Народные приметы – это пережиток прошлого, к которым прислушивается современный скептик. Изменения в организме подсказывают события будущего для взрослых и детей. Если зуб мудрости не растет, ломается, крошится или болит – долго ждать перемен не придется. В народе проблемы с коренными резцами относят с родовыми проклятиями и грехами, которые исходят от семьи.
Примета о молочных зубах
На расположение зубов и их состояние обращали внимание с детства. Существует множество народных поверий, относительно молочных зубов. По ним могли предсказать судьбу ребенка и его семьи. Так например, если у первенца первыми появлялись резцы верхней челюсти, то в скором времени в семье должен был появиться еще один младенец.
В древности люди опасались детей, которые рождались с зубами. Этот признак считался меткой дьявола. Ребенок с прорезавшимися зубами (особенно с клыками) считался служителем темных сил.
Интересные приметы о молочных зубах связаны с их выпадением. Практически все знают примету о том, что выпавший зубик нужно отдавать мышке. Расставание с первыми молярами — это особый ритуал, поэтому просто выбрасывать их нельзя.
В Англии и Германии от детских молочных зубов избавляются особым образом — их присыпают солью и сжигают. В этих странах не принято выбрасывать молочные детские зубы. Считается, что этим родители навлекают на малыша болезни и скорую смерть. Ведь зачастую колдуны и темные маги используют в своих ритуалах биологический материал людей (волосы, ногти, кровь), в том числе и зубы.
Необычный ритуал с молочными зубами выполняли и на Руси. Выпавший резец родители ребенка зажимали в ладони и поворачивались спиной к печке с просьбой заменить выпавший зубик здоровым коренным. После этого потерянный зубок выкидывали в пламя печи через плечо. Предки внимательно относились к этому ритуалу и старались проводить его обязательно. В противном случае, на месте выпавшего элемента у ребенка мог вырасти кривой и острый зуб.
Современные родители хранят первые выпавшие зубы своего ребенка. Хотя эзотерики считают эти действия не совсем правильными. Они полагают, что если не избавиться от молочных элементов, то коренные появятся с запозданием или вообще не прорежутся. То же самое относится и к зализыванию ранки ребенком после выпавших резцов.
Современные родители отдают молочные зубы ребенка в банк стволовых клеток. Если зубы послужат на благо другого, то ребенок будет вознагражден судьбой. Стволовые клетки, полученные из зубов, используют для терапии многочисленных болезней: от патологий зрительной системы до сложных переломо
Дурной знак
С незапамятных времен зубы считались символом крепости и силы. Неслучайно знахари и шаманы разных народов использовали волчий клык в качестве оберега. Согласно поверьям, клык отважного хищника способен защитить человека от физических увечий, а также от сглаза и порчи.
Охотник знал, что, если он потерял волчий резец-оберег, то в ближайшее время ему стоит проявлять бдительность. Только это могло спасти человека от болезни и гибели. Плохим знаком считалось, если у взрослого человека сломался коренной зуб.
Поверья принимали во внимание не только сам факт утраты зубца, но и нижеперечисленные нюансы этого события:
- имеет значение, удалился ли спонтанно (когда человек надкусил что-то слишком твердое), или же резец был выбит в драке;
- важно, была кровь на десне или потеря резца была бескровной;
- насколько сильными были болевые ощущения;
- самой удручающей приметой считалось потерять зуб мудрости.
Щербинка между зубами
Примета связанная с щербинкой между зубами имеет и положительное, и отрицательное толкование. Рассмотрим подробнее, какие толкования если для каждого конкретного случая.
Положительные толкования приметы о щербинке:
- Человек с рассматриваемой особенностью внешностью имеет жизнерадостный и веселый характер. Считается, что он добьется больших успехов в жизни, будет богатым и популярных.
- Щель между зубами — символ артистических и творческих способностей. У мужчин щербинка между зубам толкуется, как задорность и обаятельность, а у женщин — сексуальность и романтичность.
- Щербинка между передними резцами — символ чувствительной натуры, которая умеет радоваться жизни и приносить радость другим людям.
Среди негативных толкований щербинки между зубами следует отметить подверженность личности дурному влиянию и слабую силу воли. Другие плохие толкования приметы:
- глупость;
- безответственность;
- легкомыслие;
- стремление к получению плотских наслаждений.
Зороастрийцы особенно настороженно относятся к примете. По их толкованию щель между зубами — знак тяжелой родовой кармы.
Способы восстановления
С каждым годом мода на белоснежную голливудскую улыбку все растет и растет, заставляя людей идти на любые жертвы ради красивых и ровных зубов. И надо заметить, что такое поведение вполне обосновано, ведь чем привлекательнее человек выглядит, тем успешнее он в бизнесе и личной жизни. И поскольку спрос на стоматологические услуги по восстановлению с годами только повышается, расширяется и ассортимент применяемых материалов, а также способов наращивания сломанного зуба.
Выбор метода производится исходя из состояния поврежденных зубов, а также пожеланий пациента, т.к. некоторые из них весьма затратны. И все же предпочтительнее выбирать более дорогие и долговечные материалы, ведь, как известно, скупой платит дважды.
- Прямой метод применим для любой области, поскольку является не только самым щадящим, но и самым быстрым. Чаще всего восстановление отколотого зуба по данной методике производится в один прием. Материалы в процессе используются самые что ни на есть современные, при помощи которых можно подогнать восстановленную часть зуба под его естественный цвет. Также применение данного метода позволяет по максимуму сохранить здоровые и неповрежденные ткани. К примеру, реставрация при незначительных разрушениях производится именно прямым методом.
- Непрямой метод предусматривает восстановление поврежденных зубов при помощи заранее изготовленных вкладок, виниров, коронок и накладок. При первичном посещении врач делает слепок , что позволяет подготовить в лабораторных условиях соответствующий природной форме, цвету и функциям материал. Для того чтобы нарастить сломанный передний зуб, чаще всего используются виниры. Они помогают устранить несущественные дефекты, делая их абсолютно незаметными. Эффект такого восстановления долговечен и позволяет уберечь зуб от дальнейшего разрушения, однако, большой недостаток виниров в том, что для их установки возникает необходимость подтачивать поврежденный зуб. При невозможности произвести пломбирование, зуб восстанавливают при помощи накладок или сохраняют остатки под коронкой. Этот вариант наиболее экономичен и востребован, а современная металлокерамика отвечает эстетическим запросам и служит годами.
Приметы о зубах мудрости
Зубы мудрости — элементы, которые появляются во рту человека последними. Их прорезывание на поверхность десны связывают с серьезными жизненными переменами. В древние времена полагалось, что чем дольше и болезненнее прорезывается зуб, тем приятнее и весомее окажутся перемены. Тем, кто мучается с зубами мудрости, будет вести в любви и в профессиональной деятельности.
Особое толкование примета о зубах мудрости имеет для беременных. Считается, что если во время вынашивания ребенка прорежется восьмерка, то ребенок родится очень умным и одаренным. Выпадение или раскрашивание восьмерки при беременности — дурной знак. Родившийся малыш создаст множество хлопот маме как в детском, так и во взрослом возрасте.
Если зуб вылез во время подготовки к свадьбе — то это дурной знак. Невесте или жениху необходимо внимательнее присмотреться к избраннику. Велик риск, что партнер связывает себя брачными узами из-за меркантильных соображений.
Плохо толкуется примета, если удалить восьмерку. Она символизирует отсутствие покровительства Высших Сил. У врача, который будет удалять зуб, необходимо попросить вернуть его. Восьмерки хранят дома на протяжении всей жизни или носят с собой, как оберег.
В старину родители использовали выпавшие восьмерки для передачи жизненного опыта младшим поколениям. Например, матери клали восьмерку под подушку дочери, после того, как у девушки пришла менструация. Этими действиями родитель оберегал ребенка от ошибок в общении и отношении с противоположным полом. Те же самые действия должен был сделать отец после того, как сын начинал пользоваться бритвенным станком.
В старину считалось, что человек, у которого прорезались все зубы мудрости, имеет мощную защиту рода. Поэтому больные элементы не лечили, их старались сохранять до последнего. Тех, у кого не появлялись восьмерки, считали грешными. Полагалось, что на их долю выпала расплата за родовые грехи.
Особое значение имеет примета о пятом зубе мудрости, который появлялся в крайне редких случаях. Пятый зуб мудрости — символ мощного родового проклятия. По другому толкованию, такие люди являлись носителями важной миссии и появились на земле с определенной целью.
К чему растет
Этим вопросом задавались еще в древности славяне, германцы и индейцы. Появление зуба мудрости для них было признаком того, что человек достиг определенной духовной мудрости и получил покровительство духов рода. Также считалось, что они появляются в тот период жизни человека, когда он может и готов к принятию новых знаний. Плохим знаком была потеря такого зуба. Она означала уменьшение мудрости и потерю защиты предков.
В современном мире каждый человек самостоятельно решает для себя сохранять или удалять зуб мудрости. Наличие или отсутствие «мудрых» зубов обуславливает наследственность, качество питания и проведенные ранее стоматологические мероприятия.
На сегодняшний день появление зуба мудрости не приносит ничего кроме боли, мучений и дискомфорта. Ни о каком почете и славе не может быть и речи. Прорезывание может стать причиной повышения температуры и бессонницы. Удалить его не всегда получается с первого раза даже при помощи стоматологов.
Даже если прорезанный зуб вас не беспокоит, его все равно придется удалить рано или поздно. Но не стоит это делать сразу, если конечно он вас не беспокоит, ведь появление коренной восьмерки сулит приятные подарки судьбы их обладателю.
Приметы о выпавших зубах
Выпавший зуб символизирует серьезное заболевание. Эта примета не является простым народным суеверием. Она подтверждается и с медицинской точки зрения. Ведь внезапная потеря зубного ряда — симптом серьезных неполадок в организме.
Увидеть выпавший зуб во сне — к смерти близкого человека. Также сон символизирует возможную порчу или проклятье, которое было наведено с помощью мощного черного ритуала (особенно если был потерян клык). Выпадение резцов во сне — к серьезным ссорам с друзьями или родственниками, а также разлуке с любимым человеком.
Примета о выпавшем зубе у взрослых, имеет лишь негативные толкования. Среди них:
- наличие дыр в ауре;
- скорый развод;
- предательство близкого человека;
- потеря денег;
- наличие энергетического вампира среди хороших знакомых и друзей.
В каждой байке есть доля правды
Например то, что прорезывание может быть утрудненным. В таких случаях десна отекает и травмируется зубами, которые находятся рядом. Та часть, которая находится над еще не прорезавшимся зубом (капюшон), может скапливаться гной. Если это происходит на нижней челюсти, то воспаление может затронуть мышцы, закрывающие рот. И тогда открыть широко рот у Вас не получится.
Что делать в таком случае? Закрыть рот и бежать к стоматологу. А то если затянуть, зуб мудрости может вызвать поднятие температуры, проблемы с глотанием и воспаление мышц.
Что сможет сделать врач? Сперва, дантист сделает анестезию, затем произведет иссечение участка десны над зубом, который плохо прорезывается. Это обеспечит отток гноя и поможет зубу родиться быстрее. После этого стоматолог назначит антибиотики и средства против воспаления. А если все повторится, то надо уже удалять зуб.
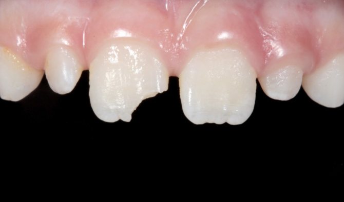
Приметы о больном и сломанном зубе
Примета об отколотом зубе также не предвещает хорошего. Она символизирует потерю близкого человека или друга. Основные приметы о поломки элементов:
- отколотый резец — к болезням, проблемам со здоровьем;
- скол моляра или восьмерки- символ расплаты за предыдущие грехи;
- поломка клыков — к порче и сглазу.
В таких случаях лучше обратиться к профессиональным магам и целителям. Можно самостоятельно нейтрализовать негативное толкование приметы, но результаты таких действий не всегда будут эффективными.
Беременные по отколотым зубам могут определить пол будущего ребенка. Если повредилась челюсти снизу, то стоит ожидать появления наследника. Сломанный зуб сверху — к рождению дочки.
Со времен предков известен особый ритуал, что делать с осколком зуба. Лучше всего закопать осколок в землю. Для этого выбирают малолюдное место. Жителям города можно закопать осколок в цветочный горшок. Эти действия позволят уберечься от негативной энергии.
Защита от предков и другие суеверия
Обладатели четырех зубов мудрости считались баловнями судьбы и обретали защиту духов предков шести поколений.

Народных примет о мудрых корнях не так-то и много, все они говорят об опыте и большом складе ума своего обладателя. Например, считается, что чем сильнее боль восьмых зубов при прорезании, тем большую прибыль и процветание можно ожидать. Особенно в тот год, когда зуб-мучитель решил прорезаться сквозь десну.
Староверы поговаривают, что удалять восьмерку нужно только в крайних случаях, так как вмешательством стоматологов вы лишаете себя защиты потусторонней силы. Кстати, зафиксированы случаи и появления пятого мудрого корня. Такие событие считалось знаком свыше и говорило о наличии у человека магических способностей.
Если вам пришлось все же вырвать мудрый зуб, то ни в коем случае, не выкидывайте его. Храните счастливый клык дома, положив его в маленький коробок.
Приметы о зубной боли
Неприятные ощущения в челюсти появляются у людей, которые часто совершают необдуманные поступки. Они предупреждают о возможном ухудшении отношений с близкими.
Сколотый зуб в драке — символ потери ангела-хранителя. Человеку, которому выбили или сломали участок челюсти, необходимо задуматься над своими поступками и изменить поведение.
Почему портятся зубы в период беременности
Во время беременности организм будущей матери переживает колоссальные нагрузки, связанные с необходимостью обеспечения растущего крохи необходимыми для роста витаминами и микроэлементами.
Накопленные в благоприятный период запасы кальция, фосфора, натрия и др. поступают в первую очередь к плоду, что может привести к дефициту у беременной определенных микроэлементов. Это может стать причиной появления кариеса на здоровых зубах в период вынашивания плода.
Кроме того, в это время изменяется кислотно-щелочной состав выделяемой слюны в сторону повышения кислотности, что создает дополнительную нагрузку на костные ткани.
Пародонтоз
Еще одно заболевание десен, сопровождающееся зудом, – пародонтоз. Его признаки:
- разрушение соединительных тканей;
- визуальное увеличение размера зубов из-за убыли пародонта;
- нарушение целостности зубного ряда;
- адентия.
Важно!
Главное – отсутствие воспалительного процесса.
Пародонтоз – неинфекционное заболевание. Его опасность – в длительном развитии при слабо выраженных симптомах. Обычно пациенты даже не подозревают про патологию, пока она не перейдет в позднюю стадию и не начнется выпадение зубов.
Как быстро помочь малышу
- Если чешутся зубы у ребенка при прорезывании, надо давать малышу специальный прорезыватель. Перед этим его нужно заморозить. Лед обезболит десну, а зубы не будут так сильно чесаться.
- При молочнице следует как можно чаще обрабатывать пораженные поверхности раствором соды. Кроме того, эффективно помогают противогрибковые препараты. Поэтому, если у малыша появился белый налет в полости рта, он отказывается от еды и постоянно пытается почесать зубы, нужно сразу обратиться за помощью к педиатру или детскому стоматологу.
- При аллергии в первую очередь проводятся аллергопробы. Отказ от неподходящей зубной пасты или продукта приводит к тому, что симптомы быстро исчезают.
Таким образом, от проблемы чесания зубов можно избавиться очень быстро, если правильно установить причину такого состояния. А для этого требуется консультация врача-стоматолога.
Первые признаки гингивита у беременных женщин
Распознать начинающееся заболевание можно по следующим симптомам:
- появляется зуд в десне между зубами или в корневой зоне;
- больно дотрагиваться до десен и слизистых оболочек, может ощущаться жжение;
- наблюдается припухлость десен или внутренней стороны щеки;
- зубы начинают реагировать на холодное, горячее, кислое, сладкое.
При появлении первых подозрительных симптомов будущая мама должна незамедлительно посетить стоматолога. Запускать стоматологические болезни опасно, а во время беременности – это опасно вдвойне, поскольку здоровье будущего ребенка оказывается под угрозой.
Гингивит – это воспаление примыкающей к зубам краевой части десны, включая межзубные сосочки Основные симптомы гингивита – это кровоточивость, синюшность или покраснение десен. А также может проявляться в виде разрастания десны или ее некроза.
Как лечится зуд
Помимо тех средств, которые призваны унять зуд в деснах при незначительной степени дискомфорта, иногда бывают более радикальные меры. Если самостоятельно с этим справиться не получается, необходимо обратиться за профессиональной помощью. Специалист сможет точно определить, почему чешутся десны и даст рекомендации. Схема лечения будет зависеть от конкретной клинической картины — того, насколько запущено заболевание.
Что прописывает врач
Самостоятельно применять какие-либо препараты нельзя, а только по назначению:
- При пародонтите, гингивите, пародонтозе требуется профессиональная чистка зубов с удалением налета, камня. Далее следует продолжительный курс лечения антисептиками и некоторыми нестероидными препаратами;
- При герпесном стоматите у взрослых назначается комплексная терапия, включающая использование оксолиновой мази, Ацикловира. Также требуются противовоспалительные, противовирусные средства, например, Зовиракс, Иммуноглобулин;
- Если десны начинают зудеть из-за проблем с нервной системой, прописываются соответствующие седативные препараты;
- Зуд аллергического характера требует терапии при помощи лекарств антигистаминного действия. При этом очень важно исключить провоцирующие факторы из повседневности — исключить из рациона продукты питания, отказаться от косметики, при необходимости заменить пломбу, брекеты;
- При кандидозе пациенту нужно лечение антисептиками противогрибкового действия — Флуконазол, Фукорцин и т. д.
При заболеваниях пародонта на запущенной стадии некоторые люди могут испытывать нестерпимый зуд, справиться с которым не способны консервативные методы. Тогда после предварительной диагностики специалист может порекомендовать хирургическое лечение:
- Так называемую лоскутную операцию, при которой для удаления налета необходимо сначала приподнять лоскут десны, а затем пришить его обратно с полным воспроизведением естественной зубодесневой фиксации;
- Применение трансплантатов — тканевых, костных, предназначенных для устранения последствий заболевания, то есть замещения утраченной костной ткани.
Лечение хронических стоматологических заболеваний
При развитии подобных недугов пациент должен как можно скорее обратиться к стоматологу-пародонтологу. Лечение проходит следующим образом: прежде всего доктор с помощью специальных инструментов очищает зубы и десны от скопившегося налета, после он назначает пациенту лечебные полоскания и аппликации на десны. Для этого применяются различные обеззараживающие и противомикробные препараты – растворы, гели, мази.
Внимание! Наиболее часто встречающимися болезнями являются грибковые поражения: кандидоз, лейкоплакия, афтозный и герпетический стоматит и др.
Эти заболевания можно обнаружить у себя самостоятельно. Для этого необходимо взять два зеркала, одно из них должно быть такого размера, чтобы его можно было вставить в рот. Теперь нужно внимательно осмотреть десна, язык, внутреннюю поверхность щек. В норме поверхность слизистых должна быть гладкой и иметь бледно-розовый оттенок. Любые изменения цвета, наличие язвочек, ранок, сыпи, белых или желтоватых пленочек свидетельствует о каком-либо заболевании. Обнаружив у себя нечто подробное, нужно посетить стоматолога. Иногда зуд может ощущаться в труднодоступных уголках рта, которые невозможно осмотреть самостоятельно. В этом случае также не стоит тянуть с визитом к врачу. Очень часто грибки прячутся именно в таких местах. Кроме того, иногда невинный зуд в деснах может являться начальным признаком такого грозного заболевания, как рак.
Лечение заключается в очищении зубов и десен специальными инструментами от скопившегося налета, назначении лечебных препаратов для полоскания и обеззараживания ротовой полости.
Как уберечься от катастрофы
Чтобы нейтрализовать влияние мрачных примет, вам стоит прислушаться к таким советам:
- Уделите внимание своему здоровью. Вам стоит посетить стоматолога.
- На ближайшие месяцы откажитесь от любых рискованных начинаний.
- Если вы чувствуете упадок сил, пройдите комплексное обследование.
- Попросите прощения у тех, кого вы несправедливо обидели. Если человек не желает разговаривать с вами, можете написать ему письмо. Не важно, будут ли прочитаны строки, исполненные искреннего раскаяния. Главное, вы снимете с себя груз вины. А значит, ваша энергетическая защита станет сильнее.
- Если вы конфликтуете с коллегами или соседями, сделайте все возможное, чтобы помириться. К сожалению, дипломатично устранить агрессию окружающих могут не все. Если уговоры и здравые аргументы не действуют на ваших врагов, физически дистанцируйтесь от источника стрессов. Поменяйте работу. Можете даже переехать в другой город. Чем меньше недоброжелательных людей будет в вашем окружении, тем меньше вероятности стать жертвой порчи или проклятия.
- Чаще гуляйте на природе.
- Помяните усопших родственников.
Какие бы действия вы ни предпринимали, чтобы снизить возможные риски для здоровья и достатка, не забывайте мыслить позитивно. Любая примета, даже самая грозная — не приговор. Зная об опасности, вы можете снизить вероятность грядущего неприятного события.
Выводы
Подведём краткие итоги.
- Хотя зубы мудрости фактически являются рудиментом, они вполне могут прорезаться беспроблемно. При этом они ничем не будут отличаться от остальных зубов.
- Их прорезывание очень часто сопровождается неприятными ощущениями, и если боль слишком сильна, повышается температура, наблюдается выделение крови и гноя, то лучше обратиться к врачу.
- Удалять восьмёрки нужно при патологическом прорезывании: дистопированном, ретинированном или при наличии смешанной патологии.
- В зависимости от сложности случая хирург-стоматолог выберет подходящий метод удаления зуба мудрости. После чего следует соблюдать рекомендации врача и пить прописанные им лекарства — тогда реабилитационный период пройдёт быстро и менее неприятно.
- Но далеко не всегда необходимо удалять зубы мудрости: если они ничем не мешают и прорезались нормально, то их вполне можно лечить. Хотя восьмёрки более подвержены кариесу и на них он чаще появляется вторично.
Зуд в области зубов у ребенка
Причины того, что у малыша чешутся зубы:
- прорезывание зубов;
- молочница;
- аллергические реакции на детские зубные пасты или продукты питания.
Кажется, что чешутся зубы: причины
- гальванизм. Он возникает, когда в полости рта находятся 2 и более несовместимых друг с другом металлов. Например, у пациента есть мостовидный протез, который стоит во рту уже несколько лет. Если ортопед поставит этому пациенту коронку, неправильно подобрав металл, человек будет чувствовать жжение языка, чесание зубов и металлический привкус во рту;
- длительный стресс часто приводит к развитию данного симптома;
- заболевания десен провоцируют ощущение зуда в зубах;
- ортодонтическое лечение нередко начинается с того, что на следующий день после постановки брекет-системы пациент обращается к врачу с жалобой на то, что ему все время хочется почесать зубы;
- аллергические реакции;
- недостаток витамина С.
Приметы про клыки
Древние обычаи помогают избежать опасности. Если рост дополнительных резцов длится слишком долго, необходимо обследоваться у врача. Такая примета сулит скрытые болезни. С вырванным клыком поступают иначе, его складывают в чистый платок и закапывают под цветущим деревом. Если отросток откалываетсбеда уже стоит на пороге – проблемы с корневыми отростками влекут за собой перемены в жизни.
Прорезавшийся до половины клык сверху свидетельствует о достижении поставленных целей, снизу – трудностей не избежать. Перемены в поведении взрослого в период роста кликов указывают на его духовность. Если он мучается от боли или становится агрессивным – на такой личности лежит груз прошлых жизней. В народе такие мучения называют расплатой за грехи предков.
Зачем удалять ? В славянских народах не принято избавляться даже от деформированных отростков, чтобы не назвать беду на род. Если резец сильно болит или кровоточит, его лечат. Цыгане предостерегают от потери удаленного резца – моляр станет причиной наведенного на род проклятья. Выбитый клык, который рос, сулит неприятности с законом. Пострадавшему стоит опасаться противозаконных или раскованных действий.
Зуд после экстракции моляра
Существует несколько причин, из-за чего у пациента, удалившего зуб, развивается подобная побочная реакция:
- Используемый инструментарий задел альвеолярный нерв, произошел его разрыв или другая травма;
- Если во время процедуры были повреждены нервные окончания;
- В лунку попал кусочек инструмента, осколок зуба.
При любом воспалительном процессе самостоятельно можно помочь себе полосканиями с содой, соляным раствором, отваром ромашки, дубовой коры, аптечными средствами — Фурацилином, марганцовкой, Хлоргексидином.
Если это не помогает в течение нескольких суток, требуется более сложное лечение в стоматологической клинике.
В каких случаях требуется помощь врача?
Бывают ситуации, когда со сменой органов во рту возникают проблемы.
80% малышей обнаруживается, что постоянный коренной зуб прорезывается за молочным, и это формирует неправильный прикус. Временное образование, которое не хочет покидать свое место, удаляется хирургическим путем. Это позволит избежать кривого роста коренного элемента. Только стоматолог сможет вырвать единицу, если ее корень не рассосался, а глубоко врос в десну. Самостоятельное удаление может спровоцировать сильное воспаление слизистой.
В большинстве случаев молочные зубы выпадают сами. Помощь специалиста может понадобиться ребенку в нескольких нетипичных ситуациях:
- десна отекла и сильно болит;
- молочный элемент сломался;
- ранка долгое время кровоточит;
- ребенок проглотил зуб.
Шаги
Домашние средства
- Можете попробовать прополоскать рот фильтрованной водой, ведь у вас может быть аллергия на какой-то компонент, содержащийся в проточной воде, из-за чего у вас появился зуд десен.
- Если у вас чешутся десны, пососите кусочек льда.Холод может на время снять дискомфорт и неприятные ощущения, уменьшит воспаление и зуд десен.
- Если вам не нравятся кубики льда, попробуйте пососать фруктовый лед или замороженные ягоды.
Прополощите рот соленой водой.
Соленая вода поможет на время устранить зуд десен, хотя, конечно, все зависит от конкретной ситуации и причины появления зуда. Полощите рот соленой водой несколько минут, пока не почувствуете облегчения.
Сделайте раствор перекиси водорода.
Для этого возьмите стакан теплой воды и капните туда перекись водорода. Прополощите этим раствором рот – это на какое-то время снимет зуд и воспаление.
Сделайте пасту на основе пищевой соды.
Смешайте воду и соду до консистенции пасты, а затем нанесите пасту на десны. Паста поможет замедлить развитие бактериальной инфекции, которая является причиной зуда десен.
Приложите алоэ вера.
Последние исследования показали, что алоэ вера помогает снять воспаление в полости рта. Приложите к деснам алоэ вера, чтобы снять воспаление и уменьшить дискомфорт. Алоэ можно приобрести в нескольких формах, каждая из которых поможет снять зуд десен:
- зубные пасты и растворы для ополаскивания полости рта с добавлением алоэ вера;
спреи для наружного применения;соки, которые можно использовать для полоскания. Ограничьте количество острой и кислой пищи.
Старайтесь употреблять в пищу меньше блюд и продуктов, которые могут усугубить воспаление и зуд. Ограничьте потребление острой и кислой пищи, а также курение табака.
Возможно, врач посоветует принимать антигистаминные препараты.
Антигистаминные препараты нейтрализуют аллергены и могут снять зуд и воспаление десен. Если причиной зуда десен является аллергическая реакция, антигистаминные препараты помогут избавиться от дискомфорта и зуда. Вот несколько примеров антигистаминных препаратов, которые вы можете принимать внутрь:
- Хлорфенирамин (доступен в капсулах 2 и 4 мг). Принимайте по 4 мг каждые 4–6 часов (не больше 24 мг в сутки)
С жалобой «чешутся зубы» к стоматологу может обратиться как взрослый человек, так и ребенок. Люди, у которых имеется предрасположенность к и слизистой полости рта, часто страдают от подобного симптома. Человеку трудно сосредоточиться на работе или получить удовольствие от отдыха, ведь он постоянно помнит о своих зубах.
Зудят десны: что делать
Доктор диагностирует заболевание после визуального осмотра, сбора анамнеза, при необходимости берет соскоб со слизистой для анализа и определения природы патологии. После постановки диагноза назначают лечение медикаментами или рекомендуют другие методы.
Препараты для снятия зуда
- При аллергии назначают прием таблеток: Зодак, Супрастин, Кларитин, Кларидол, Эриус, Тавегил. Иногда их включают в курс лечения при простуде, чтобы снять отек.
- Лечение стоматологических болезней начинают с профессиональной чистки зубов (насколько это возможно по состоянию здоровья), чтобы устранить налет в межзубных промежутках, потом регулярную обработку антисептиками: Хлоргексидином, Мирамистином, Хлорофиллиптом, Стоматофитом. После обработки на десны наносят противомикробные и заживляющие мази, кремы: Солкосерил, Метрогил дента, Холисал Дентал.
- Вирусное герпетическое поражение устраняют Ацикловиром, Зовираксом.
- При грибковых поражениях применяют Флуконазол, Фукорцин, Клотримазол, Леворин, Нистатин. Препараты назначают в разной форме для приема внутрь и наружной обработки.
- Дискомфорт на нервной почве или от нехватки витаминов пропадет сам, когда будет устранена основная причина. Обычно назначают седативные препараты, иммуномодуляторы, витамины, физиопроцедуры.
Народные средства
Зуд десен – это тот случай, когда для его избавления эффективна домашняя аптека. Средства можно применять в дополнение к медикаментам или в качестве основного лечения:
- Приготовить отвар из лекарственных трав. Рекомендованы ромашка, эвкалипт, шалфей, кора дуба. 1 столовую ложку сухой травы или смеси из разных растений залить стаканом кипятка, после остывания процедить и полоскать рот.
- Для такой же процедуры вместо трав можно воспользоваться пищевой содой. Для приготовления надо в стакане теплой воды растворить 1 чайную ложку соды.
- При флюсе вместо соды рекомендована поваренная соль. Приготовленный раствор надо набирать в рот и держать в области больного зуба 10 секунд, потом сплевывать. После процедуры необходимо прополоскать рот чистой теплой водой.
- При стоматологических болезнях и для их профилактики рекомендовано обрабатывать десны соком алоэ, облепиховым маслом, настойкой прополиса.
Кора дуба хорошо заживляет и устраняет воспалительные процессы, но при постоянном применении может окрасить зубную эмаль.
Устранение симптома
«Если чешутся зубы, что делать?» – интересуются пациенты. Выбор действий полностью зависит от причины зуда:
- Если зуд в области зубов вызван явлением гальванизма, единственным выходом будет повторное протезирование. Врач-ортопед составит новый план протезирования уже с учетом особенностей реакции на металлы.
- При чесании зубов, вызванном стрессовыми ситуациями, можно сначала попробовать справиться самостоятельно. Стоит начать пить травяные чаи и сборы, подкорректировать режим дня и питания. Если же стресс очень серьезный, лучше обратиться за помощью к психотерапевту, который пропишет успокоительные препараты.
- При заболеваниях десен можно начать лечение у терапевта, но скорее всего, он порекомендует обратиться к пародонтологу. Такие заболевания лечатся антисептическими обработками (аппликациями и промываниями) у доктора в кабинете и самостоятельными полосканиями дома.
- В начале ортодонтического лечения чесание зубов первые два дня – нормальное явление. Если зуд совсем небольшой, нужно просто потерпеть эти несколько дней. Но если он сильный, лучше обратиться к своему ортодонту, он порекомендует мазь для снижения симптомов или ослабит воздействие дуги на брекеты.
- При аллергических реакциях надо понять, чем они вызваны. Если организм отреагировал на зубную пасту, ополаскиватель или новый протез, то необходимо устранить этот раздражающий фактор. А если зубы чешутся из-за приема экзотической пищи, через пару дней симптом пройдет. Чтобы ускорить выздоровление, рекомендуется несколько дней принимать антигистаминные препараты.
- Недостаток витамина С чаще всего наблюдается в весеннее время. Лучше не допускать такого состояния, но если уже установлен дефицит этого витамина, нужно есть больше апельсинов, сладкого болгарского перца и принимать аскорбиновую кислоту.
Причины зубного зуда
Как и ряд других заболеваний, зуд имеет несколько самых распространенных причин. Вот эти причины:
- Налет либо зубной камень . Зуд в этом случае является их симптомом наряду с кровоточивостью дёсен и появлением неприятного запаха изо рта .
- Хронический стресс. Если вы постоянно нервничаете, волнуетесь, зуд зубов — это психосоматическая реакция организма. В этом случае нужно пропить курс валерианы либо другие успокаивающие препараты.
- Аллергические реакции. Нередко подобранные металлические конструкции (брекеты либо коронки) просто не «уживаются» с бактериями ротовой полости. Это индивидуальная непереносимость, которая приводит к аллергическим реакциям в виде отеков. Дорогие металлы, как правило, не вызывают аллергии, чего не скажешь об экономвариантах.
- Неправильно подобранная зубная паста. Иногда на пасту и у детей, и у взрослых может развиваться аллергия. Если уже во время чистки или после неё десны чешутся, то наверняка проблема именно в пасте. Поменяйте ее, подберите подходящую.
- Воспалительные заболевания. Зуд часто бывает симптомом стоматита и гингивита, пульпита и пародонтоза .
- Дефицит витамина С. Проанализируйте свой рацион. Если в нем мало овощей, цитрусовых, яблок, то, возможно, недостаток аскорбиновой кислоты и является одной из причин зуда зубов. Ведь так можно и цингу заработать.
- Грибковые болезни. Если в ротовой полости есть белые пятна и налёт, то вполне возможно, это кандидоз, то есть молочница. Чаще такое случается у детей, которые постоянно все тянут в рот. Лечение молочницы ротовой полости комплексное. Это терапия противогрибковыми препаратами и витаминами, диета. После излечивания проходит и зуд зубов.
- Прорезывание зубов. Такое случается при смене молочных зубов на постоянные. В таких случаях рекомендуется проконсультироваться у педиатра и детского стоматолога.
- Изменение состава либо кислотности слюны. Эта причина определяется после специальных исследований и анализов в стоматологической поликлинике.
Воспалительные заболевания полости рта
Вторыми по частоте причин зуда в деснах выступают воспалительные процессы слизистой рта. К ним относят:
Чтобы предупредить воспалительные процессы десен, полость рта необходимо регулярно осматривать. Обследование проводят с помощью зеркальца при хорошем освещении. Малейшие пятна, язвы, высыпания требуют консультации у стоматолога.
Важно!
Не всегда возможно самостоятельно заметить новообразования в ротовой полости. Часто поражения локализируются в труднодоступных местах, и обнаружить их может только врач.









