Ультразвуковое исследование (УЗИ) — распространенный и безопасный метод диагностики кистозных образований, особенно в гинекологии. Правильный выбор дня цикла для УЗИ критически важен, так как он влияет на точность выявления кисты яичника. В статье рассмотрим, в какой день менструального цикла лучше проводить обследование для максимальной информативности, обсудим ошибки при интерпретации результатов и альтернативные методы диагностики, такие как КТ и МРТ.
Когда нужно делать УЗИ
При ухудшении самочувствия важно пройти полное медицинское обследование. Если неприятные ощущения сосредоточены в области живота, стоит обратиться к гинекологу. УЗИ-диагностика кисты яичников назначается, если пациентка отмечает:
- длительную задержку менструации;
- увеличение объема менструальных выделений;
- болезненные менструации (шелушение и отделение маточного эндометрия);
- ациклические кровяные выделения;
- регулярные сильные боли в нижней части живота.
Такие симптомы могут свидетельствовать о наличии кистозного образования на придатках, которое может вызывать репродуктивные нарушения.
Основным показанием для ультразвукового исследования является обнаружение округлого новообразования в области яичника при пальпации. В таких случаях диагностику следует проводить регулярно (1-2 раза в месяц) для мониторинга его роста.
Если киста была удалена хирургическим путем, УЗИ рекомендуется делать каждые 2-3 месяца в течение года.
Выявление кистозных образований с помощью ультразвукового исследования (УЗИ) является важным аспектом современной диагностики. Эксперты отмечают, что УЗИ позволяет неинвазивно и быстро оценить состояние органов и тканей, что особенно актуально при подозрении на наличие кист. Благодаря высокой чувствительности метода, специалисты могут точно определить размеры, локализацию и структуру образований, что способствует правильной интерпретации результатов.
Кроме того, УЗИ помогает отличить кистозные образования от опухолей, что имеет решающее значение для выбора дальнейшей тактики лечения. Важно отметить, что регулярные ультразвуковые исследования могут способствовать раннему выявлению патологий, что в свою очередь увеличивает шансы на успешное лечение. Таким образом, использование УЗИ в диагностике кистозных образований является не только эффективным, но и безопасным методом, который активно применяется в клинической практике.
https://youtube.com/watch?v=CtDBPqsym3E
Какое УЗИ делают при кисте яичника и особенности его проведения
При наличии доброкачественных и злокачественных образований в области женского живота возникает необходимость в их визуальном обследовании. Ультразвуковое исследование (УЗИ) малого таза при кисте яичников может проводиться тремя способами: трансректальным, трансабдоминальным и трансвагинальным.
| Метод УЗИ | Характеристика проведения |
|---|---|
| Трансректальное | Обладает высокой информативностью. В этом случае датчик вводится в прямую кишку. Данный метод чаще всего применяется у девственниц. |
| Трансабдоминальное | Исследование осуществляется через переднюю стенку живота. При наличии небольшой кисты этот метод может оказаться менее эффективным. |
| Трансвагинальное | Позволяет визуализировать органы малого таза через влагалище. Этот метод обеспечивает наибольшую информативность и позволяет обнаружить даже мелкие патологические образования на придатках. |
Обычно каждая из этих процедур занимает от 5 до 10 минут. За это время врач сможет подтвердить или опровергнуть наличие кисты на яичнике.
Собранные данные в процессе исследования оформляются на специальном бланке, который затем анализирует гинеколог.
Следует помнить, что результаты УЗИ не являются окончательным диагнозом. Его устанавливает гинеколог на основе всех проведенных анализов.
| Тип кистозного образования | УЗИ-признаки | Дифференциальная диагностика |
|---|---|---|
| Функциональная киста яичника | Анехогенное образование с четкими контурами, тонкой стенкой, отсутствием кровотока внутри кисты. Может быть одно- или многокамерной. Размер может меняться в течение менструального цикла. | Дермоидная киста, эндометриоидная киста, киста желтого тела |
| Дермоидная киста яичника | Анехогенные и гипоэхогенные участки, могут быть видны жировые включения, кальцификаты, волосы. Часто имеет неоднородную структуру. | Функциональная киста, тератома |
| Эндометриоидная киста яичника | Гипоэхогенное или смешанной эхогенности образование, может содержать внутренние перегородки и дебрис. Часто имеет толстую стенку. | Функциональная киста, абсцесс |
| Киста желтого тела | Анехогенное образование с тонкой стенкой, может содержать небольшое количество жидкости. Обычно встречается в лютеиновой фазе менструального цикла. | Апоплексия яичника, киста кровоизлияния |
| Параовариальная киста | Анехогенное образование, расположенное рядом с яичником, но не связанное с ним. Обычно имеет тонкую стенку. | Киста яичника, киста Беккера |
| Киста поджелудочной железы | Анехогенное или гипоэхогенное образование, может иметь неровные контуры, в зависимости от типа кисты. | Панкреатит, опухоль поджелудочной железы |
| Киста печени | Анехогенное образование с четкими контурами, тонкой стенкой. Может быть одиночной или множественной. | Гемангиома, абсцесс печени, метастазы |
Интересные факты
Вот несколько интересных фактов о выявлении кистозных образований с помощью ультразвукового исследования (УЗИ):
-
Высокая чувствительность: УЗИ является одним из самых эффективных методов для выявления кистозных образований, так как оно позволяет визуализировать жидкостные структуры в органах. УЗИ может обнаружить даже небольшие кисты, которые могут быть не видны при других методах визуализации, таких как рентген или компьютерная томография.
-
Безопасность и отсутствие радиации: В отличие от рентгеновских исследований и КТ, УЗИ не использует ионизирующее излучение, что делает его безопасным для пациентов, включая беременных женщин и детей. Это особенно важно при регулярных обследованиях для мониторинга кистозных образований.
-
Дифференциация типов образований: УЗИ позволяет не только выявлять кистозные образования, но и оценивать их характеристики, такие как размер, форма и структура. Это помогает врачам дифференцировать между доброкачественными и злокачественными образованиями, что критически важно для выбора дальнейшей тактики лечения.

Подготовка к процедуре
Для начала женщине следует определить дату начала менструации. Специалисты рекомендуют проводить УЗИ для диагностики кисты яичника на 1-2 сутки после окончания менструации, что соответствует примерно 6-8 дню цикла.
Перед тем как отправиться на процедуру, необходимо получить направление от гинеколога. В некоторых случаях в направлении может быть указан предварительный диагноз, что поможет специалисту быстрее сориентироваться в ситуации и более эффективно провести ультразвуковое исследование, зная о возможных проблемах, которые беспокоят пациентку.
Пациентке следует взять с собой:
- Одноразовую чистую пеленку.
- Бахилы.
- Бумажное полотенце для удаления геля с кожи.
Также необходимо иметь при себе документ, удостоверяющий личность.
Подготовка к процедуре зависит от типа УЗИ. Например, если будет проводиться трансабдоминальное исследование, женщине нужно предварительно наполнить мочевой пузырь. Это необходимо для того, чтобы кишечник не мешал визуализации, так как он может закрыть яичник, пораженный кистой, и получить качественное изображение будет невозможно.
Поэтому перед трансабдоминальным УЗИ пациентке рекомендуется выпить не менее 1,5 литров минеральной воды, желательно без газа, за 1 час до процедуры.
Если назначено трансректальное исследование яичников, то рекомендуется предварительно сделать клизму для очистки кишечника от каловых масс.
Для трансвагинального исследования специальная подготовка не требуется, однако соблюдение гигиенических процедур будет уместным.
Проведение гинекологической диагностики кисты
Процедура проводится в специально оборудованном кабинете с диагностической техникой. Метод выполнения зависит от типа исследования:
-
Трансректальное. Датчик обрабатывается гелем и вводится через анальное отверстие пациентки. В этом случае женщина располагается на боку с согнутыми в коленях ногами. Во время продвижения устройства по прямой кишке может возникнуть дискомфорт. Если он становится слишком сильным, следует сообщить об этом врачу.
-
Трансабдоминальное. Пациентка ложится на спину, обнажая нижнюю часть живота. На эту область наносится небольшое количество геля, а также обрабатывается датчик. Если на УЗИ обнаруживается киста левого яичника, врач будет проводить манипуляции с этой стороны. В случае правостороннего расположения опухоли все действия выполняются справа. При значительном давлении на живот пациентка может почувствовать позыв к мочеиспусканию, однако его следует игнорировать до завершения процедуры.
-
Трансвагинальное. Женщина раздевается до пояса и, сгибая колени, укладывается на спину. На микродатчик надевается презерватив, смоченный в геле, после чего устройство вводится во влагалище. Эта процедура абсолютно безболезненная, хотя может вызывать некоторый дискомфорт.
Все три метода также используются для проведения УЗИ после удаления кисты яичника.
По завершении УЗИ женщина может воспользоваться бумажным полотенцем, чтобы удалить гель с кожи. После того как врач или его ассистент распечатает снимок и результаты исследования, они будут переданы пациентке. Затем она может обратиться к своему лечащему гинекологу для дальнейшей диагностики.

Нормальные показатели органов брюшной полости на УЗИ
Параметры органов малого таза, которые указывают на их нормальное функционирование, зависят от возраста женщины.
В период климакса:
- во второй фазе цикла желтое тело не обнаруживается;
- фолликулы не визуализируются, так как их количество значительно уменьшается. Доминантный фолликул отсутствует;
- размеры придатков уменьшаются.
При репродуктивной функции:
- в паренхиме придатков можно увидеть множество фолликулов различных размеров (от 0,2 до 0,5 см);
- после овуляции на поверхности яичника четко определяется желтое тело, размер которого составляет от 0,5 до 2 см;
- доминантный фолликул наблюдается в правом яичнике и превышает остальные по размеру на 0,5-1 см;
- в полости малого таза присутствует небольшое количество жидкости.
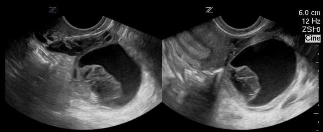
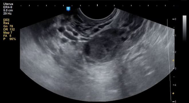
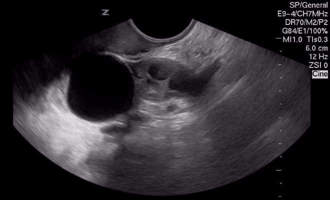
Как выглядит киста яичника на УЗИ
В гинекологии киста представляет собой полую опухоль, чаще всего доброкачественного характера, заполненную жидкостью.
Главным признаком кисты яичника при ультразвуковом исследовании является образование полого отростка на его поверхности. В отличие от нормального фолликула, который изменяется в течение менструального цикла, киста остается неизменной. Кроме того, такое образование обычно имеет больший размер.
На ультразвуковом снимке киста яичника отображается в виде черного пятна, размеры которого варьируются от 3 до 20 см.
Ультразвуковая диагностика кист
Большинство образований на теле придатка имеют доброкачественный характер. Прежде чем начинать лечение, важно установить тип кисты.
Дермоидная
Тератома представляет собой одну из наиболее распространенных форм патологических образований, возникающих на половых железах. Эти образования могут быть как доброкачественными, так и злокачественными. Чаще всего тератомы встречаются у молодых женщин в возрасте от 18 до 30 лет.
На ультразвуковом исследовании, магнитно-резонансной томографии и компьютерной томографии тератомы могут проявляться как однокамерные или двукамерные образования. В 60% случаев в их составе обнаруживается кальций. Внутри тератомы содержат жировую жидкость, вырабатываемую сальными железами.
Определить наличие тератомы на яичниках можно визуально, обратив внимание на эхогенные полосы.
Геморрагическая
Такое образование представляет собой сгусток крови. Его структура характеризуется однокамерностью и гипоэхогенностью. Внутри могут находиться различные включения, например, нити фибрина.
Толщина стенок данного новообразования может варьироваться. Часто в его составе присутствуют кровеносные сосуды, расположенные по кругу.
Наиболее часто наличие таких образований вызывает интенсивный болевой синдром. Однако встречались случаи, когда патологический процесс в яичнике геморрагического типа обнаруживался случайно, и при этом не вызывал никаких неприятных ощущений.
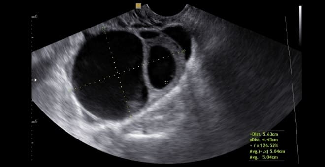
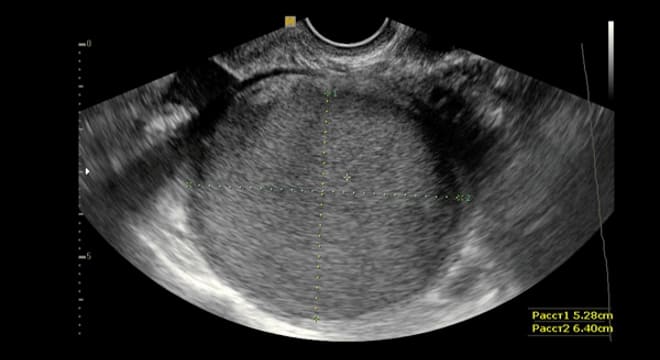
Фолликулярная
На ультразвуковом исследовании наблюдается однокамерное гипоэхогенное образование округлой формы. Стенки этого образования очень тонкие, а контуры четкие и ровные.
Фолликулярная киста содержит анэхогенную жидкость. Средний размер кисты составляет 10-13 см. Ткань придатка, расположенная позади кисты, выглядит нормальной и цельной.
В редких случаях патологическое образование на яичнике может быть выявлено у плода.
Текалютеиновая
Данное новообразование чаще всего выявляется в случаях многоплодной беременности или хорионэпителиомы. Его возникновение связано с увеличенной выработкой гормона хорионического гонадотропина в организме. В результате этого процесса паренхима придатков заменяется кистой, размеры которой варьируются от 1 до 4 мм.
После того как гормональный фон женщины приходит в норму, текалютеиновая киста исчезает.
Функциональная
Такое новообразование выглядит как крупное желтое тело или фолликул и имеет доброкачественный характер.
Чаще всего их выявляют при ультразвуковом исследовании у женщин в ранний период после менопаузы.
Фолликул превращается в кисту, если овуляция не произошла, и он не разорвался, что означает отсутствие обратного развития. Также возможно, что желтое тело трансформируется в кисту.
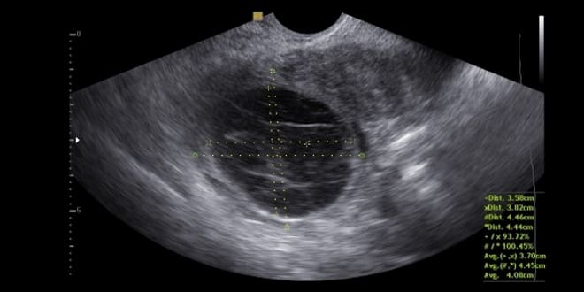
Киста желтого тела
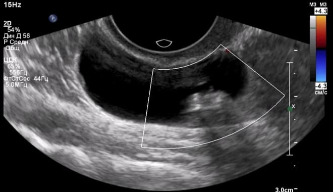
Это округлая, гипоэхогенная структура с толстыми стенками. Полость кисты четкая и гладкая, без каких-либо включений.
Обычно размер кисты желтого тела составляет от 4 до 8 см. Благодаря наличию пристеночного кровотока, на ультразвуковом исследовании она выглядит как огненное кольцо.
Параовариальная
Является анэхогенным образованием с тонкой капсулой, расположенным в области широких маточных связок.
Параовариальная киста может вызывать изменения в размерах матки и придатков, что хорошо видно при ультразвуковом исследовании. Размеры кисты варьируются от 5 до 20 см.
Стенка этого новообразования состоит из соединительной ткани с добавлением эластичных волокон, а внутренняя поверхность выстлана тонким эпителием.
В 60% случаев на УЗИ параовариальная киста правого яичника выявляется при её увеличении до 15 см. Образование на левом яичнике встречается несколько реже. Женщины, столкнувшиеся с данной патологией, часто испытывают сильные боли в нижней части живота, что заставляет их обратиться за медицинской помощью.
Эндометриодная
Её форма – вытянутая и округлая. Толщина стенки данного образования составляет от 3 до 7 мм. Капсула может обладать двойным контуром.
С помощью ультразвукового исследования можно точно установить количество камер кисты. Если камер много, они будут заполнены мелкими ячейками овальной формы.
Внутри такой полости кровоток не наблюдается.
Серозная цистаденома (серозоцеле)
Заболевание в основном затрагивает один из придатков. Цистаденома является доброкачественной опухолью с одной камерой. При отсутствии спаек она легко перемещается. Рост опухоли происходит медленно.
Капсула серозной цистаденомы имеет плотную структуру. Размеры составляют от 1 до 3 мм. Содержимое опухоли анэхогенное, а поверхность гладкая.
Ультразвуковая диагностика других патологий яичников
Киста – это не единственное заболевание, которое может повлиять на функционирование придатков. Существуют и другие патологии, развитие которых способно вызвать проблемы с репродуктивной функцией.
Поликистоз
При наличии синдрома поликистозных яичников (СПКЯ) ультразвуковое исследование позволяет выявить как минимум 10 фолликулов, которые располагаются в виде ожерелья из жемчуга.
В случае развития данной патологии парные половые железы увеличиваются в объеме. УЗИ у пациенток с поликистозом показывает наличие не менее 10 патологических образований в придатках, каждое из которых достигает размера 1 см.
Рак яичников
Быстро развивающаяся киста на придатках, обладающая злокачественными свойствами, в области гинекологии обозначается как рак.
Стенки данной опухоли отличаются толщиной и неровной структурой. Внутреннее пространство заполнено множественными перегородками и плотными включениями.
Обнаружение асцита и метастазов в области яичников свидетельствует о наличии онкологического процесса. К другим признакам рака придатков, выявляемым при ультразвуковом исследовании, относятся:
- наличие плотных кровяных масс внутри злокачественного образования;
- размер опухоли превышает 6 см;
- перегородки опухоли активно кровоснабжаются и имеют толщину более 3 мм.
Сальпингоофорит (воспаление яичников)
Данная патология часто развивается как осложнение гонорейной инфекции.
При сальпингоофорите между яичником и маткой образуется вытянутое многокамерное образование. Его стенки имеют очень тонкую структуру, в то время как тканевая поверхность матки, напротив, утолщается до 3 мм.
На ультразвуковом исследовании такая структура выглядит как бисерная.
Ошибки во время проведения УЗИ
Ультразвуковое исследование – это совершенно безопасная, комфортная и эффективная методика для диагностики различных заболеваний.
Тем не менее, в медицинской практике встречаются случаи, когда киста яичника была ошибочно выявлена на УЗИ. Вероятность такой ошибки невелика, но она существует. Это может быть обусловлено следующими факторами:
- Низкий уровень квалификации врача. Молодые специалисты чаще допускают ошибки в диагнозах по сравнению с опытными коллегами.
- Ограниченные возможности оборудования. Для проведения ультразвукового исследования с высокой точностью лучше всего подходят аппараты 3D и 4D УЗИ, однако не каждая клиника может позволить себе такую технику.
- Неправильное время для проведения исследования. В зависимости от фазы менструального цикла результаты могут различаться. Например, для диагностики кист яичников оптимально проводить УЗИ в первые дни после окончания менструации, так как в этот период увеличение матки может скрыть патологические образования.
- Неполные или неточные данные анамнеза. Врач может ошибиться в диагнозе, если пациентка предоставила неверную информацию о своем цикле или неточно описала симптомы.
Большинство ошибок в диагностике связано с использованием устаревшего оборудования во время ультразвукового исследования. Оно не позволяет детально рассмотреть исследуемый объект и дать ему полную оценку.
Что касается возможного вреда для женского здоровья, то ультразвуковое исследование абсолютно безопасно. Эту процедуру можно проводить неограниченное количество раз, не опасаясь негативных последствий.
При выявлении кисты необходимо регулярно проходить УЗИ, чтобы отслеживать динамику её развития. Если новообразование продолжает расти, тактика лечения будет пересмотрена.
Обнаружить патологическое образование на яичнике удается не всегда. Причинами могут быть использование устаревшего аппарата УЗИ и размер кисты менее 2 см. В таких случаях, если клиническая картина указывает на наличие заболевания, пациентку направляют на МРТ для более точной диагностики.
Вероятность перепутать кисту с беременностью во время УЗИ
Отличить оплодотворенную яйцеклетку от кистозного образования может даже врач-новичок. На ультразвуковом исследовании эмбрион становится видимым уже на третьей неделе беременности, а его сердцебиение можно услышать на шестой неделе. Поскольку женщины обращаются на УЗИ при длительной задержке менструации, вероятность ошибки в диагностике сводится к минимуму.
Что касается кист, то они обладают характерными патологическими признаками, которые позволяют точно установить диагноз. Поэтому вероятность перепутать кисту с оплодотворенной яйцеклеткой крайне мала.
Тем не менее, в медицинской практике встречались случаи, когда первоначально поставленный диагноз кисты позже изменялся на беременность. Однако такие ситуации являются редкими.
Проведение МРТ и КР при диагностике кисты яичников
КТ и КРТ представляют собой высокоточные методы диагностики, которые позволяют выявить местоположение, размеры, характер и тип кисты.
Эти методы чаще всего применяются при подозрении на рак придатков. В процессе исследования пациентке вводят контрастное вещество, после чего она располагается в специальной капсуле, которая не герметична. Магнитно-резонансная терапия (МРТ) помогает установить, привело ли развитие злокачественной опухоли к образованию метастазов и, если да, то в каких участках они находятся.
Процедура абсолютно безболезненна, и от пациентки требуется лишь надеть наушники, лечь на кушетку и, по указанию врача, задержать дыхание.
Если у девушек есть склонность к клаустрофобии, им следует заранее сообщить об этом специалисту, который будет проводить МРТ, прежде чем лечь на кушетку.
КТ подразумевает получение дозы рентгеновского излучения. Этот метод используется для получения 2-мм срезов яичника, которые обрабатываются компьютером и формируют изображение.
Процедура также не вызывает боли. КТ, как и МРТ, в отличие от УЗИ, не требует особой подготовки. Однако такие исследования не рекомендуется проводить при наличии проблем с работой желудочно-кишечного тракта.
Если у пациентки наблюдаются запоры, перед диагностикой необходимо принять слабительное или сделать клизму для опорожнения кишечника.
Обычно продолжительность процедур КТ и МРТ составляет около 20 минут. Противопоказаниями для их проведения являются беременность и аллергия на контрастное вещество.
На сегодняшний день ультразвуковое исследование считается наиболее эффективным методом для диагностики кист яичников. С его помощью также можно выявить и другие патологии, которые могут вызывать репродуктивные нарушения.
Важно своевременно обнаружить новообразование на яичнике, так как, если оно злокачественное, раннее лечение может остановить онкологический процесс и предотвратить распространение метастазов по организму.
Рекомендации по дальнейшему наблюдению и лечению кистозных образований
После выявления кистозных образований с помощью ультразвукового исследования (УЗИ) важно определить дальнейшую тактику наблюдения и лечения. Это зависит от ряда факторов, включая размер, локализацию, морфологические характеристики образования, а также клинические проявления и общее состояние пациента.
Первым шагом в дальнейшей оценке кистозного образования является его классификация. Кисты могут быть простыми, сложными или подозрительными на злокачественность. Простые кисты, как правило, не требуют активного вмешательства и могут быть оставлены под наблюдением, если они не вызывают симптомов и не увеличиваются в размерах. В таких случаях рекомендуется проводить контрольные УЗИ через определенные промежутки времени, например, каждые 6-12 месяцев.
Сложные кисты, которые имеют неоднородную структуру или содержат внутренние перегородки, требуют более тщательного обследования. В таких случаях может быть рекомендовано проведение дополнительных методов визуализации, таких как компьютерная томография (КТ) или магнитно-резонансная томография (МРТ), для более детальной оценки характеристик образования. Если есть подозрения на злокачественность, может потребоваться биопсия для получения гистологического материала.
Если кистозное образование вызывает симптомы, такие как боль, дискомфорт или нарушение функции соседних органов, может быть показано хирургическое вмешательство. В зависимости от локализации и размера кисты, это может быть как минимально инвазивная процедура (например, аспирация содержимого кисты), так и более радикальная операция.
Важно также учитывать возраст пациента, наличие сопутствующих заболеваний и общее состояние здоровья. У пожилых пациентов или людей с серьезными сопутствующими заболеваниями может быть предпочтительнее наблюдение, чем хирургическое вмешательство.
В случае, если кистозное образование связано с определенными заболеваниями (например, поликистоз почек или яичников), необходимо проводить комплексное лечение основного заболевания, что может включать как медикаментозную терапию, так и хирургические методы.
Таким образом, рекомендации по дальнейшему наблюдению и лечению кистозных образований должны быть индивидуализированы для каждого пациента, с учетом всех вышеуказанных факторов. Консультация с врачом-специалистом, таким как гастроэнтеролог, уролог или гинеколог, может помочь в принятии оптимального решения о дальнейших действиях.
Вопрос-ответ
Каковы основные преимущества УЗИ для диагностики кистозных образований?
УЗИ является неинвазивным и безопасным методом исследования, который позволяет быстро и точно выявлять кистозные образования. Он не использует ионизирующее излучение, что делает его особенно подходящим для пациентов всех возрастов. Кроме того, УЗИ позволяет получить изображения в реальном времени, что помогает врачу оценить динамику изменений в кистах.
Какие типы кистозных образований можно выявить с помощью УЗИ?
С помощью УЗИ можно выявить различные типы кистозных образований, включая простые кисты, сложные кисты, а также кисты, связанные с опухолевыми процессами. УЗИ помогает различать доброкачественные и злокачественные образования, что важно для выбора дальнейшей тактики лечения.
Как часто рекомендуется проходить УЗИ для контроля кистозных образований?
Частота прохождения УЗИ зависит от характера и размера кистозных образований, а также от рекомендаций лечащего врача. В большинстве случаев, если киста не вызывает симптомов и не увеличивается в размерах, достаточно проводить УЗИ раз в 6-12 месяцев. Однако при наличии изменений или симптомов может потребоваться более частое обследование.
Советы
СОВЕТ №1
Перед проведением УЗИ обязательно проконсультируйтесь с врачом. Он поможет определить необходимость исследования и объяснит, какие именно области нужно обследовать, чтобы получить наиболее точные результаты.
СОВЕТ №2
Подготовьтесь к процедуре. В зависимости от области исследования, может потребоваться специальная подготовка, такая как соблюдение диеты или отказ от пищи перед УЗИ. Уточните у врача, что именно нужно сделать.
СОВЕТ №3
Обратите внимание на квалификацию специалиста, проводящего УЗИ. Опытный врач сможет не только правильно интерпретировать результаты, но и дать рекомендации по дальнейшим действиям в случае выявления кистозных образований.
СОВЕТ №4
Не игнорируйте последующие обследования. Если УЗИ выявило кистозные образования, важно следовать рекомендациям врача и проходить дополнительные исследования для мониторинга состояния и исключения возможных осложнений.


















