Каждая стоматологическая манипуляция имеет свои последствия. Выходя из кабинета стоматолога, нужно помнить, что есть ряд правил, соблюдение которых позволит быстрее восстановиться без осложнений. В особенности это касается удаления зубов. Экстракция (удаление) сопровождается неприятными симптомами в течение нескольких дней. Когда после удаления зуба мудрости опухла щека, это нормально. Однако могут возникнуть тревожные симптомы, с которыми нужно сразу же обратиться к стоматологу.
Немного информации о третьих молярах
В результате эволюционных изменений челюсть человека уменьшилась в размере. Связано это с тем, что в пищу употребляется все больше блюд, не требующих интенсивного пережевывания. Такие предметы цивилизации, как столовые приборы, упростили человечеству задачу измельчения продуктов питания. Все это привело, как мы уже упоминали, к трансформации челюстной дуги.
Обычно третьи моляры, или, как их называют в народе, зубы мудрости, прорезываются в достаточно взрослом возрасте. Все остальные единицы к этому времени уже давно сформировались и заняли свои места. Именно поэтому нередко для расположения третьих моляров просто не остается места. В связи с этим и возникают различные осложнения, доставляющие человеку множество неприятных моментов.
Согласно статистике, около 25 % населения сталкиваются с тем, что их зубы мудрости так и не смогли прорезаться. Далее мы рассмотрим, чем опасны такие ситуации. Приблизительно у 10 % наших современников эти единицы вообще не формируются. Остальное же население рано или поздно сталкивается с проблемой, связанной с прорезыванием или удалением.
В связи с этими ситуациями актуальными становятся несколько вопросов. К примеру, многие пациенты интересуются тем, как снять отек после удаления зуба мудрости. Мы же рассмотрим все по порядку. Узнаем, по каким причинам опухают мягкие ткани, в каких случаях необходимо бить тревогу и, самое главное, как можно облегчить ситуацию.
Профилактика
Для того чтобы избежать заболеваний, которые могут привести к удалению зуба, рекомендуется:
- соблюдать гигиену рта, минимум 2 раза в день чистить зубы;
- принимать витаминные комплексы;
- сбалансировано питаться;
- бросить курить;
- снизить до минимума употребление кофе, чая, сладостей;
- своевременно лечить болезни полости рта;
- регулярно посещать стоматолога.
Извлечение зуба – серьёзная процедура, к которой нужно ответственно подойти. После хирургического вмешательства следует строго соблюдать советы и назначения врача. При появлении осложнений нужно незамедлительно обратиться к врачу, который расскажет, что делать в сложившейся ситуации.
В каких случаях третьи моляры подлежат удалению?
Нередко в момент роста зубы мудрости значительно отклоняются в сторону. В стоматологии такую аномалию называют дистопией. В зависимости от степени отклонения от нормы такие единицы могут доставить различные неприятности. Неправильно выросший зуб элементарно способен травмировать окружающие ткани. Также он может оказывать давление на соседнюю единицу, двигая ее. Все это приводит к болевым ощущениям и началу воспалительного процесса.
Существует еще такое понятие в практике, как ретинированный зуб. Так называют единицы, которые так и не смогли прорезаться. Часто они также вызывают воспаление мягких тканей. Разрешается ситуация несколькими способами. Для того чтобы помочь ретинированному зубу, специалист иссекает десну. Если единица имеет правильное расположение, то она вполне способна благополучно разместиться на челюстной дуге. В случаях аномального развития третьего моляра его попросту удаляют.
Существует еще одно осложнение, связанное с прорезыванием зуба – это задержка. Называют эту аномалию в стоматологии ретенцией. Иногда данные отклонения от нормы также требуют хирургического вмешательства.
Банальный кариес часто приводит к удалению третьих моляров. Вся беда кроется в их расположении. Последние зубы не удается в достаточной мере обрабатывать во время гигиенических процедур. Зубная щетка просто не способно удалять весь скопившийся на них налет. Из-за того же неудобного расположения третьи моляры не лечат в случае возникновения кариозного поражения, а сразу удаляют.
Чем опасно воспаление десны
Помимо неприятных ощущений, альвеолит таит в себе массу опасностей. Если своевременно не обратиться за медицинской помощью, организм человека может серьезно пострадать. Так, альвеолит может стать причиной флюса, т.е. воспаления надкостницы, который выражается в отечности десен, опухании щек, увеличении температуры и невыносимой боли.
«Удалили мне как-то нижний зуб мудрости… Удаление сложное было, мало того, что зуб не до конца прорезался, так еще и криво лез, упираясь в соседний. Доктор намучался, но справился. После дала мне рекомендации, как ухаживать за ранкой. А я жутко стеснительная и мнительная, поэтому решила, что ничего не будет, если я в этот же день пополощу рот, чтобы не было неприятного запаха. Через пару дней боль стала усиливаться, казалось болела вся челюсть и голова, поднялась температура, увеличились лимфоузлы. Бегом к врачу! Доктор сказал, что из-за того, что я вымыла кровяной сгусток, в ранку попала инфекция и началось воспаление. Сделали санацию, назначили антибиотики и через неделю все наладилось. Никогда больше не ослушаюсь доктора.»
Кроме этого, разрастание гнойного воспаления десны грозит развитием остеомиелита, а это заболевание непременно приведет к образованию гнойных абсцессов или же флегмоны, которая распространится уже на всю челюсть, а не только на один зуб. В таком случае инфекция распространяется молниеносно и может проникнуть в кровь, спровоцировав ее заражение (сепсис). Исход этого осложнения весьма печальный – человек погибает в считанные дни. Не занимайтесь самолечением, а при первых же тревожных сигналах обратитесь к специалисту.
Отек после удаления зуба мудрости: почему появляется?
Все мы понимаем, что в момент хирургического вмешательства травмируются мягкие ткани. Специалист, используя инструментарий, в большей или меньшей степени рассекает десну. Следовательно, возникает отек после удаления зуба мудрости. Это считается нормальным и очень распространенным явлением. Такую опухоль называют естественной физиологической реакцией. Обычно специалист перед проведением операции предупреждает о возможности ее проявления. Такая ситуация не опасна. Но это только в том случае, если отек действительно носит физиологический характер. Через день-два после операции он должен начать уменьшаться или вовсе исчезнуть за этот период. Болевые ощущения также должны проявляться с каждым днем все менее интенсивно. В таких случаях пациенту не стоит беспокоиться, если у него возник отек после удаления зуба мудрости.
Флюс
Это заболевание возникает, если воспалительный процесс/заражение перешло на надкостницу. Для болезни характерно:
- отечность десен;
- покраснение;
- сильные болевые ощущения;
- образование отеков в области щек.
Поставить диагноз специалисту помогает рентгеновский снимок. Лечение проводится под наблюдением врача с помощью лекарственных препаратов.
Для предотвращения появления осложнений стоит строго придерживаться рекомендаций врача, соблюдать необходимые гигиенические меры, при чистке зубов быть предельно осторожным, избегать сильного воздействия на поврежденные ткани.
Воспалительный процесс
Влияние этого фактора делает неизбежным возникновение припухлости. Если промежуток между возникновением болевых ощущений и посещением специалиста слишком большой, то можно предполагать, что уже образовался воспалительный очаг. Мягкие ткани припухают, краснеют и пульсируют от боли. В момент удаления действия врача, конечно, направлены на устранение воспалительного процесса. Он обрабатывает лунку антисептическим раствором. При нагноении врач может оставить дренаж в ранке для того, чтобы обеспечить отток гноя. Дает рекомендации по поводу целесообразности полосканий или приема лекарственных препаратов внутрь.
Также может сформироваться отек десны после удаления зуба мудрости. Если он не носит физиологический характер, это будет свидетельствовать о присоединении инфекции. Ведь лунка, остающаяся на месте зуба, является прекрасными воротами для проникновения внутрь организма различных микробов. Для того чтобы этого не случилось, необходимо четко придерживаться рекомендаций специалиста после хирургического вмешательства.
Причины опухания десны
Стоматологами выделяется несколько возможных случаев возникновения отека десны после удаления зуба, и для каждого из них характерны свои причины.
Естественный отек
Если после удаления зуба опухла десна и болит, то чаще всего это является обычным и безобидным явлением. Естественный отек развивается из-за того, что в ходе операции нарушается целостность тканей десны и костных тканей. Чем сложнее и серьёзней операция, тем выше риск возникновения этого вида отека. Опухшая десна в этом случае не представляет серьёзной опасности для здоровья пациента.
Спустя несколько дней отек постепенно самостоятельно проходит. Если в ходе операции были удалены большие зубные корни, тогда повышается вероятность того, что отек десен может продержаться около недели.
Важно! В случае если естественный отек сопровождается болевой симптоматикой и/или температурой, рекомендуется принимать обезболивающие и жаропонижающие препараты.
Инфекционное воспаление
В этом случае речь идет об образовании воспалительного процесса вследствие проведенной операции. Причины его возникновения разнообразны. Среди пациентов бытует мнение, что воспалительный процесс возникает из-за того, что доктор работал с нестерильным инструментом. В современной стоматологии такой расклад событий маловероятен, так как большинство стоматологических клиник перешли на работу с одноразовыми инструментами или имеют в своем арсенале специальные приборы для стерилизации.
Заражение происходит чаще всего из-за других воспалительных процессов в ротовой полости пациента. Риск развития воспаления значительно повышается, если операция проводится во время стадии обострения пульпита и при таких болезнях, как пародонтит, воспаление десен и так далее.
Важно! Нередко воспалительные процессы появляются при несоблюдении наставлений и советов врача, например, при плохой гигиене рта, употреблении твердых продуктов питания.
Очень часто воспаление возникает при отсутствии защитного сгустка в лунке. В этом случае стоматолог помещает в пустую лунку марлевый тампон, ранее пропитанный в специальном растворе. Марлевый тампон в этом случае служит защитой от инфекционных возбудителей болезни.
Признаки воспаления
В случае если после операции будут замечены следующие симптомы, необходимо повторно обратиться к специалисту.
1. Пациента беспокоит сильный отек после удаления зуба мудрости (со временем он не уменьшается, а увеличивается в размерах).
2. Болевые ощущения увеличиваются в своей интенсивности.
3. Повышена температура тела.
4. Общее самочувствие пациента ухудшилось.
5. Появился неприятный запах из ротовой полости.
Профессиональное стоматологическое и медикаментозное лечение
Итак, как вылечить воспаление десен? Конечно же, обратившись к специалисту. Врач оценит картину и подберет наиболее эффективное лечение. В некоторых случаях придется провести следующие процедуры:
- установка дренажа, который представляет собой трубочку: через него из лунки будет вытекать гной, сукровица,
- качественное очищение ранки от кусочков пищи, нагноений или оставшихся в ней после удаления обломков корня, обработка антисептическими растворами,
- ушивание: швы закроют ранку, а значит инфекция не сможет снова туда проникнуть.
Также врач назначит препараты для местного применения, например, антисептические растворы («Фурацилин», «Мирамистин», «Хлоргексидин») и анальгетики (спреи «Оралсепт», «Тэнфлекс» и др.). Чтобы снять боль, доктор порекомендует несколько дней принимать обезболивающие препараты: «Ибупрофен», «Диклофенак», «Кетанов». От «Аспирина» лучше отказаться, поскольку он разжижает кровь и может вызвать кровотечение.
Антибиотики при воспалении десны назначают только в том случае, когда патология активно развивается или же если процесс был достаточно запущенным. Курс такого лечения составляет 5-7 и даже 10 дней. Используются препараты «Олететрин», «Линкомицин», «Грамицидин». Помните, что прекращать принимать антибиотики на полпути ни в коем случае нельзя – организм к ним привыкнет, после чего возобновление лечения будет не столь эффективно, плюсом получите дисбактериоз кишечника. Назначили курс в 10 дней – пьем препарат все десять дней, даже если уже на пятый вам стало значительно лучше.
Отек после сложной операции
Частым явлением в стоматологической практике является отек вследствие удаления ретинированных и дистопированных единиц. Мы уже упоминали, что в связи с аномальным расположением, развитием и затруднениями в прорезывании такие зубы доставляют множество проблем. Случается так, что третий моляр своими корнями может переплетаться с соседними единицами или затрагивать нервную систему. Все эти ситуации требуют внимательного отношения и профессиональных действий со стороны хирурга-стоматолога. При сложных операциях значительно травмируются мягкие ткани. Поэтому отек после удаления зуба мудрости на нижней или верхней челюсти возникает всегда. В этой ситуации остается только следить за тем, чтобы он как можно быстрее спал, и не возникли осложнения.
Народные методы
Нетрадиционная медицина всегда пользовалась большой популярностью среди людей. Ее главным преимуществом считается использование лишь натуральных ингредиентов, что в свою очередь понижает риск развития побочных эффектов. Но прежде чем начать использовать народные методы, следует предварительно проконсультироваться с врачом.
При альвеолите рекомендуется полоскать полость рта раствором на основе календулы. Для изготовления нужно 2 ст. ложки растения растереть в порошок, залить кипятком и дать настояться в течение 60 минут. Ополаскивание рекомендуется проводить после каждой чистки зубов и после еды.
Для ополаскивания можно применять и отвар шалфея. Для этого нужно 1 ст. ложку травяного сбора залить стаканом воды и кипятить на протяжении 10 минут. После полного остывания отвар готов к использованию.
Хорошей эффективностью обладает и следующее ополаскивание: 1 ст. ложка ромашки, календулы и шалфея заливаются стаканом кипящей воды. Полученная субстанция варится на водяной бане около четверти часа, затем она процеживается и остужается.
Для того чтобы избежать развития воспалительного процесса, рекомендуется 1 ст. ложку ромашки и 2 ст. ложки зверобоя залить кипятком, дать настояться 30 минут в закрытой таре. После процеживания и остужения образовавшаяся настойка готова к применению с целью ополаскивания полости рта.
При чувстве дискомфорта, возникшем после удаления зуба, рекомендуется применение следующего раствора. Сухая трава зверобоя и сосновая хвоя измельчаются в соотношении 4 к 1. Четыре столовых ложки от полученной смеси заливаются одним стаканом кипятка и варятся на медленном огне около 2 минут. Полученному отвару нужно настояться на протяжении 90 минут, после чего его снова кипятят до того, пока не останется половина от первоначального объёма жидкости. В образовавшемся растворе обмакивают ватный тампон и с его помощью проводят обработку ранки.
Альвеолит
Во всех рассмотренных ранее ситуациях припухлость мягких тканей возникает в тот же день. А что делать, если физиологическая реакция благополучно прошла, но через 4-5 дней появилась снова опухоль? Бывают в стоматологической практике и такие ситуации. Отек щеки после удаления зуба мудрости может возникнуть вследствие нагноения кровяного сгустка в лунке. Такое осложнение специалисты называют альвеолитом. Данная ситуация требует немедленного обращения к специалисту. Если опухоль образуется повторно, то бесполезно пытаться избавиться от нее полосканием, применением антисептиков или антибиотиков. Врач должен прочистить инфицированную лунку, удаляя некротические ткани. Далее он обработает все антисептиком и введет в отверстие специальное лекарство.
Посттравматический альвеолит
В стоматологии альвеолитом принято называть инфекционно-воспалительное поражение стенок костной лунки после удаления зуба.
Этиология заболевания
Инфицирование костной раны возникает в следующих случаях:
- наличие очагов хронической инфекции в ротовой полости;
- проникновение в операционное поле зубных отложений;
- сложное и грубое удаление зубов, которое сопровождается обширным разрывом слизистой оболочки;
- проталкивание инфицированных частей корня в мягкие ткани полости рта.
Клиническая картина и диагностика
Основным симптомом гнойно-воспалительного поражения лунки является боль. Болевые приступы начинают беспокоить пациента через 2-3 дня после экстирпации.
При этом боль носит длительный и ноющий характер. Она, как правило, усиливается в ночное время и может распространяться по ходу ветвей тройничного нерва.
Слизистая оболочка в области удаленного зуба резко воспалена и отечна. Лунка заполнена сероватым налетом с гнилостным запахом. А в некоторых случаях раневая поверхность оголена и покрыта сероватым налетом.
Очень часто у пациентов с альвеолитом наблюдается стойкое повышение температуры тела до субфебрильных показателей и увеличение региональных лимфатических узлов.
Основные методы лечения
Терапия гнойно-воспалительного поражения костной раны направлено а радикальное удаление гнойных и некротических масс.
Лечение проводится в следующей последовательности:
- местная или проводниковая анестезия, которая позволяет полностью обезболить болезненный участок ротовой полости;
- кюретаж лунки в виде выскабливания некротических и гнойных тканей с помощью специальной хирургической ложки;
- антисептическая обработка раневой поверхности посредством промывания ее растворами перекиси водорода и фурацилина;
- введение в лунку полоски с йодоформом;
- фиксация стерильной марлевой повязки на внешней стороне воспаленной альвеолы.
Хирургическое лечение альвеолита нижней челюсти
Местное лечение, как правило, сочетается с внутренним приемом антибиотков широкого спектра действия и аналгетиков. Хорошим терапевтическим эффектом обладают физпроцедуры. Это может быть ультрафиолетовое облучение, лазеротерапия, воздействие электромагнитных полей и СВЧ.
Прогноз заболевания
Своевременно диагностированный альвеолит имеет благоприятное течение. Комплексная местная и общая терапия обеспечивают положительный результат уже через 5-7 дней.
В тяжелых случаях заболевание может осложняться остеомиелитом (гнойным поражением костной ткани) и образованием абсцессов ротовой полости.
Что поможет снять отек?
Во-первых, при возникновении отечности на мягких тканях после операции можно применять холодные компрессы. В течение дня необходимо прикладывать их к больному месту на 20 минут. Делать это можно три раза в сутки. Холод не только поможет уменьшить припухлость, но и снизит интенсивность болевых ощущений.
Во-вторых, если терпеть невмоготу, необходимо принять обезболивающее средство (таблетку «Анальгина», «Баралгина», «Ибупрофена»).
В-третьих, начиная со второго дня после вмешательства, можно применять полоскание полости рта антисептиками. Для этого подойдут солевой, содовый растворы. Также можно полоскать отварами трав (кора дуба, шалфей, ромашка). Только полоскать необходимо правильно. Необходимо просто набрать в рот антисептическое средство, подержать его у больного места и сплюнуть. Так повторить несколько раз.
Что делать при появлении опухоли
Снять опухоль в домашних условиях можно, используя консервативные методы лечения и эффективные народные рецепты, одобренные стоматологами.
Антигистаминные средства
Препараты этой группы, призванные бороться с аллергическими реакциями, помогают избавиться от отёков и припухлостей разной величины.
Из действенных препаратов можно выделить:
- Супрастин;
- Лоратадин;
- Кларитин;
- Фексадин.
Перед приёмом проконсультируйтесь с врачом, чтобы не навредить организму.
Местные препараты
Чтобы быстрее вылечить воспаление и убрать отёк, можно использовать специальные мази и гели, накладываемые непосредственно на десну.
Чаще всего применяются:
- Левомеколь;
- Димексид;
- Метрогил дента;
- Холисал.
Эти средства можно назначать себе самостоятельно, важно лишь следовать инструкции.
Прикладывание холода
Холодные компрессы помогают снизить болевые ощущения и быстрее рассосать припухлость.
Для них можно использовать:
- замороженные продукты;
- кубики льда;
- бутылку с холодной водой;
- охлаждённый металл.
Холод прикладывается к больной щеке на 15 минут каждые 2-3 часа в течение нескольких дней.
Содово-солевой компресс
Избавление от отёчности ускорит специальный компресс на щёку:
- По 1 ч. л. соды и соли залить 100 мл горячей кипячёной воды.
- Размешать, остудить до комнатной температуры.
- Смочить ватный диск и наложить на лунку, держать 15-20 минут.
Процедуру необходимо повторять каждые 3-4 часа, пока отёк не спадет.
Полоскание содово-солевым раствором
Соль и соду также можно применять в качестве полоскания:
- По 1 ч. л. соли и соды смешать с 200 мл кипятка.
- Перемешать, дать остыть.
- Полоскать ротовую полость каждые 2 часа по 3-5 минут.
Воспаление уменьшится в первый же день, и спустя 2-3 дня должно исчезнуть насовсем.
Полоскания аптечными средствами
Помимо содово-солевого раствора, существуют эффективные аптечные антисептики для полоскания ротовой полости.
К ним относятся:
- фурацилин: 1 таблетка на 100 мл воды;
- хлоргексидин: полоскание чистым раствором;
- травяные сборы: 1 ст. л. на 200 мл;
- прополис: 5 капель на 200 мл.
Полоскание этими растворами производится каждые 4-5 часов, за исключением времени сна. Они снимают воспаление и отёк, а также избавляют от боли и дискомфорта в десне.
Что запрещено делать после операции?
Для того чтобы не возникли осложнения, необходимо придерживаться рекомендаций специалиста.
- После операции не нужно спешить вставать с кресла. Необходимо провести в нем минимум 10 минут. Не стоит покидать кабинет специалиста при плохом самочувствии.
- Плотно прижимайте марлевый тампон, который вкладывают между челюстей после удаления. Он позволяет избежать отека десны.
- Запрещается греть щеку.
- Нельзя в первые три часа принимать пищу. А по истечении этого времени необходимо выбирать мягкие продукты и перетертые блюда.
- Специалисты не рекомендуют после удаления единицы употреблять горячие блюда, пить газировку, алкогольные напитки. Также нельзя использовать соломинку при питье.
- Нельзя прикасаться к лунке языком или руками.
- Запрещено ходить в баню, сауну.
- Для того чтобы не травмировать больной участок еще больше, необходимо пережевывать пищу на другой стороне челюсти.
Гигиенические процедуры необходимо проводить аккуратно, без контакта зубной щетки с травмированной десной.
Возможные осложнения
После извлечения зуба могут возникнуть нежелательные осложнения. Нередко у пациентов возникает альвеолит, то есть воспаление лунки. Этому заболеванию сопутствуют следующие симптомы:
- интенсивная боль;
- безостановочная кровоточивость раны;
- отек десны;
- ухудшение общего состояния;
- повышение температуры;
- привкус и запах гноя;
- усталость.
При отсутствии должного лечения воспалительные процессы могут перейти на другие области и органы. В этом случае состояние здоровья пациента будет дальше ухудшаться.
Восстановительный период
После операции пройдет некоторое время, пока организм придет в норму. Сколько дней? Отек после удаления зуба мудрости должен уменьшаться уже на следующий день. По крайней мере, следите за тем, чтобы он не увеличивался в размере. Интенсивность болевых ощущений также должна снижаться. Конечно, эти сроки приблизительны. Ведь у каждого пациента организм реагирует по-своему. Если операция прошла без осложнений, а после нее ранка не инфицировалась, то к концу недели пациент совсем забудет о походе к стоматологу. Сложные случаи, воспалительные процессы могут потребовать больше времени на восстановление здоровья. Все будет зависеть от того, насколько человек своевременно обратился к врачу.
Причины
Отек – самое частое последствие после экстракции зуба мудрости. Припухлость не всегда возникает в первый день, обычно это происходит на следующие сутки.
Причиной этому служит повреждение мягких тканей. Особенно выраженный отек наблюдается при операции на верхней челюсти, которая отличается богатым кровоснабжением. Внешне отек напоминает флюс, но гнойный процесс отсутствует.
Если говорить о патологическом отеке, то его может вызвать аллергия на обезболивающее вещество и другие лекарства, применяемые стоматологом. Он будет сопровождаться повышенной температурой и грозит развитием анафилактического шока. В таком случае врач оказывает первую помощь для профилактики осложнений.
Еще одна причина – несоблюдение стерильности. Если врач неправильно обрабатывает операционный участок, это становится причиной занесения в рану инфекции. Как результат – инфекционное воспаление, которое сопровождается отеком с сопутствующей симптоматикой.
И последнее — сложное удаление, когда стоматолог убирает не все раздробленные частицы зуба, которые впоследствии способны вызывать нагноение.
Норма или патология
Отличить нормальный отек от патологического после того, как вырвали зуб, несложно. Следует сопоставить симптоматические проявления.
Нормальный отек имеет следующее течение:
- есть небольшая припухлость щеки и десны;
- при нажатии ощущается слабая боль;
- ткани немного покрасневшие;
- гнойные выделения отсутствуют;
- температура тела в норме, общее состояние удовлетворительное.
Патологический отек сопровождается следующей симптоматикой:
- нагноение;
- сильное воспаление с пульсирующей болью;
- появление уплотненной шишки;
- выраженное покраснение слизистой ротовой полости;
- наличие гнойного содержимого;
- резкая боль при нажатии на десну и щеку.
Сильный отек может быть признаком зубного флюса, то есть нагноения. Этот вариант рассматривается, когда есть уплотнение тканей, пульсирующая боль, быстрое нарастание опухоли.
Сколько длится отек
То, сколько держится отек после экстракции, будет зависеть от сложности операции. Припухлость обычно возникает на следующий день или сразу после прекращения действия анестезии. Сходит отек в течение 2—3 дней.
Щека будет распухать и отекать постепенно. Спадает припухлость также не сразу, но должна полностью пройти в течение 3—5 дней. Если она держится дольше, это повод обратиться к стоматологу.
В каких случаях отек говорит об осложнениях?
Речь идет об осложнениях, если щека не только опухла, но и появились дополнительные симптомы:
- отек щеки увеличивается;
- отмечается сильная боль, которая постоянно нарастает, при этом она лишь немного или вовсе не снимается обезболивающими препаратами;
- чувствуется натяжение в прооперированной области;
- температура выше 37,5°С;
- больно открывать рот, говорить, глотать;
- в лунке отсутствует кровяной сгусток или он покрыт пленкой желтого, серого или зеленого цвета;
- гнилостный запах изо рта.
Важно! При наличии хотя бы одного признака в сопровождении с отеком щеки необходимо обратиться к врачу, так как их причиной выступает присоединение инфекции. Устранением последствий занимается стоматолог-хирург, если проводилась операция, либо терапевт или эндодонтист, когда осуществлялось лечение корневых каналов.
Еще одна причина для беспокойства – присутствие одышки, гиперемии и зуда слизистой. Это указывает на аллергические реакции. Десна также может опухнуть при отсутствии боли – такая ситуация развивается при некачественно пролеченных корневых каналах.
Если причины отека — некачественно проведенное эндодонтическое лечение, зуб придется перелечивать.
Отчего возникает сильная припухлость на месте кисты
Киста — гнойное образование глубоко в челюстной кости на корне зуба. Для извлечения кисты врач проводит операцию — цистэктомию. В ходе процедуры стоматолог рассекает десну, иссекает новообразование, пломбирует или удаляет поврежденный зуб. Вследствие этой операции отек возникает по тем же причинам, что и после экстракции зуба. Однако цистэктомия — более травматичная процедура, поэтому ткани из-за хирургического вмешательства отекают сильнее.
Методы лечения
Многие пациенты впадают не знают, что делать, если после удаления зуба опухла десна и щека. В первую очередь нужно обратиться к врачу, который проводил удаление.
Он осмотрит пациента, и определить причину развития патологии. При необходимости даст направление на лабораторные анализы крови, по результатам подберет эффективную схему лечения.
Медикаментозная терапия
Обязательным условием восстановительного периода после удаления зуба является прием курса антибактериальных препаратов. Их пью непрерывным курсом, несоблюдение схему приема повышает шансы на развитие воспалительного процесса. Рассмотрим, что делать, если после удаления зуба опухла десна и болит поврежденный участок.
В первую очередь нужно регулярно выполнять полоскания ротовой полости антисептическими растворами. Чаще всего применяю такие средства как Хлоргекседин, Мирамистин, Хлорофиллипт и т.д. Полоскания проводят 2-3 раза в сутки минимум 7 дней. Чем полоскать подскажет лечащий врач, исходя из картины состояния пациента.
Для купирования болевых ощущений пациенту назначают обезболивающие и противовоспалительные средства. Если в течение 5 дней припухлость не проходит, а состояние больного ухудшается, нужно срочно обращаться к специалисту.
Также больному назначают обезболивающие и противовоспалительные гели (Камистад, Метрогил и т.д.). Единственным недостатком этих препаратов считается непродолжительность полученного эффекта (снимает боль на короткое время).
Народная медицина
Многие пациенты интересуются, что делать в домашних условиях, чтобы избавиться от припухлости на деснах? Для этих целей используют отвары из лекарственных растений (ромашки, зверобоя, календулы, дубовой коры и т.д.).
Прекрасным противовоспалительным эффектом обладает отвар прополиса, он не только снимает отек, но и устраняет болевые ощущения.
При необходимости удалять несколько зубов, врач должен делать небольшой перерыв в процедуре для того чтобы десна смогли полноценно восстановиться. Для быстрого снятия припухлости и покраснения рекомендуется полоскать рот несколько раз в день раствором пищевой соды.
Любые полоскания проводят после предварительной консультации с лечащим врачом. В противном случае повышается риск повреждения сформировавшегося на поверхности раны кровяного сгустка, а это в свою очередь удваивает шансы на развитие инфекционного процесса.
Как снять отёк десны
Если распухла десна, не нужно без рекомендации врача принимать лекарства. При возникновении отёчности требуется время для восстановления организма. Пациент дополнительными средствами может ускорить процесс и облегчить своё состояние.
Для этого нужно после операции отдохнуть в течение 30–60 минут, что позволит восстановить кровоток. Физическая активность приведёт к большой кровопотере и медленному затягиванию раны. Также положенный стоматологом тампон способствует образованию кровяного сгустка, поэтому не нужно убирать его в течение 30–40 минут.
Есть несколько способов, как снять отёк после удаления зуба. Они применяются в стоматологических клиниках и в домашних условиях, но помогают только в случае, если заживление лунки проходит без осложнений.
Медикаменты
При сложной операции, после которой возникает воспаление дёсен, врач назначает приём препаратов, снимающих воспаление. Предотвратить развитие инфекции помогают Линкомицин, Индометацин, антибиотики при поражении костной ткани (их назначает стоматолог), нестероидные средства, специальные гели (Метродент).
Для уменьшения отёчности рекомендуется регулярно промывать полость рта специальными растворами, такими как Мирамистин, Хлоргексидин, Хлорофиллипт. Именно промывать, не полоскать! Полоскание может смыть сгусток, образовавшийся на лунке.
Народные способы
Народные рецепты знают как уменьшить отёк и избавиться от болезненных ощущений. Несложные способы можно использовать в домашних условиях без вреда для организма, но только при отёчности, которая не сопровождается дополнительными симптомами. Самые распространённые методы:
- холодный компресс на непродолжительное время;
- промывание раствором соли и соды;
- использование травяных отваров для промывания (корень аира, календула, шалфей, ромашка, прополис, кора дуба, мумиё).
Симптомы и причины появления опухоли щеки после сложного удаления
Медики подчёркивают, что операции повышенной сложности почти всегда сопровождаются незначительным отёком щеки, и это нормально.
Связан этот эффект с тем, что удаление может сопровождаться повреждениями расположенных рядом тканей, например, если выпиливается кость или разрезается слизистая оболочка ротовой полости.
В некоторых случаях возможно даже возникновение асимметрии лица после удаления восьмого зуба.
Такой отёк со временем уменьшается, уходит вместе с болезненными ощущениями.
Гематома
Гематома иногда образовывается на десне после операции по удалению зуба. Для неё характерно не проявляться сразу, т. е. само образование происходит незаметно. Пациент может почувствовать, что первые 3—4 дня после операции дискомфортные ощущения постепенно проходят и его состояние улучшается, а затем возникает резкая боль. Гематома провоцирует опухание щеки и болевые приступы. С таким последствием справиться самостоятельно пациент не сможет, потребуется снова обращаться к врачу, чтобы тот вскрыл гематому, убрал нагноение и почистил слизистую.
Внимание! Для гематомы характерно постепенное развитие и осложнение. Наличие или отсутствие последствий напрямую будет зависеть от быстроты обращения к специалисту.
Инфицирование
Возникает, если и сам зуб удалялся на фоне активного воспалительного процесса. Не исключено, что в лунке осталась инфекция — она и выступает в роли основной причины отёчности.
В идеале, чтобы избежать такого развития событий, стоматолог должен тщательно промыть рану антисептиком, положить лекарство и назначить приём антибиотиков. Но даже сделав все профилактические манипуляции, доктор не даст 100% гарантию, что воспалительный процесс не возникнет снова. Часто рецидив инфекции происходит на фоне ослабленного иммунитета.
Аллергическая реакция на анестезию
Такая реакция имеет ряд особенностей, которые позволяют сразу опознать опухлость аллергической природы: она появляется мгновенно и очень быстро нарастает. Опухлость щёк может наблюдаться из-за отёка Квинке. Эта реакция организма бывает очень опасной, если локализуется в органах дыхания — таким пациентам потребуется неотложная помощь.
Если же отёчность находится на щеке, врачи рекомендуют подождать, пока она спадёт (отёк Квинке при отсутствии аллергена полностью уходит за 10—12 часов) или принять антигистаминный препарат.
Внимание! Аллергическая реакция говорит о том, что организм очень остро отреагировал на анестезию, введённую внутрь для удаления зуба. Обязательно проконсультируйтесь с врачом, выясните, какое средство использовалось, чтобы в дальнейшем при хирургических вмешательствах стоматологи не применяли лекарство.
Что делать, если опухла щека после того, как вырвали зуб?
Припухлость может сопровождать сам процесс удаления и заживления мягких тканей. Но следует дать себе около суток времени, чтобы понаблюдать за тем, как происходит выздоровление.
В некоторых случаях к врачу идти не стоит, так как ничего серьезного не появляется. А иногда следует обязательно обратиться за помощью к специалисту, чтобы не запустить патологический процесс.
Операции по удалению зубов
Перед экстракцией место обезболивают путем инъекции анестетика в складку альвеолярного отростка у основания зуба. Помимо обезболивания, это снижает интенсивность кровотечения при операции.
При удалении передних молочных зубов обезболивание обычно проводят нанесением спрея анестетика или тампона, смоченного им. Через 10–15 мин удаляют зуб.
В простых случаях экстракцию зуба проводят щипцами, элеваторами, расшатывают и выдергивают из лунки.
В сложных случаях нужны надрезы на десне. Иногда остеотомом рассекают челюстную кость. При такой травме после удаления всегда есть боль в десне.
Простое и сложное удаление зуба
К простым операциям относят удаление молочных и постоянных зубов с небольшими корнями, осложнения при этом возникают не более чем в 5% случаев, к сложным — экстракции многокорневых зубов.
Самыми сложным считают удаление «восьмерок» и аномально расположенных коренных моляров — ретенированных. Здесь в трети случаев возможны осложнения.
К сложным относят срочные экстракции на фоне гнойных поражений десны. Имеется большой объем травмируемых тканей, необходима тщательная очистка раны, последующее ее дренирование с длительным заживлением. Иногда такая операция затрагивает не только зуб и окружающую десну, но и челюстную кость.
Долгое прорезывание, рост зубов мудрости обычно вызывает боль, поскольку они часто растут с неправильным наклоном, давят на ткани, смещая соседние зубы. Поэтому удаление «восьмерки» лучше осуществлять уже на стадии зачатка, чтобы избежать последующих осложнений.
Сложным является удаление при полном или частичном нарушении целостности корней или коронки. Каждый осколок удаляют отдельно, что увеличивает длительность, травматизацию и последующую болезненность десны.
Причины возникновения
Отек не всегда является признаком каких-либо осложнений. Очень часто он является нормальной реакцией организма на удаление зуба.
Так, выделяют следующие причины, которые могут привести к формированию отечности:
- сложное удаление. Данный процесс крайне травматичен, поэтому возникновение отека является нормальной реакцией организма. Так, сложное удаление третьего моляра практически всегда сопровождается выраженным отеком;
- наличие фонового инфекционного процесса. Обычно, при наличии фоновой инфекции, врач рекомендует принимать антибиотики, однако это не гарантирует того, что на поврежденной области не начнется воспалительный процесс. В таком случае возникновение отека гарантировано;
- индивидуальные особенности организма. Крайне склонны к формированию отеков гипертоники, а также полные люди. В этих случаях, отек появляется даже при простом удалении.
Устранение симптомов
У вас появился вопрос, что делать, если отек после удаления зуба мудрости сохраняется неделю? Это явно за пределами любой нормы. Если это возможно – осмотрите лунку зуба . Возможно, вы увидите внутри следы нагноения, покраснение, другие симптомы, указывающие на развитие альвеолита. В этом случае появление отечности – закономерное развитие этой ситуации.
Как быть в этом случае? Самый простой вариант – пойти к врачу. Он определит причину происходящего. К тому же стоматолог не только знает, как снять воспаления и отеки, но и имеет под рукой необходимые медикаменты. Это – далеко не худший расклад, даже если вы терпеть не можете ходить к стоматологам.
Но как поступить в том случае, если по какой-то причине вы не можете попасть на прием к специалисту? Итак, для начала вспомните, сколько дней не проходит отек. Если 3-4, то не факт, что есть смысл паниковать. Какие еще проявления, не являющиеся нормой, у вас имеются? Если собралось 2-4 симптома, нужно лечение.
- Не пытайтесь решить проблему антибиотиками. Во-первых, если в лунке нагноение, то пока его не удалят, вы себе никак не поможете. Во-вторых, испортите микрофлору в кишечнике, да и во рту начнет плодиться грибок.
- Антисептики также бессильны, пока из лунки не удалят некротические массы.
Подручные средства могут облегчить состояние:
- Холодный компресс снимет боль и отечность. Злоупотреблять льдом не стоит. Если вы застудите нерв, проблем не оберетесь.
- Растворите в стакане воды чайную ложку соды и половину чайной ложки обычной поваренной соли. Намочите ватный тампон в этом растворе и приложите к опухшей десне. Меняйте вату каждые двадцать минут.
Приготовление солевого раствора
Опять же, все эти советы актуальны только в том случае, если у вас нет луночного воспаления и нагноения сгустка. Иначе без помощи дантиста никак не обойтись. Он не только вычистит лунку от остатков разложившегося сгустка, но и заложит специальное лекарство. Оно остановит процесс, который мог бы затронуть кость челюсти.
Совет – не волнуйтесь. Когда повышается давление, отек увеличивается. Потому сначала успокойтесь, а затем пытайтесь устранить симптомы. Также воздержитесь от алкоголя, слишком горячей пищи, сладостей.
Воздержитесь от горячей пищи
Что предлагает гомеопатия от отеков после удаления зуба мудрости? Есть много средств, которые занимаются очисткой лимфатической системы от попадающих в нее токсинов. Также предлагаются средства на основе пчелиного яда. Насколько это безопасно? Без предписаний врача не стоит ставить на себе эксперименты. К тому же у многих людей есть аллергия на продукты пчеловодства и яд этих насекомых в частности. Из гомеопатических средств наиболее эффективным и безопасным оказались таблетки под язык Траумель и капли Лимфомиозот. Оба препарата отпускаются без рецепта. Таблетки в Интернете нашлись за 4,7 доллара, а капли оказались чуть дороже — 7 долларов. Цены привожу в у.е. для удобства людей из разных стран, читающих эту статью.
Если у вас есть возможность, то немедленно отправляйтесь на осмотр к стоматологу. Он выяснит, что именно привело к появлению отека и определит, какое лечение вам поможет.
Что делать для снятия отёка щеки
Полезные советы, которые помогут снять отёк после удаления зуба мудрости, и не дать щеке распухнуть ещё сильнее:
- главный враг отёка – это холод. Как правило, выполнение этой доступной хитрости помогает преобладающему большинству пациентов предупредить припухлость щеки, даже после сложной экстракции. Главное, начинать действовать сразу после операции и продолжать процедуру по приходу домой. По выходу из стоматологического кабинета можно купить очень холодную воду в жестяной банке или мороженое и периодически прикладывать к больной щеке. Оказавшись дома, нужно подготовить более существенный источник холода. Желательно заблаговременно заморозить лёд, затем поместить его в пакет, обмотать полотенцем. Такой компресс прикладывать эпизодически, не допуская переохлаждения – метод не только предупреждает отёк, но и препятствует размножению патогенной флоры, ведь для этого ей нужно тепло. По этой причине категорически нельзя выполнять прогревание, купаться в горячей ванной, пить чай;
- если человек знает, что трудно переносит различные вмешательства или имеет низкий болевой порог, желательно сразу поставить в известность хирурга. Врач посоветует как снять отёк и назначит оптимальные противовоспалительные, обезболивающие препараты для послеоперационного периода – Кетанов, Ибупрофен, Нурофен, Анальгин, Аэртал;
- если есть недоверие к таблеткам из-за противопоказаний, можно воспользоваться специальными противоотечными мазями из аптеки для наружного применения, их нужно намазывать на припухшую щеку с внешней стороны. Средства оказывают охлаждающее действие, снимают воспаление, обезболивают (Камистад, Метрогил Дента, Холисал);
- первые сутки и несколько последующих дней после удаления зуба мудрости играют ведущую роль в период реабилитации. В эти дни, все действия которые связаны с ротовой полостью, нужно проводить максимально аккуратно, тогда выздоровление не займёт много времени. Всегда нужно помнить о формировании кровяного сгустка и его наличии в лунке. Поэтому желательно есть мягкую пищу, проводить щадящую, но качественную гигиену, исключить активное полоскание;
- если так получилось, что сгусток отсутствует, то ждать его появления не стоит – сразу следует показаться стоматологу для обработки лунки;
- настораживающим признаком является опухшая щека после удаления зуба на фоне затруднённого дыхания – это может свидетельствовать об аллергической реакции. Поэтому лучше не думать о том как убрать отёк, а вызвать бригаду скорой помощи. До их приезда помогут антигистаминные препараты.
Таким образом, опухлость на щеке после удаления зуба мудрости далеко не всегда является причиной для паники, важно понимать, что делать. Основная задача – выполнять простые рекомендации, тогда все неприятные симптомы проходят самостоятельно и незаметно.
Лечение осложнений
Ноющую боль в десне в первые сутки после процедуры стоматологи считают естественной, физиологической реакцией организма на оперативное вмешательство. Насторожить вас должно появление:
- пульсирующей боли, иррадиирущей в область уха или шеи;
- неприятного запаха изо рта;
- повышенной температуры на второй-третий день после экстракции;
- отека, флюса и болезненных ощущений при касании лунки языком.
Подобные симптомы свидетельствуют о развитии осложнений, и правильным решением будет обратиться к зубному врачу, который:
- произведет очищение (кюретаж) зубной лунки от гнойных скоплений и оставшихся частиц корня;
- промоет рану антисептическим раствором;
- наложит лечебную аппликацию и, при необходимости, назначит инъекции антибиотика в десны.
Процедуры помогут снять болевой синдром, и вы почувствуете себя значительно лучше сразу после выхода из кабинета стоматолога.
Специально для вас мы собрали на нашем сайте лучшие стоматологические клиники, где вам всегда помогут.
В каких случаях необходима врачебная помощь
Симптоматика послеоперационного периода должна насторожить в таких случаях:
- при покраснении слизистой и кожи, появлении отдышки (признаков тахикардии);
- если на верхней части туловища образовалась сыпь (аллергия на препараты);
- когда опухоль увеличивается, проявляется на других участках десны или на всей стороне лица;
- при ухудшении самочувствия (повышении температуры, сложности глотать слюну, открывать рот, болезненности жевания);
- прогрессирующей боли;
- если изо рта начинает исходить гнилостный запах;
- когда отёчность после операции прошла, а через какое-то время стала вновь расти;
- отечность держится слишком долго.
Каждый вариант может свидетельствовать о начавшемся осложнении, поэтому терять время, откладывая визит к врачу, не стоит.
Послеоперационный период
Послеоперационный период является важнейшим этапом в удалении любого зуба и третий моляр не является исключением. Чтобы заживление прошло без осложнений, крайне важно соблюдать все данные врачом рекомендации.
Все эти проявления могут продолжаться первые 10 дней после удаления. В том случае, если по прошествии этого времени данные проявления не исчезли, необходимо обратиться к специалисту для исключения возможных осложнений. К сожалению, данный процесс не всегда протекает нормально.
Так, выделяют следующие осложнения, которые могут возникнуть после удаления:
- сухая лунка. Одним из важнейших элементов, нужных для заживления лунки является кровяной сгусток. В случае его повреждения или неправильной медикаментозной терапии, формируется сухая лунка и данная область становится более подвержена инфицированию. В этом случае нужно повторно обратиться к специалисту, который вновь травмирует десневой карман, с целью образования нового сгустка;
- альвеолит. Воспаление стенок лунки, связанное с нарушением процесса удаления зуба или же несоблюдением гигиены полости рта. Характеризуется сильной болью, отдающей в височную область и значительным повышением температуры тела;
- остиомиелит лунки. Если плохо проводить гигиену полости рта в послеоперационный период, возможно присоединение инфекционного процесса, приводящего к воспалению костной ткани. Для данного состояния характерная высокая температура, отек вокруг лунки, а также выраженная боль;
- невропатия. У некоторых людей зубы мудрости расположены таким образом, что после их удаления происходит обнажение нервов нижней челюсти. Это приводит к появлению таких симптомов как парестезия нижней губы, а также распространенной боли в области нижней челюсти;
- обнажение участка надкостницы. Данное осложнение напрямую связано с врачебной ошибкой. Если возникло обнажение участка надкостницы, значит, что во время проведения процедуры было допущено травмирование участка десны, приведшее к обнажению костной ткани. Проявляется выраженным болевым синдромом, возникающим при контакте с поврежденной областью;
- абсцесс и флегмона. Одними из самых серьезных осложнений являются данные гнойные процессы. Болевой синдром при этих состояниях практически не выражен, однако больной может жаловаться на сильный отек, повышение температуры, а также частые головокружения. В этом случае показана экстренная хирургическая помощь.
Возможные осложнения и их лечение
После удаления мягкие ткани могут опухнуть, что вызвано механическим воздействием на них во время проведения стоматологических манипуляций. Отёчность в норме не доставляет сильного дискомфорта, через несколько дней она исчезнет.
Но удаление может пройти с осложнениями, которые могут привести к неприятным последствиям, вплоть до летального исхода. Поэтому важно вовремя их заметить и вылечить:
- Альвеолит, или инфицирование ранки, при своевременном обращении к врачу лечится достаточно быстро. Проводится повторная чистка зубной лунки. Устраняются имеющиеся нагноения, после чего с помощью специальных препаратов (антибактериальные средства, антибиотики, нестероидные противовоспалительные средства) лечится непосредственно инфекционное заболевание.
- При гематоме в ранке скапливаются слизь и кровь, вызывая осложнения. В этом случае стоматолог при помощи инструмента проводит дренаж для качественного очищения лунки, после чего накладывает антисептик, назначает курс противомикробных медикаментов для быстрого заживления и восстановления тканей.
- Флегмона вызывает обширную отёчность челюсти. Дополнительно наблюдается развитие гнойного абсцесса, резкое повышение температуры. По этой причине нужно срочно обратиться за медицинской помощью, так как воспаление распространяется на жировую и соединительную ткани. Своевременное лечение позволит не допустить распространение процесса на окружающие участки.
- Остеомиелит является опасным осложнением, при котором гнойный процесс поражает костную ткань. Нужно срочно обращаться в медицинское учреждение. Лечение включает в себя повторную чистку и установку дренажа в десне с последующим приёмом антибиотиков. Запущенный процесс приводит к постепенному разрушению тканей и развитию патологий в виде деформации челюстной кости:
Важно следить за здоровьем и своевременно посещать стоматолога. Это позволит сохранить зубы красивыми и здоровыми. Даже при необходимости удаления важно наблюдать за реакцией организма на хирургическое вмешательство. При подозрении на осложнения лучше обратиться к врачу, чтобы не допустить тяжёлых последствий.
Является ли нормой то, что десна опухла
Интенсивность и объём отёчности напрямую зависит от длительности операции и сложности её выполнения. Опухлость является лишь результатом реакции тканей на вмешательство.
Среди основных факторов, влияющих на появление осложнений, специалисты выделяют следующие:
- квалификация врача;
- вид обезболивающих препаратов, используемых при операции;
- сложность случая (обширность поражения зуба, запущенность, наличие флюса и т. п.);
- качество проведения антисептической обработки;
- наличие вредных привычек;
- инфекции в полости рта.
Сам же отёк возникает по таким причинам:
- из-за отсутствия кровяного сгустка, который защищает ранку от инфицирования;
- некачественное извлечение зуба (в мягких тканях остаются фрагменты зуба, межкорневая перегородка, часть корня);
- аллергическая реакция на обезболивающие или антисептические средства;
- недобросовестная обработка врачом лунки, в результате чего в неё попадают болезнетворные микроорганизмы, образуя патогенную микрофлору;
- оставшаяся после извлечения зуба киста (в таком случае проводят санацию полости рта и назначают антибиотики).
Существуют также факторы, наличие которых предопределяет развитие отёка десны:
- если для извлечения зуба делается разрез мягких тканей;
- при воспалении дентина лунки;
- травматичная процедура удаления зуба, когда применялось механическое воздействие на челюсть;
- при удалении третьих моляров;
- если у пациента есть патологии со стороны сосудов, артериального давления, кровообращения, а также диагностирован ранее диабет.
Слабый иммунитет при любой операции провоцирует развитие осложнений, как и в случае с отёчностью после того, как вырвали зуб.
Основные симптомы и их длительность
Как правило, боли в десне возникают уже по возвращении из стоматологической клиники.
Через несколько часов, когда действие анестезирующего вещества закончится, пациент начнёт испытывать первые болезненные симптомы.
Снятие отека в домашних условиях
Следует помнить о том, что полоскать рот слишком часто не нужно – это ведёт к повреждению тканей десны. Следует избегать слишком горячей и холодной пищи и воды для полосканий. Молочные продукты, сладости и мёд стоит исключить до исчезновения неприятных симптомов.
Медикаменты
Для обработки лунки в десне используются антисептики местного действия – Хлоргексидин и Мирамистин. Они угнетают жизнедеятельность бактерий, при этом не причиняют вреда слизистой оболочке. Их нужно осторожно наносить на повреждённую поверхность с помощью ватного тампона. Хороший эффект дают антибактериальные стоматологические мази – Метрогил-дента, обезболивающая мазь Камистад и другие. Они снимают боль и отёк, улучшают самочувствие, блокируют размножение бактерий. Если врач назначил какие-либо ещё медикаменты, их нужно принимать строго в соответствии с его назначением.
Народные методы
Самый простой и эффективный метод – холодный компресс. Самый простой и эффективный из народных методов – холодный компресс. Для него подойдёт лёд из морозилки, завёрнутый в ткань, или грелка с холодной водой. Компресс прикладывают к щеке для уменьшения припухлости.
Использование полосканий на основе трав – также хороший метод, который одобряется официальной медициной. Экстракты ромашки, коры дуба и розмарина позволяют остановить кровотечение, снять отёк, ускорить заживление пострадавшей области лица.
Для тех, кто страдает повышенным давлением, подойдёт совет спать на высокой подушке или нескольких подушках. Это поможет уменьшить приток крови к голове, как следствие – снизит выраженность опухоли щеки. При нормальном артериальном давлении эффективность такого метода сомнительна.
Профилактика осложнений
Если у пациента припухла десна, но не болит нужно просто наблюдать за развитием ситуации. Если этот симптом не проходит в течение неделе, нужно сразу обращаться к врачу.
Для профилактики развития осложнений рекомендуется следующее:
- соблюдать правила гигиены ротовой полости;
- принимать антибактериальные и антигистаминные препараты для предотвращения инфекционного процесса;
- ежедневно полоскать ротовую полость раствором аптечных антисептиков или отваров из лекарственных трав;
- запрещается трогать лунку удаленного зуба или повреждать образовавшийся кровяной сгусток;
- на время исключить твердую и горячую пищу;
- обогащение рациона витамина и микроэлементами, способствующими укреплению иммунного ответа;
- ограничения в употреблении сладостей;
- регулярно проходить осмотры у стоматолога Мир Улыбок.
Выполняя эти несложные правила можно значительно снизить риск развития неприятных последствий после удаления зубов.
Механизм возникновения
Выраженный отечный синдром после удаления третьего моляра связан с особенностями его строения. Третий моляр очень часто неправильно прорезывается, сильно сдавливая соседние зубы.
Корни расположены довольно глубоко и практически всегда извитые, что приводит к сильной травматизации окружающих тканей после их удаления. Таким образом, даже после неосложненной экстракции зуба мудрости может развиться сильный отек.
В зависимости от типа отека, механизм его возникновения может различаться, чаще всего, выделяют следующие причины:
- застой лимфы, возникающий на фоне спазма сосудов. К сужению сосудов приводит использование адреналина в качестве добавки к анестетику;
- выпот крови за пределы сосудистого русла;
- нарушение нормального кровообращения в поврежденной области;
- воспалительный процесс.
Состояние десны, если из неё выдернули зуб
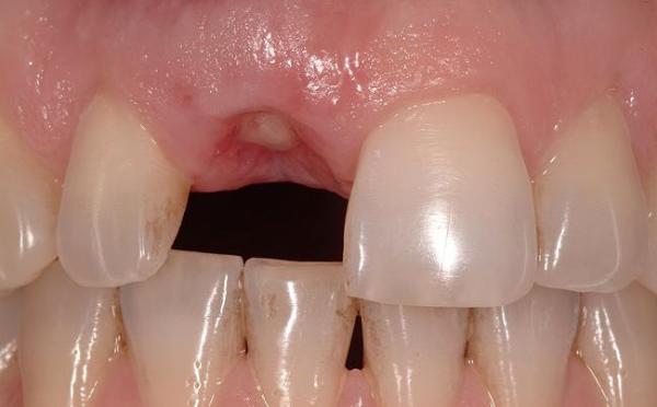
Воспалительный процесс, которым сопровождается стоматологическая операция, прежде всего затрагивает десневую ткань. Воспалённая десна становится отёчной и приобретает интенсивный розовый оттенок. При внешнем осмотре видна припухлость тканей, окружающих зуб, небольшие кровоподтёки и кровяной сгусток на месте удалённого зуба.
Появление на ране в первые часы после манипуляции белесого налёта не должно беспокоить пациента. Так выглядит фибрин, способствующий скорейшему свёртыванию крови и заживлению раны. Длительность травматического отёка и воспаления аналогична болевому синдрому — через 2-3 дня всё должно прийти в норму.




