоятельно определить проблему можно по факту кровоточивости раны в течение 2 суток и более. Кроме этого она увеличивается в размере, появляется неприятный запах и выделения гнойного экссудата. При таких симптомах необходимо незамедлительно обратиться к врачу.
Осложнением после экстирпации может быть:
- Альвеолит. Это наиболее частая проблема, связанная с воспалением лунки удаленных зубов. Формируется, как правило, из-за нарушения ухода за ротовой полостью и обработки раны в процессе регенерации. В проблемной области десна начинает отекать, появляется гиперемия, обильно выделяется кровь, гнойное содержимое. Появляется общее недомогание, повышение температуры тела, усиление боли в челюсти. Время заживления десны после удаления зуба при такой патологии естественно увеличится.
- Остеомиелит. Является уже осложнением альвеолита. При отсутствии лечения заболевания воспаления переходит на костную ткань челюсти и формируется гнойно некротический очаг. Остеомиелит является тяжелым заболеванием, сопровождается резким подъем температуры тела, общей слабостью, головной болью, разбитостью. Опасность заболевание заключается в заражении крови и фатальных последствий. Сколько дней будет идти восстановление после такого поражения, зависит от резистентности организма и методики лечения.
- Формирование кисты. Данное новое образование представляет собой капсулу с фиброзной оболочкой и жидкостью внутри. В начальных стадиях избавиться от патологии можно при помощи лекарственных препаратов. Далее понадобится вмешательство хирурга и вскрытие патологического очага.
- Флюс или периостит. Может также образоваться при отсутствии лечения альвеолита. Это воспаление надкостницы. Формируется из-за попадания инфекции в открытую рану. Периостит характеризуется сильной болью и отечностью альвеолярного отростка. Как правило, деформация мягких тканей наблюдается с вестибулярной стороны ротовой полости. Такая симптоматика присуще именно поражению надкостницы.
От чего зависит скорость восстановления ткани
После экстракции зуба формулируется кровяной сгусток. Удалять его запрещено, он защищает костные ткани от инфицирования, способствует заживлению раны.
Факторы, влияющие на восстановление тканей:
- состояние десны после врачебных манипуляций – чем больше сделано ошибок, тем дольше процесс восстановления;
- присоединение инфекции;
- качество ухода за раневой поверхностью пациентом, соблюдение рекомендаций врача;
- прочие заболевания, сахарный диабет;
- прием некоторых лекарственных препаратов – например, антикоагулянтов.
О сопутствующих заболеваниях, использовании медикаментов на постоянной основе нужно сообщить хирургу-стоматологу до начала оперативного вмешательства.
Описание действия препарата
В химическом составе препарата значится диализат, лишенный белка, благодаря чему лекарство можно принимать людям с аллергией на протеины. Получают вещество из крови новорожденных телят. Диализат состоит из следующих низкомолекулярных веществ:
- Аминокислоты;
- Гликопротеины;
- Нуклеозиды.
Справка! Солкосерил используют не только в стоматологии, но и в офтальмологии, травматологии и для заживления кожного покрова.
Чаще всего препарат применяется для ускорения регенеративных и обменных процессов. Также его эффективность проявляется следующим образом:
- Насыщает ткани кислородом и способствует проникновению питательных веществ в глубокие слои эпидермиса.
- Ускоряет заживление слизистых тканей.
- Обезболивает область воспаления тканей.
Коротко об операции
Обычно стоматологи стараются провести все оперативные вмешательства качественно и безболезненно. После манипуляций дают советы, чтобы прошло быстрое заживление после удаления зуба полученной травмы. Такие рекомендации помогут минимизировать все возможные осложнения и снизить дискомфорт.
Важным моментом является обеспечение правильного и систематического ухода за ротовой полостью в данный период времени. Так рана быстрее регенерируется без неприятностей.
Любая стоматологическая операция проводится под воздействием анестетика. Сегодня эти препараты высокоэффективные и безопасные. Важно выдержать время для того, чтобы обезболивающее действие наступило в полном объеме.
Однако уже спустя 5-6 часов влияние анестетика полностью заканчивается и к этому надо быть готовым. Появится определенная болевая реакция и это неизбежно, так как в ротовой полости, по сути, имеется раневой участок.
Весь процесс заживления, к сожалению, не происходит мгновенно, не смотря на способность к быстрой регенерации тканей ротовой полости. Он во многом зависит от различных факторов. Ведь нередко десневой участок разрезают с последующим наложением швов.
Такая травматическая экстирпация будет иметь более длительный период восстановления. Обычно раневая поверхность небольшая, но определенное время она все равно будет болеть. Каждый день неприятные ощущения должны уменьшаться и в течение 5-7 дней исчезнуть полностью.
Экстирпация нижних моляров
Бывает так, что очень долго заживает десна после удаления зуба. Это может свидетельствовать о развитии воспалительного процесса в виде альвеолита, либо не полном удалении зубных тканей. В любом случае необходимо посетить врача для консультации. Чтобы ускорить нормальное восстановление тканей существует множество традиционных и народных средств.
Полоскания полости рта
«Хлоргексидин» 0,05%
По фармакологическому назначению – антисептик и дезинфицирующий препарат. Продаётся в виде раствора для наружной обработки, предназначен для восстановления поврежденных тканей и защиты ран после хирургического вмешательства. Особенно эффективен при воспалении лунки (альвеолите). После удаления зуба его можно использовать в неразведенном виде для полосканий (вернее – ванночек) полости рта: удерживать небольшое количество препарата во рту в течение минуты. Повторять 2-3 раза в день. После проведения процедуры желательно воздержаться от приема пищи на 2-3 часа, поскольку препарат способствует образованию антимикробной пленки на тканях, которая действует еще несколько часов.
«Мирамистин»
Антисептик местного применения, оказывает бактерицидное воздействие и предотвращает распространение многих инфекций (особенно герпеса). В большей степени используется при воспалении лунки герпетического характера, а также при развитии стоматита на фоне ослабления иммунитета после удаления зуба. Выпускается в виде спрея, раствора для полосканий и мази. Применять только по назначению врача.
Содо-солевые ванночки
Достаточно эффективный раствор, который предназначен для снятия воспаления, обеззараживания и даже уменьшения боли. Самый простой и распространённый рецепт – развести в стакане теплой воды по половине чайной ложи соли и соды. Ванночки проводить 3-4 раза в день или осторожно прикладывать к ранке смоченный в растворе ватный тампон.
Настои трав
Народное средство для обеззараживания тканей, снятия отека и воспаления. Можно использовать ромашку, календулу и шалфей (не рекомендуется кора дуба, которая оказывает вяжущее воздействие). В отличие от медикаментозных препаратов, травяные настои не так эффективны, но могут стать дополнением при проведении терапии.
В ходе хирургического вмешательства происходит нарушение существующих связей между различными клетками и тканями организма. Заживление — это фаза воспалительного ответа, которая приводит к формированию новых физиологических и анатомических связей между разделенными элементами. В общем, заживление заключается в следующем:
- Образование сгустка.
- Формирование грануляционной ткани.
- Эпителизация.
- Формирование коллагена.
- Регенерация.
- Созревание.
Понимание процесса заживления ран позволяет хирургу правильно планировать и проводить хирургические вмешательства для достижения общих задач терапии, максимального сокращения послеоперационного периода и снижения дискомфорта пациента.
Пародонтологические операции можно разделить на две группы: вмешательства, направленные на коррекцию дефектов мягких тканей; и вмешательства для коррекции дефектов альвеолярной кости.
ЗАЖИВЛЕНИЕ МЯГКИХ ТКАНЕЙ
Иссечение десны (гингивэктомия)
После иссечения части десны над обнаженной соединительной тканью формируется сгусток. В течение нескольких часов соединительная ткань начинает продуцировать грануляционную ткань (пролифирирующая соединительная ткань характеризуется увеличением митотической активности фибробластов, эндотелиальных клеток, капилляров и недифференцированных мезенхимальных клеток), которая скапливается на поверхности. Очень скоро это образование покрывается и инфильтрируется нейтрофилами. Заживающая раневая поверхность в основании представлена немного воспаленной соединительной тканью, которая покрыта грануляционной тканью, слоем нейтрофилов и сгустком (причем именно в таком порядке). Пролиферация эпителия начинается от краев раны, который мигрирует клетка за клеткой (приблизительно 0,5 мм в день) под сгустком, сквозь зону нейтрофилов и сквозь грануляционную ткань. Эпителий продолжает пролиферировать тонким слоем до того момента, как достигнет поверхности зуба.
По мере того, как это происходит, фибробласты в грануляционной ткани начинают продуцировать незрелый и не полностью полимеризованный коллаген. К этому времени, сгусток сшелушивается, отслужив в качестве своего рода повязки. И коллаген, и эпителий продолжают пролиферировать и созревать, пока многослойный эпителий не станет закрывать созревший коллаген. После гингивэктомии десневая бороздка образуется в результате коронального роста соединительной ткани и апикальной миграции прикрепленного эпителия. Если заживление проходит без присутствия патогенных бактерий, выстилка бороздки представлена сглаженным, интактным, стратифицированным, чешуйчатым эпителием. При наличии раздражителя вдоль основного слоя эпителия образуются неровности.
Грануляционная ткань созревает до того момента, когда вновь сформированный коллаген становится таким же, как коллаген прикрепленной десны. Обычно, нормальная десна формируется через несколько недель, но полное заживление и организация пучков волокон требует нескольких месяцев. Несмотря на то, что при иссечении десны не происходит непосредственного вовлечения кости, на кортикальной поверхности активизируются остеокластическая активность, за которой следует повышение активности остеобластов. Подобная ремоделировка кости происходит на микроскопическом уровне и, обычно, не имеет клинического значения при условии сохранения над костью достаточно толстого слоя соединительной ткани.
Простой разрез
При проведении разреза десны острым инструментом процесс заживления идет так, как описано выше. Некоторые отличия обусловлены особенностями архитектуры раны.
После проведения разреза при плотном сопоставлении краев раны между ними остается небольшое пространство, в котором и происходит формирование сгустка. Такой сгусток служит только в качестве «пробки», через которую прорастает грануляционная ткань. Меньший сгусток имеет преимущества, поскольку клеточная резорбция элементов сгустка небольшого размера требует меньших затрат энергии. Заживление с объединением гранулирующих поверхностей называют заживлением первичным натяжением. Этот эффект используют при выполнении процедур для создания десневого прикрепления. Чем лучше сопоставление краев раны и меньше сгусток, тем быстрее образуется эпителиальный мост между рассеченными поверхностями, который отграничивает медленно заживающую соединительную ткань от полости рта.
Абсорбция сгустка происходит постепенно на всем протяжении разреза по мере удаления фибрина макрофагами и продуцирования коллагена фибробластами. Через несколько месяцев после созревания новый коллаген невозможно отличить от коллагена нормальной десны.
При отсутствии близкого сопоставления краев раны эпителий мигрирует дальше линии разреза и постепенно покрывает обнаженную грануляционную ткань и выстилает рану. Такой процесс, который называют заживлением вторичным натяжением, приводит к слущиванию относительно большого сгустка.
Эпителиальные клетки требуют значительных энергозатрат для жизнедеятельности, пролиферации и миграции. Питательные вещества поступают посредством диффузии из кровеносных сосудов. Эпителиальные клетки могут проходить лишь на небольшое расстояние от капилляров, дальше которого клетки теряют источник питательных веществ. Таким образом, распространенность капилляров (грануляционной ткани) определяет маршрут пролиферации эпителия.
Повторное прикрепление (уровень до операции)
Повторным прикреплением называют восстановление мягкотканного прикрепления к поверхности зуба после хирургической санации. После хирургического отделения десны от поверхности зуба некоторые коллагеновые волокна остаются вросшими в цемент. При плотной адаптации десны к неизмененной поверхности зуба между коллагеновыми волокнами цемента и коллагеном раневой поверхности десны образуется небольшой сгусток. Формирующаяся грануляционная ткань пенетрирует тонкий сгусток и способствует объединению волокон цемента с новым коллагеном, который продуцируют фибробласты десны.
Эпителиальное прикрепление обычно образуется на предоперационном уровне у поверхности зуба или несколько клеток могут мигрировать апикально, в зависимости от размера сгустка. При формировании большого сгустка эпителий может мигрировать апикально по раневой поверхности десны, что приводит к образованию значительно более длинного эпителиального прикрепления. Этого скорее всего не произойдет при правильном выполнении завершающего этапа операции, который заключается в наложении швов, аккуратном надавливании в течение 2-3 минут и наложении пародонтальной повязки.
Новое прикрепление
Новое мягкотканное прикрепление заключается в формировании нового цемента, волокон соединительной ткани и прикрепленного эпителия на поверхности корня корональнее предоперационного уровня. Для достижения коронального смещения соединительнотканного прикрепления клетки, продуцирующие новый цемент и коллаген, должны иметь доступ к поверхности корня корональнее существующего уровня прикрепленного эпителия. Эпителиальная выстилка кармана препятствует такому доступу и должна быть удалена с внутренней поверхности десневой стенки кармана.
Волокна альвеолярного гребня и транссептальные волокна препятствуют доступу фибробластов и цементобластов пародонтальной связки к поверхности зуба, расположенной корональнее первоначального уровня прикрепленного эпителия. Удаление эпителиальной выстилки и соединительной ткани, покрывающей пространство пародонтальной связки позволяет увеличить доступ клеток, способных продуцировать новый цемент и коллаген, к поверхности зуба, которая была частью пародонтального кармана При тщательной детоксикации поверхности корня с помощью механического сглаживания корней и химической обработки (по возможности) и при плотной адаптации раневой поверхности для минимизации сгустка клеточные элементы пародонтальной связки могут мигрировать коронально и продуцировать новый цемент и новые волокна Шарпея (Sharpey), то есть приводить к созданию нового прикрепления. Однако существуют данные, позволяющие предположить, что новое десневое прикрепление после пародонтологических вмешательств образуется за счет длинного тонкого эпителия, прикрепленного к поверхности зуба. Клинический опыт и данные долгосрочных исследований показывают, что подобная адгезия эпителия может быть сохранена без изменений или с незначительными изменениями в течение длительного периода времени. Другие данные позволяют предположить, что деминерализация загрязненного токсинами цемента или физическое отграничение роста эпителия в область раны способствуют образованию нового соединительнотканного прикрепления.
В течение многих лет существуют разногласия относительно возможности формирования нового цемента у эндодонтически леченных зубов. Лабораторные исследования на животных показали, что достижение нового прикрепления у зубов без пульпы, зубов, открытых для дренирования, зубов с пломбированными каналами возможно с той же эффективностью, что и в области зубов со здоровой пульпой.
Открытые раны
После завершения некоторых хирургических вмешательств (гингивэктомия, гингивэктомия) определенные участки раны остаются деэпителизированными. Тип ткани, которая образуется в таких участках в период заживления, зависит от типа ткани в области раны и ее границ. Например, рана после гингивэктомии обычно ограничена тканями десны (плотной коллагеновой соединительной тканью, покрытой кератинизированным эпителием), а значит будет репопуляризована той же десневой тканью.
После выполнения некоторых лоскутных манипуляций может остаться кость, покрытая только тонким слоем соединительной ткани. Повторное формирование десны обычно происходит, если десна изначально прикрывает кость. Иногда, однако очень редко, может образоваться промежуточный тип ткани, который клинически походит на десну (промежуточная десна). Формирование десны может произойти в участках, где присутствует слизистая, если апикальная и латеральные границы раны представлены зрелой десной.
Лоскуты
Лоскутом называют часть десны, альвеолярной слизистой или надкостницы, отсеченные от зуба и альвеолярного отростка и сохраняющие кровоснабжение. При выполнении многих хирургических вмешательств используют различный дизайн лоскута. Существует два основных метода откидывания лоскута:
- Тупое отслаивание (полнослойный или слизисто-надкостничный лоскут) с обнажением подлежащей кости.
- Острое отслаивание (расщепленный или слизистый лоскут) оставляет слой соединительной ткани различной толщины, закрывающий альвеолярный отросток.
При адаптации лоскутов для закрытия кости (либо в первоначальной позиции, или на другом уровне) заживление идет также, как и после проведения простых разрезов, при которых одна соединительнотканная поверхность края раны соприкасается с другой. На границе между ними образуется небольшой кровяной сгусток.
Свободные десневые трансплантаты (Свободный мягкотканный аутотрансплантат)
Свободные трансплантаты в отличие от лоскутов полностью отсечены от источников кровоснабжения и пересаживаются на удаленное принимающее ложе. Кровоснабжение в принимающем участке обеспечивает питание трансплантата.
Кровяной сгусток в принимающем ложе должен быть как можно более тонким, чтобы способствовать диффузии питательных веществ со стороны ложа через сгусток к трансплантату. Кроме того, внутренняя часть лоскута должна быть как можно более ровной, что снижает скапливание крови и предотвращает формирование толстого сгустка в области неровностей. Поскольку приживление трансплантата зависит от реваскуляризации, трансплантат должен быть иммобилизован в принимающем ложе как можно более тщательно.
Детоксикация поверхности корня
Исследования показали, что удаление налета, токсинов и камня с оголенных поверхностей корней улучшает состояние пародонта. Последовательность изменений представлена на рисунке. При развитии изменений в интактном пародонте (рис. 10-8а) происходит формирование карманов (рис. 10-8Ь). Хроническое воспаление десны приводит к деполимеризации части десневых волокон, апикальной миграции прикрепленного эпителия и некоторой потере альвеолярной кости. Происходит увеличение размера десны в результате нарастания отека. В десне присутствует молодая васкуляризованная соединительная ткань, большое количество лимфоцитов, клеток плазмы, фибробластов и нейтрофилов (все элементы защиты и регенерации). Такая новая гранулематозная ткань имеет мало шансов регенерировать из-за продолжающегося повреждения продуктами жизнедеятельности микроорганизмов налета. Патологический процесс может быть купирован с помощью детоксификации поверхности корня (механическое сглаживание корня и химическая обработка) и адекватного удаления отложений. Отек спадет, и гранулематозная ткань переродится в грануляционную ткань с последующей регенерацией коллагена десны. По мере созревания тканей при отсутствии налета будет происходить дальнейшее снижение отека, что приведет к созданию ситуации, представленной на рисунке.
ЗАЖИВЛЕНИЕ КОСТИ Общие принципы
В течение жизни происходит постоянное обновление кости. В здоровом состоянии существует баланс между активностью остеобластов и остеокластов. Это равновесие может быть нарушено в результате изменений функциональных требований или под действием заболевания. Кроме того, любое хирургическое вмешательство в некоторой степени может повлиять на кость. Степень выраженности изменений зависит от нескольких факторов, включая тип кости (кортикальная или губчатая), толщину кости, манипуляций с костью во время операции и тип закрытия раны после операции. Например, если во время операции была обнажена тонкая кость в проекции корней клыков верхней челюсти и оставлена открытой после операции, следует ожидать резорбции или секвестрации открытого участка кости в послеоперационном периоде. Только очень небольшая часть кости сможет регенерировать. Однако в схожей ситуации губчатая кость подвергнется лишь незначительной резорбции в начальном периоде заживления с последующей регенерацией.
При проведении пародонтологической операции необходимо учитывать следующее:
- По возможности кость после операции должна быть закрыта мягкими тканями.
- Чем толще слой мягкой ткани, закрывающей кость во время процедуры и после нее, тем меньший объем кости резорбируется в результате операции.
- Тонкая кость быстрее и легче резорбируется, чем толстая. Толстая интерпроксимальная кость имеет хорошее кровоснабжение (губчатое вещество), что позволяет пережить потерю кровоснабжения со стороны наднадкостничных сосудов результате операции. И наоборот, тонкая кость в проекции корней (минимум или отсутствие губчатого вещества) почти полностью зависит от наднадкостничных сосудов, что приводит к резорбции кости при потере этого источника кровоснабжения. Такая тонкая кость обычно встречается в области клыков, первых премоляров и медиальных корней первых моляров верхней челюсти. В области этих зубов могут быть обнаружены щелевидные или окончатые дефекты кости. При планировании и проведении хирургических вмешательств необходимо учитывать толщину вестибулярной кости в проекции корней зубов.
Внутрикостные дефекты
Многие пародонтологические процедуры направлены на стимуляцию формирования новой кости для устранения костных дефектов. На рисунке показан срез в медиально-дистальной плоскости через проксимальные поверхности двух зубов с изображением кости и десны.
Хронические внутрикостные дефекты характеризуются тремя видами изменений, обычных для большинства хронических поражений:
- Транссептальные волокна представляют собой пучки, прорастающие в дефект и идущие к цементу соседнего зуба.
- Стенки дефекта представлены кортикальной костью.
- Прикрепленный эпителий расположен апикальнее гребня кости и доходит до основания дефекта.
При необходимости достижения нового прикрепления и обеспечения лучшей поддержки зуба клетки должны образовать новый цемент, новые коллагеновые волокна и новую кость. Чтобы обеспечить доступ репаративным клеткам к области дефекта, необходимо удалить соединительнотканную часть кармана, эпителий кармана, транссептальные волокна и гранулематозную ткань.
После иссечения мягких тканей необходимо перфорировать кортикальную кость стенок дефекта (пенетрация в костномозговое вещество), чтобы обеспечить доступ полипотенциальных клеток красного костного мозга для восстановления аппарата прикрепления. В идеале нужно добиться полной регенерации цемента, кости и пародонтальной связки. Однако иногда в результате лечения удается достичь только частичной регенерации.
Костные материалы
Аутогенные костные трансплантаты в течение многих лет успешно использовались для устранения костных дефектов пародонта. Точные механизмы действия трансплантата на заживление и регенерацию, однако, остаются неизвестными. Считается, что первичный эффект аутогенных трансплантатов заключается в стимуляции остеогенеза, кроме того, предполагается действие трансплантата в качестве фактического источника новой кости.
Другим возможным преимуществом использования аутогенных трансплантатов является то, что они могут играть роль механической преграды или барьера, что предотвращает прорастание эпителия в область раны. Трансплантаты могут служить каркасом, способствующим пролиферации и миграции клеток и сосудов в ране.
Действие костных аутотрансплантатов
Действие кальцифицированных костных аутотрансплантатов (и других используемых материалов) заключается в следующем:
- Трансплантат может содержать живые остеобласты и остеоциты, способствовать росту новой кости и замещается ею. Жизнеспособность остеоцитов сохраняется только тогда, когда клетки находятся достаточно близко (1 мм) от источника питания. Это позволяет предположить, что остеоциты, расположенные в толще относительно большого трансплантата, могут погибнуть.
- Трансплантат может не иметь живых клеток, но способствовать росту кости с постепенным замещением трансплантата новой костью.
- Трансплантат может оставаться инертным неживым фрагментом и не играть никакой роли в процессе заживления.
- Трансплантат может полностью резорбироваться в процессе заживления и служить каркасом для новой формирующейся кости.
- Трансплантат может не содержать живых клеток, не играть значительной роли и может обнажиться в послеоперационном периоде. Обнажение трансплантата может произойти через несколько месяцев после хирургического вмешательства.
Заживление при направленной тканевой регенерации
Данные, полученные в исследованиях на животных, показали, что ключевой аспект заживления раны заключается в типе клеток, который первый репопуляризуется в области операции. Различные типы клеток мигрируют в области хирургической раны с разной скоростью. Регенерация становится возможной при замедлении миграции некоторых клеток и тканей (например, эпителия и соединительной ткани) и создании условий для миграции в области раны других (таких как недифференцированные мезенхимальные клетки из пародонтальной связки и остеобласты). Эта концепция называется направленной тканевой регенерацией. При практическом использовании концепции для отграничения соединительной ткани и эпителия используют барьерные мембраны. Заживление раны в пространстве под мембраной так, как описано выше.
ДРУГИЕ АСПЕКТЫ ЗАЖИВЛЕНИЯ РАН
Питание и системные расстройства
Заживление происходит на клеточно-молекулярном уровне и требует дополнительных затрат энергии и утилизации питательных веществ, необходимых для анаболического и катаболического процессов. Любое состояние нарушающее поглощение, переваривание, всасывание, транспортировку и утилизацию пищи может препятствовать заживлению. Такие состояния как диабет, дефицит витаминов, минералов и компонентов пищи (например, белков), тяжелые гормональные нарушения, употребление табака замедляют процесс заживления.
Возраст
Сам по себе возраст не оказывает никакого влияния на заживление после пародонтологической операции. Большое значение имеет общее состояние здоровья.
Асептика
Асептика является основным условием для достижения успешного результата любого хирургического вмешательства в полости рта. Во избежание инфицирования раны и увеличения периода заживления при проведении пародонтологических операций необходимо предотвращать попадание патогенов в хирургическое поле. Кроме того, необходимо использовать все возможные средства профилактики инфицирования ран: наличие стерильных перчаток, инструментов и салфеток обязательно при выполнении любых процедур в полости рта.
Скорость заживления
Предполагается наличие максимально возможной скорости, с которой может происходить очищение клеток, формирование новых материалов, миграция клеток сквозь ткани или их регенерация. В настоящее время, нет метода, способного ускорить эти процессы. Вероятно, лучшее, что можно сделать, это постараться избежать замедления заживления. По этой причине, в период заживления необходимо избегать погрешностей в диете, травм, воздержаться от курения и употребления алкоголя.
ЗАЖИВЛЕНИЕ РАН ПОСЛЕ ПРОВЕДЕНИЯ ПАРОДОНТОЛОГИЧЕСКИХ ОПЕРАЦИЙ
В заключение настоящей главы можно сказать, что многие принципы заживления ран могут непосредственно определять успех или неудачу пародонтологической операции.
Наиболее важные принципы перечислены ниже:
- Раны десны могут выглядеть клинически нормальными через несколько недель после операции, но окончательное заживление и формирование коллагеновых волокон завершится лишь спустя многие месяцы.
- Чем ближе сопоставление краев лоскутов и меньше сгусток, тем быстрее происходит эпителизация, то есть запечатывание медленно созревающей соединительной ткани от полости рта.
- При выполнении лоскутных операций необходимо обеспечивать минимальную толщину сгустка в пространстве между зубом и раневой поверхностью для создания повторного прикрепления волокон соединительной ткани на первоначальном уровне или нового прикрепления более коронально.
- Для лучшего заживления десневой ткани при апикальном смещении лоскутов, захват десны следует осуществлять за край лоскута.
- Относительно тонкий свободный десневой трансплантат на принимающем ложе и небольшой сгусток между ними способствуют лучшему приживлению трансплантата.
- Для успешного заживления раны с поверхности корня необходимо удалять налет, камень и контаминированный цемент.
- После завершения операции кость должна быть закрыта мягкой тканью.
- Чем толще слой мягкой ткани, закрывающей кость во время или после операции, тем меньше атрофия кости.
- Тонкая кость легче подвергается резорбции, чем толстая. При устранении внутрикостных дефектов необходимо удалять всю десневую составляющую кармана (эпителий, межперегородочные волокна, гранулематозную ткань). Кроме того, необходимо проводить перфорации кортикальной кости для создания доступа полипотенциальных клеток.








