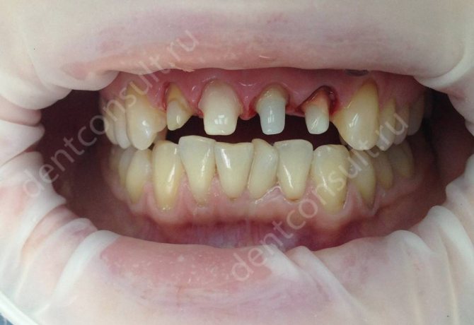
Препарирование — это подготовительный этап обработки зуба, при котором врач равномерно обтачивает слои дентина и зубной эмали с поверхности. Правильная обточка обеспечивает максимально плотное прилегание протезов к культе: вкладок, зубных коронок, мостов.
В зависимости от материала ортопедических конструкций, зубы могут подвергаться сильной или минимальной обточке. Например, под металлокерамику сошлифовывается больший слой зубной эмали, чем при протезировании коронками из циркония или керамики. В этой статье мы расскажем про методы препарирования зубов, и какие особенности есть у каждого вида обточки.
Что такое препарирование зубов
В рамках процедуры специалист стачивает твердые ткани зуба с целью достижения ровной и гладкой поверхности, подходящей для фиксации коронки или ортопедической конструкции. Только максимально плотный контакт живой и искусственной ткани обеспечивает надежную защиту эмали от травмирования, а также гарантирует прочность фиксации изделия.
Кроме того, зубу придается определенная форма, которая точно повторяет внутреннюю полость коронки. Это позволяет зафиксировать протез более плотно и точно.

Если раньше данная процедура была довольно длительной и достаточно болезненной, то теперь перед ее проведением пациенту ставят укол с эффективным местным анестетиком. Современные методы обезболивания гарантируют абсолютную безболезненность и высокий уровень комфорта для пациента.
Для чего нужны временные коронки?
После процедуры препарирования на сточенный зуб сразу надевают временную коронку. Она обычно изготавливается из пластмассы. Коронка будет находиться на зубе до тех пор, пока не будет изготовлен постоянный протез, как правило, около двух недель. Некоторые пациенты не понимают, зачем нужны дополнительные затраты по изготовлению и установке временных коронок. Такой этап в процессе протезирования на самом деле очень необходим. Временные коронки позволяют сохранять оголенные зубы от внешних факторов, а также правильно распределить жевательные нагрузки на них.
- Они защищают зуб, который готовят к установке постоянной коронки, от вредного действия бактерий и инфекций. Если не использовать такие коронки, после установки постоянного микропротеза в зубе под ним может развиться воспалительный процесс. Лечение таких осложнений будет физически затруднено.
- Обточенный зуб очень тонкий, и он может быть поврежден противоположным зубом при жевательных нагрузках во время еды. Он может немного сместиться в сторону, что станет причиной несоответствия его формы и изготовленного протеза.
- За время изготовления постоянного протеза, а это может быть до трех недель, пациенту не надо переживать по поводу не очень эстетического состояния зубов. Временные коронки являются по виду и функциям аналогами постоянным, только изготавливаются из более дешевого материала.
Методы обточки
- туннельная обточка: классическое использование бормашины с применением металлического или алмазного наконечника. Аппарат работает в различных скоростных режимах, но на очень больших оборотах, поэтому чтобы не произошел перегрев тканей, обязательно подается струя холодной воды. Методика позволяет провести стачивание любого количества живых тканей зуба,
- ультразвук: данный метод предполагает использование специального аппарата, передающего высокочастотные вибрации. При этом инструмент не вступает в непосредственный контакт с эмалью, благодаря чему снижается риск травмирования дентина и нерва. Процедура совершенно безболезненная и безопасная, но позволяет провести препарирование лишь небольшого количества зубных тканей,
- лазер: процедура не представляет никакой угрозы для здоровья и позволяет в самые сжатые сроки добиться нужного результата. Данный способ относится к бесконтактным методикам обточки зубов, так что риск повреждения пульпы сведен к самому минимуму. Правда, также применяется при снятии небольшого количества зубных тканей,
- воздушно-абразивная техника препарирования: метод предполагает воздействие воды со смесью абразивных частиц, в результате которого твердые ткани стачиваются до нужной формы и размера. При этом пациент не испытывает болезненных ощущений. Данный способ позволяет сохранить как можно больше здоровой ткани, а также исключить риск образования сколов и трещин после обточки,
- химический метод: здесь прибегают к помощи кислот, способных быстро и гарантированно разрушить твердые ткани. После воздействия состава специалист удаляет размягченные участки и создает нужную форму. Это довольно длительная процедура, к тому же весьма устаревшая.
Важно! В процессе обточки зуба под коронку важно удалить кариозные полости и другие поврежденные ткани. Только после этого врач может заняться формой зуба, чтобы обеспечить плотное прилегание к нему будущей конструкции.
Зачем удаляют пульпу и обязательна ли эта процедура?
Мнение эксперта. Врач-стоматолог Овсиенко Р.Л.: «Обязательно ли удалять пульпу перед протезированием коронками и мостовидными конструкциями? Мнение стоматологов в этом вопросе расходятся, но на практике депульпацию все же проводят в большинстве случаев. Такие противоречия возникли не просто так, так как удаление пульпы – неоднозначная процедура, решение о проведение которой стоматолог принимает на основе многих факторов».
Преимущества депульпации:
- избавление от болезненности зуба, гарантия отсутствия дискомфортных ощущений на далекую перспективу,
- профилактика заболеваний тканей пародонта,
- повышение устойчивости зуба.Для лучшей фиксации конструкции стоматолог делает специальные уступы.
Недостатки процедуры:
- сокращение продолжительности жизни зуба,
- быстрое разрушение тканей,
- зуб может изменить свой цвет, потемнеть.
Решение о целесообразности процедуры принимает стоматолог на основе рентгеновского снимка, осмотра, состояния тканей ротовой полости пациента.
Когда проводится препарирование
В настоящее время выделяют несколько основных видов препарирования зубов в зависимости от типа конструкции, которую планируется установить для восстановления эстетики и функциональности зубного ряда:
- виниры: обработка поверхности под виниры проводится по особой технологии. На первом этапе специалист занимается лицевой стороной, после чего постепенно переходит на боковые поверхности. Только в редких случаях требуется препарирование передних зубов в небной области или режущего края. Как правило, на эмали создаются горизонтальные и вертикальные полосы-углубления, в которых будет находиться стоматологический клей,
- вкладки: частичные протезы, которые используются для сокрытия незначительных дефектов. С целью надежной фиксации такого изделия проводится препарирование боковых стенок параллельно друг другу1. Такая форма дает возможность легко и быстро установить конструкцию на необходимой глубине,
- коронки и мостовидные протезы: коронка – это искусственная верхушка, которая защищает зуб от развития кариозных поражений, предупреждает инфицирование ослабленных тканей, а также позволяет вернуть улыбке эстетику и восстановить полноценную функциональность. Обточка требуется под металлокерамические коронки, литые металлические, фарфоровые, циркониевые, керамические и пластмассовые решения, а также под мостовидные протезы, кроме адгезивных мостов – их установка не требует дополнительного стачивания части тканей,
- шинирование: данная процедура предполагает фиксацию подвижных зубов в правильном положении посредством штифтовых, балочных или вкладочных шин. В данном случае необходимо снятие минимального объема эмали, но в некоторых ситуациях может также потребоваться депульпация.
Этапы восстановления
Ремонт металлокерамики (керамики) проводится в несколько последовательных этапов:
- область скола тщательно высушивается;
- подлежащий реставрации участок обрабатывается бором (достигается шероховатость, необходимая для надежной фиксации композита);
- далее необходимо очистить, подточить поверхностный слой и обработать конструкцию специальным жидким раствором;
- дефект керамической, металлокерамической коронки покрывается специальными изоляционными прокладками;
- подбирается композит нужного оттенка (пломбировочный материал наносится послойно, по мере выполнения работы полимеризуется световыми лампами);
- последний этап восстановления коронки переднего зуба – окончательная шлифовка.
Важно: если отремонтировать протез «по месту» не представляется возможным, стоматолог снимает ее с зуба (высверливает либо размягчает при помощи специального состава). Далее врач делает слепок и на его основе в лаборатории изготавливают новый протез.
Осложнения и боль после обточки
При низком качестве проведения процедуры возникает риск того, что впоследствии у пациента вскроется полость зуба. Даже если препарирование было проведено максимально бережно, пульпа в любом случае подвергается определенному воздействию, в результате чего расширяются сосуды и возникают отеки. Непосредственно после обточки боль не ощущается, однако, когда действие обезболивающего заканчивается, появляются неприятные ощущения и воспаляется десна.
По мнению практикующих экспертов в области протезирования, если препарированию был подвержен витальный зуб, то есть с не удаленной пульпой, над которой остался лишь тоненький слой дентина, то после обточки зуб будет реагировать на холод и доставлять некоторый дискомфорт. Поэтому специалисты прибегают к помощи временных конструкций или цементируют источенный участок до момента установки постоянного решения.
Иногда в процессе проведения процедуры врачу приходится слегка отодвинуть десну с помощью специальной нити, что влечет за собой сдавливание мягких тканей и провоцирует развитие отеков, болезненных ощущений. Что делать, если после обточки болит десна? Как правило, дискомфорт проходит самостоятельно спустя несколько дней. При этом врач может сразу подсказать, чем лучше полоскать зубы после обточки, чтобы снять острые симптомы. Если же после процедуры прошло довольно много времени, но зубы все равно болят, стоит обратиться за помощью к специалисту.
Материалы
В стоматологии для восстановления коронки зуба применяются:
- Металлоплас, хрупкие конструкции. Как правило, используются в качестве временных протезов или при имплантации, если искусственные зубы нельзя чрезмерно нагружать.
- Металлокерамика (металлическое основание с керамическим покрытием). Вероятность появления скола на таких коронках ниже, чем в предыдущем случае, но при неправильном уходе и такие конструкции могут разрушаться.
- Керамика. Под сильной нагрузкой конструкции могут крошиться, возникают сколы.
- Диоксид циркония или алюминия. При протезировании с помощью этих коронок риск появления разнообразных изъянов во время носки сводится к минимуму.
Виды уступов
Обточка зубов проводится строго по определенным правилам, с небольшими перерывами (чтобы не произошло перегревание тканей). Сразу после проведения процедуры на обработанные живые зубы устанавливаются временные коронки или пломбы. В процессе препарирования специалист может формировать следующие виды уступов:
- ножевидный: самый широкий из всех, поэтому подходит для коронок, которые имеют толстый слой ткани, а именно для цельнометаллических или металлокерамических коронок,
- желобоватый: округлая форма в данном случае дает возможность сохранить максимальный объем живой ткани. Ширина может варьироваться от 0,8 до 1,2 мм. Данный вариант идеально подходит под металлокерамику,
- плечевой: данный вид уступа шириной в 2 мм требует депульпации. Тем не менее, данный вариант позволяет существенно повысить прочность фиксации коронки и обеспечить более высокие эстетические характеристики2.
Причины появления дефектов
Защитные коронки могут ломаться:
- при бруксизме (привычка сильно сжимать челюсти, скрежетать зубами);
- если во время создания протеза мастером не была учтена разница термического расширения материалов, из которых состоит конструкция;
- когда протез имеет неправильную форму и постоянно подвержен интенсивной функциональной нагрузке противоположной челюсти;
- в случае если зубной налет мощным слоем «пролегает» между коронкой и естественной единицей;
- при нарушении технологии обжига;
- ремонт металлокерамических коронок неизбежен, когда сам пациент небрежно относится к протезам, должным образом не ухаживает за ними («травмирует» конструкции твердыми продуктами питания, открывает зубами бутылки).
Особенности процедуры в детском возрасте
При работе с молочными зубками стоматологи стараются избегать лишних процедур, которые могут представлять определенную угрозу для состояния тонкой детской эмали. К тому же любая дополнительная манипуляция с применением шумной бормашины обычно оборачивается серьезным стрессом для ребенка.
Как правило, специалисты предлагают альтернативные и более щадящие методы лечения, не требующие предварительного препарирования. В данном случае детская стоматология ориентирована на защиту еще не до конца сформированной эмали от любого вида травмирования. Однако встречаются ситуации, когда без обточки под коронку не обойтись. Чаще всего предпочтение отдают химическому методу, так как он менее болезненный. Обычно достаточно снять только пораженную кариесом ткань.
Современные технологии
Протезирование – современная стоматологическая методика восстановления «пострадавших» зубных единиц. Случается, что даже на самой качественной металлокерамической коронке появляется скол – в этом случае изделие подлежит реставрации. Восстановление коронок – непростая кропотливая работа, требующая от специалиста высокой квалификации, точности, осторожности. Реставрация металлокерамических коронок, к слову, в современной стоматологии практикуется реже всего (протез заменяют новым).
Если же врач принимает решение проводить восстановление «пострадавшей» конструкции, то все манипуляции осуществляются ним только после снятия коронки с зуба. Можно ли восстановить керамические, циркониевые, пластмассовые изделия: такая работа проводится стоматологом (врач проводит процедуру, не снимая протез с зубной единицы). Восстановление коронковой части зуба в данной ситуации предполагает:
- полировку поверхности. Зуб остается целым, улучшается его эстетика, немного видоизменяется форма. Такая работа проводится на единицах, расположенных в зоне улыбки, если на таковых образовался незначительный скол;
- ремонт металлокерамической коронки может осуществляться и при помощи композитных материалов. Разрушенную часть протеза заполняют пломбировочным материалом, восстанавливая ее первоначальный размер и форму. Данный метод, правда, чаще всего используется при реставрации пластмассовых протезов, но при высокой квалификации врача и при работе с другими конструкциями дает хороший эстетический результат.
Снятие слепка при помощи альгинатной массы
После проведения подготовки, необходимо снять слепок. Ортопедические конструкции изготавливают индивидуально для каждого пациента, учитывая все физиологические особенности.
Снятие слепка проходит очень занимательно. Человек может с интересом пронаблюдать за врачом, который будет смешивать яркие пасты из тюбиков. Несколько движений шпателем и вот, масса готова. Она имеет насыщенный аромат и нейтральный вкус.
Специалист просит посетителя открыть рот и кладет на сторону обточенного зуба массу, просит прикусить ее.
После снятия слепков, человеку рекомендуют прополоскать рот сначала водой, потом ополаскивателем. На этом первая часть посещения ортопеда считается оконченной.
Во время следующих посещений осуществляется примерка конструкции. Примерка абсолютно не доставляет неудобств. Она занимает чаще всего несколько минут. Примерки являются очень важным составляющим. Во время них, специалист смотрит, насколько коронка подходит по прикусу, убирает все ненужные части, придает ей анатомическую форму. Во время первой примерки стоматолог подберет цвет, соответствующий зубной эмали.
Временная фиксация конструкции – осуществляется на временный цемент. После установки, человек проводит тестирование зуба в коронке в течение определенного количества времени. Если проходящий протезирования, всем доволен, ортопед устанавливает ее на постоянный цемент. Лечение считается полностью завершенным.
Симптоматика
Признаки всегда проявляются ярко, появляется:
- боль в области травмированной единицы (причем при повреждении эмали выражена слабо и проявляется даже от прикосновения, при нарушении вблизи дентина – проявляется сильнее, при оголении пульпы – острая самопроизвольная, усиливающаяся при открывании рта);
- изменение внешнего вида;
- дискомфорт при употреблении продуктов;
- затруднения с полным смыканием зубов;
- патологическая подвижность;
- проблемы с произношением;
- отечность (гиперемия) мягких тканей в области травмы;
- язык и щеки постоянно травмируются об острые края;
- реакция на сладкое, холодное/горячее;
- кровоточивость десенных тканей.
Отмечены случаи, когда травмированный элемент выпадает из лунки, при этом корень остается на своем месте.
Опытному стоматологу достаточно изучения названой симптоматики, чтобы поставить точный диагноз и провести своевременное восстановление.
Какие антибиотики попить?
Такие препараты в обязательном порядке назначаются только врачом.
Они убивают болезнетворные микроорганизмы в очаге воспаления, предупреждают распространение инфекции на окружающие ткани и по всему организму. Обязательно их надо принимать только так, как назначил врач.
Антибактериальные средства, применяемые для лечения:
- Амоксициллин.
- Ампиокс.
- Метронидазол.
- Флемоксин Солютаб.
- Линкомицин.
- Доксициклин.
- Ципрофлоксацин.
Если лекарственные средства оказываются неэффективными в борьбе с болью, производят тесты на чувствительность флоры из очага воспаления к ним. Дальше лечение назначается исходя из спектра чувствительности микроорганизмов к препаратам.
Противопоказания и побочные эффекты
Анестезирующие препараты и антибиотики для избавления от боли надо принимать с большой осторожностью, так как они имеют противопоказания и побочные эффекты.
Ограничениями к приёму антибактериальных средств являются:
- Почечная недостаточность.
- Тяжёлые болезни печени.
- Аллергические реакции.
- Атеросклероз сосудов головного мозга.
- Болезни крови.
- Тяжёлые патологии сердечно-сосудистой системы.
Применяемые в стоматологии антибиотики редко вызывают побочные эффекты.
Перечислим основные из них:
- Нарушение ритма, функции почек и печени.
- Рвота.
- Аллергическая реакция.
- Жидкий стул.
- Головная боль.
- Головокружение.
- Тошнота.
Обезболивающие препараты безопаснее по сравнению с антибиотиками, но у них тоже есть ряд побочных действий.
К ним относятся:
- Рвота.
- Тревожность.
- Тошнота.
- Снижение зрения.
- Головная боль.
- Головокружение.
- Отёк гортани.
- Нарушение печёночных функций.
- Реактивные психозы.
- Желудочные кровотечения.
- Эрозивные гастриты.
Существуют также противопоказания к приёму обезболивающих препаратов.
К этой группе причисляются следующие состояния:
- Индивидуальная непереносимость.
- Период лактации.
- Болезни крови.
- Тяжёлые поражения почек.
- Нарушение печёночных функций.
Внимание! Все перечисленные побочные эффекты и противопоказания говорят о том, что препараты надо принимать очень осторожно под контролем врача даже при наличии сильных болевых ощущений.
Срок службы
Срок службы коронок из керамики зависит от многих факторов и в среднем составляет 5-7 лет. На срок службы влияет выбор материала, работа зубного техника и врача, нагрузка на зубы, уход за ортопедической конструкцией. Самой распространённой причиной удаления керамической коронки является скол, трещина и оголение шейки зуба.
Первые два осложнения происходят при воздействии нагрузки. Керамика хоть и прочный материал, но не эластичный и может лопнуть. Оголение шеей зубов происходит не по вине доктора или пациента. Небольшая атрофия десны происходит у всех людей с возрастом и является нормальной реакцией организма.
У одних людей она происходит медленней, у других – более заметно. При заболеваниях пародонта может возникать патологическая атрофия и воспаление мягких тканей, поэтому рекомендовано незамедлительное лечение. Можно сделать вывод, что керамические коронки имеют средний срок службы. Но его можно продлить, если правильно ухаживать за органами полости рта, проводить профилактику и лечение заболеваний.
Возможные последствия
Отсутствие своевременного восстановления поврежденной коронки приводит к серьезным осложнениям для всего организма. Частыми последствиями перелома являются следующие патологии:
- Абсцесс – воспаление, развивающееся в мягких тканях, влекущее за собой образование гнойной полости.
- Флегмона – острая форма гнойного процесса в клетчатке, без четких границ локализации.
- Периодонтит – воспаление пародонтальных тканей.
- Пульпит – воспалительный процесс, охватывающий рыхлую ткань, заполняющую полость зуба, и нервы.
- Смещение корневой системы в мягкие ткани.
- Воспаление в надкостнице.
- Формирование кисты.
В любом случае, выявить дефект нужно на начальном этапе. Раннее определение в дальнейшем поможет избежать тяжелых последствий.
Техника проведения
Процедура подпиливания зубов осуществляется в несколько этапов:
- Подготовка. При первой встрече стоматолог оценивает состояние элементов челюстного ряда пациента, определяет, имеется ли необходимость в спиливании твердой ткани и существуют ли противопоказания к проведению процедуры.
- Определение проблемных участков. При помощи копировальной бумаги, жидкого аэрозоля либо восковой пластины стоматолог определяет завышающие участки зуба. Места, которые требуют сошлифовывания, будут окрашены более интенсивно.
В некоторых случаях может потребоваться предварительное изготовление диагностической модели на основании слепков челюстных рядов пациента.
Полученный гипсовый образец подвергается тщательному осмотру и оценочному подпиливанию. В качестве инструментария для проведения операции применяются карборундовые фрезы либо алмазные боры.
Процедура зачастую завершается полировкой и реминерализацией, подвергшихся обработке единиц. Стоматолог наносит на эмаль определенный состав, содержащий комплекс полезных веществ, для увеличения прочности внешнего слоя зуба и снижения проницаемости.
Выбираем коронки: металлические, керамические или металлокерамические?
Протезирование зубов осуществляется с использованием различных материалов. Каждый имеет свои плюсы и минусы.
Металлические коронки очень прочны и сравнительно дешевы. Недостатком является не очень эстетичный вид – они заметны на фоне естественных зубов. Поэтому их используют в основном для протезирования задних зубов.
Металлокерамические коронки – лучший выбор, поскольку они сочетают в себе эстетичность и прочность
Керамические коронки, наоборот, дорогие, не такие прочные, как металлические, но имеют высокие эстетические показатели. Их применяют для протезирования передних зубов, которые находятся в зоне видимости и не испытывают на себе значительных жевательных нагрузок.
Интересно! Для увеличения прочности керамики ее комбинируют с металлом. Такие композиции имеют умеренную цену, повышенную прочность и почти не отличаются от естественных зубов.